Treatment of giant encephalocele and occipital defect in a child with neurofibromatosis type 1: illustrative case.

Pingping Gao, Yunhai Song, Zeyang Xia, Huiqing Liu, Bo Yang
{"title":"Treatment of giant encephalocele and occipital defect in a child with neurofibromatosis type 1: illustrative case.","authors":"Pingping Gao, Yunhai Song, Zeyang Xia, Huiqing Liu, Bo Yang","doi":"10.3171/CASE2561","DOIUrl":null,"url":null,"abstract":"<p><strong>Background: </strong>Children with neurofibromatosis type 1 (NF1) rarely develop calvarial defects, and even more rarely do they develop encephalocele and plexiform neurofibroma (PNF).</p><p><strong>Observations: </strong>The authors report on the repair of osseous defects of occipital bone and encephalocele in a boy with NF1 with a family history of NF1. Targeted medicine was introduced after the repair for unresectable PNF.</p><p><strong>Lessons: </strong>The etiopathogenesis and treatment of the occipital defects and associated morbidities are discussed. https://thejns.org/doi/10.3171/CASE2561.</p>","PeriodicalId":94098,"journal":{"name":"Journal of neurosurgery. Case lessons","volume":"10 9","pages":""},"PeriodicalIF":0.0000,"publicationDate":"2025-09-01","publicationTypes":"Journal Article","fieldsOfStudy":null,"isOpenAccess":false,"openAccessPdf":"https://www.ncbi.nlm.nih.gov/pmc/articles/PMC12400847/pdf/","citationCount":"0","resultStr":null,"platform":"Semanticscholar","paperid":null,"PeriodicalName":"Journal of neurosurgery. Case lessons","FirstCategoryId":"1085","ListUrlMain":"https://doi.org/10.3171/CASE2561","RegionNum":0,"RegionCategory":null,"ArticlePicture":[],"TitleCN":null,"AbstractTextCN":null,"PMCID":null,"EPubDate":"","PubModel":"","JCR":"","JCRName":"","Score":null,"Total":0}
引用次数: 0

Abstract

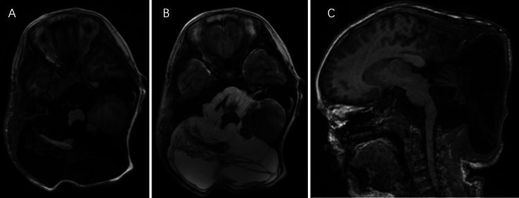
Background: Children with neurofibromatosis type 1 (NF1) rarely develop calvarial defects, and even more rarely do they develop encephalocele and plexiform neurofibroma (PNF).

Observations: The authors report on the repair of osseous defects of occipital bone and encephalocele in a boy with NF1 with a family history of NF1. Targeted medicine was introduced after the repair for unresectable PNF.

Lessons: The etiopathogenesis and treatment of the occipital defects and associated morbidities are discussed. https://thejns.org/doi/10.3171/CASE2561.

Abstract Image

Abstract Image

Abstract Image

1型神经纤维瘤病儿童巨大脑膨出及枕骨缺损的治疗:说明病例。
背景:1型神经纤维瘤病(NF1)患儿很少发生颅骨缺损,更罕见的是发生脑膨出和丛状神经纤维瘤(PNF)。观察:作者报告了一个有NF1家族史的NF1男孩的枕骨骨缺损和脑膨出的修复。对于不能切除的PNF,修复后给予靶向药物治疗。课程:讨论了枕部缺损的发病机制和治疗方法以及相关的并发症。https://thejns.org/doi/10.3171/CASE2561。
本文章由计算机程序翻译,如有差异,请以英文原文为准。
求助全文
约1分钟内获得全文 求助全文
来源期刊
CiteScore
0.40
自引率
0.00%
发文量
0
×
引用
GB/T 7714-2015
复制
MLA
复制
APA
复制
导出至
BibTeX EndNote RefMan NoteFirst NoteExpress
×
提示
您的信息不完整,为了账户安全,请先补充。
现在去补充
×
提示
您因"违规操作"
具体请查看互助需知
我知道了
×
提示
确定
请完成安全验证×
copy
已复制链接
快去分享给好友吧!
我知道了
右上角分享
点击右上角分享
0
联系我们:info@booksci.cn Book学术提供免费学术资源搜索服务,方便国内外学者检索中英文文献。致力于提供最便捷和优质的服务体验。 Copyright © 2023 布克学术 All rights reserved.
京ICP备2023020795号-1
ghs 京公网安备 11010802042870号
Book学术文献互助
Book学术文献互助群
群 号:604180095
Book学术官方微信