Suspected Energy Drink-Induced Acute Coronary Syndrome With Sudden Cardiac Arrest.

IF 0.5 Q4 CARDIAC & CARDIOVASCULAR SYSTEMS
Case Reports in Cardiology Pub Date : 2025-08-26 eCollection Date: 2025-01-01 DOI:10.1155/cric/1202116
Priya Ramcharan, Nicholas Pereira, Matthew Maharaj, Arun Katwaroo, Valmiki Seecheran, Rajeev Seecheran, Dayna Lalchansingh, Naveen Seecheran
{"title":"Suspected Energy Drink-Induced Acute Coronary Syndrome With Sudden Cardiac Arrest.","authors":"Priya Ramcharan, Nicholas Pereira, Matthew Maharaj, Arun Katwaroo, Valmiki Seecheran, Rajeev Seecheran, Dayna Lalchansingh, Naveen Seecheran","doi":"10.1155/cric/1202116","DOIUrl":null,"url":null,"abstract":"<p><p>Overconsumption of energy drinks containing high levels of caffeine has been increasingly linked to cardiovascular morbidity and mortality. This case report describes a 24-year-old Caribbean-Black male with no prior comorbidities who experienced an aborted sudden cardiac death (SCD) after a recent energy drink binge a few hours prior to his ventricular fibrillation (VF) cardiac arrest. Primary percutaneous coronary intervention (PPCI) was successfully performed for a dreaded widowmaker lesion, thought to have arisen as a sequela of his excessive energy drink intake. The clinician should be cognizant of the major adverse cardiovascular events (MACEs), such as acute coronary syndromes (ACSs) and lethal arrhythmias, implicated with energy drink consumption.</p>","PeriodicalId":51760,"journal":{"name":"Case Reports in Cardiology","volume":"2025 ","pages":"1202116"},"PeriodicalIF":0.5000,"publicationDate":"2025-08-26","publicationTypes":"Journal Article","fieldsOfStudy":null,"isOpenAccess":false,"openAccessPdf":"https://www.ncbi.nlm.nih.gov/pmc/articles/PMC12413948/pdf/","citationCount":"0","resultStr":null,"platform":"Semanticscholar","paperid":null,"PeriodicalName":"Case Reports in Cardiology","FirstCategoryId":"1085","ListUrlMain":"https://doi.org/10.1155/cric/1202116","RegionNum":0,"RegionCategory":null,"ArticlePicture":[],"TitleCN":null,"AbstractTextCN":null,"PMCID":null,"EPubDate":"2025/1/1 0:00:00","PubModel":"eCollection","JCR":"Q4","JCRName":"CARDIAC & CARDIOVASCULAR SYSTEMS","Score":null,"Total":0}
引用次数: 0

Abstract

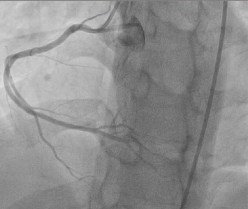
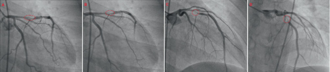
Overconsumption of energy drinks containing high levels of caffeine has been increasingly linked to cardiovascular morbidity and mortality. This case report describes a 24-year-old Caribbean-Black male with no prior comorbidities who experienced an aborted sudden cardiac death (SCD) after a recent energy drink binge a few hours prior to his ventricular fibrillation (VF) cardiac arrest. Primary percutaneous coronary intervention (PPCI) was successfully performed for a dreaded widowmaker lesion, thought to have arisen as a sequela of his excessive energy drink intake. The clinician should be cognizant of the major adverse cardiovascular events (MACEs), such as acute coronary syndromes (ACSs) and lethal arrhythmias, implicated with energy drink consumption.

Abstract Image

Abstract Image

Abstract Image

疑似能量饮料引起的急性冠状动脉综合征伴心脏骤停。
过度饮用含有高咖啡因的能量饮料与心血管疾病和死亡率的关系越来越密切。本病例报告描述了一名24岁的加勒比黑人男性,之前没有合并症,在最近的能量饮料狂欢后,在他的心室颤动(VF)心脏骤停前几小时经历了流产的心源性猝死(SCD)。原发性经皮冠状动脉介入治疗(PPCI)成功治疗了一个可怕的寡妇病变,被认为是由于他摄入过多的能量饮料而引起的。临床医生应该认识到主要的不良心血管事件(mace),如急性冠状动脉综合征(ACSs)和致命性心律失常,与能量饮料的消耗有关。
本文章由计算机程序翻译,如有差异,请以英文原文为准。
求助全文
约1分钟内获得全文 求助全文
来源期刊
Case Reports in Cardiology
Case Reports in Cardiology CARDIAC & CARDIOVASCULAR SYSTEMS-
自引率
0.00%
发文量
63
审稿时长
13 weeks
期刊介绍: Case Reports in Cardiology is a peer-reviewed, Open Access journal that publishes case reports and case series related to hypertension, arrhythmia, congestive heart failure, valvular heart disease, vascular disease, congenital heart disease and cardiomyopathy.
×
引用
GB/T 7714-2015
复制
MLA
复制
APA
复制
导出至
BibTeX EndNote RefMan NoteFirst NoteExpress
×
提示
您的信息不完整,为了账户安全,请先补充。
现在去补充
×
提示
您因"违规操作"
具体请查看互助需知
我知道了
×
提示
确定
请完成安全验证×
copy
已复制链接
快去分享给好友吧!
我知道了
右上角分享
点击右上角分享
0
联系我们:info@booksci.cn Book学术提供免费学术资源搜索服务,方便国内外学者检索中英文文献。致力于提供最便捷和优质的服务体验。 Copyright © 2023 布克学术 All rights reserved.
京ICP备2023020795号-1
ghs 京公网安备 11010802042870号
Book学术文献互助
Book学术文献互助群
群 号:604180095
Book学术官方微信