Induced somatic mutation accumulation during skeletal muscle regeneration reduces muscle strength

IF 19.4 Q1 CELL BIOLOGY
Peter Vrtačnik, Lara G. Merino, Santhilal Subhash, Hafdís T. Helgadóttir, Matthieu Bardin, Fabiana Stefani, Depin Wang, Ping Chen, Irene Franco, Gwladys Revêchon, Maria Eriksson
{"title":"Induced somatic mutation accumulation during skeletal muscle regeneration reduces muscle strength","authors":"Peter Vrtačnik, Lara G. Merino, Santhilal Subhash, Hafdís T. Helgadóttir, Matthieu Bardin, Fabiana Stefani, Depin Wang, Ping Chen, Irene Franco, Gwladys Revêchon, Maria Eriksson","doi":"10.1038/s43587-025-00941-y","DOIUrl":null,"url":null,"abstract":"Aging is associated with a progressive decline in tissue function and regenerative capacity, partly due to genomic instability, one of the hallmarks of aging1,2. Genomic instability encompasses DNA damage and the accumulation of somatic mutations in post-zygotic cells, yet the specific impact of these mutations on age-related tissue dysfunction remains poorly understood. To address this, we developed a mouse model in which genomic instability was induced specifically in muscle progenitor cells3 through targeted deletion of the Msh2 (ref. 4) and Blm5 genes. This allowed us to assess how elevated DNA damage and somatic mutations, from single-nucleotide variants (SNVs) to structural variants, affect muscle regeneration following injury. These mice exhibited impaired muscle regeneration, characterized by smaller muscle fibers, reduced muscle mass gain and decreased grip strength. Importantly, similar muscle deficits were observed in a second mouse model where somatic mutations were elevated with less substantial DNA damage. These findings provide evidence that the accumulation of somatic mutations can potentially compromise the function of somatic cells, contributing to the aging phenotype in skeletal muscle. With aging, somatic mutations accumulate in cellular DNA; however, whether they drive age-related functional decline is incompletely understood. Here the authors show that these mutations can weaken muscle repair and reduce strength after injury, suggesting they play a role in age-related physical decline in mouse muscle.","PeriodicalId":94150,"journal":{"name":"Nature aging","volume":"5 9","pages":"1739-1749"},"PeriodicalIF":19.4000,"publicationDate":"2025-08-20","publicationTypes":"Journal Article","fieldsOfStudy":null,"isOpenAccess":false,"openAccessPdf":"https://www.ncbi.nlm.nih.gov/pmc/articles/PMC12443595/pdf/","citationCount":"0","resultStr":null,"platform":"Semanticscholar","paperid":null,"PeriodicalName":"Nature aging","FirstCategoryId":"1085","ListUrlMain":"https://www.nature.com/articles/s43587-025-00941-y","RegionNum":0,"RegionCategory":null,"ArticlePicture":[],"TitleCN":null,"AbstractTextCN":null,"PMCID":null,"EPubDate":"","PubModel":"","JCR":"Q1","JCRName":"CELL BIOLOGY","Score":null,"Total":0}
引用次数: 0

Abstract

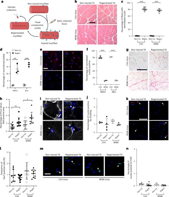
Aging is associated with a progressive decline in tissue function and regenerative capacity, partly due to genomic instability, one of the hallmarks of aging1,2. Genomic instability encompasses DNA damage and the accumulation of somatic mutations in post-zygotic cells, yet the specific impact of these mutations on age-related tissue dysfunction remains poorly understood. To address this, we developed a mouse model in which genomic instability was induced specifically in muscle progenitor cells3 through targeted deletion of the Msh2 (ref. 4) and Blm5 genes. This allowed us to assess how elevated DNA damage and somatic mutations, from single-nucleotide variants (SNVs) to structural variants, affect muscle regeneration following injury. These mice exhibited impaired muscle regeneration, characterized by smaller muscle fibers, reduced muscle mass gain and decreased grip strength. Importantly, similar muscle deficits were observed in a second mouse model where somatic mutations were elevated with less substantial DNA damage. These findings provide evidence that the accumulation of somatic mutations can potentially compromise the function of somatic cells, contributing to the aging phenotype in skeletal muscle. With aging, somatic mutations accumulate in cellular DNA; however, whether they drive age-related functional decline is incompletely understood. Here the authors show that these mutations can weaken muscle repair and reduce strength after injury, suggesting they play a role in age-related physical decline in mouse muscle.

Abstract Image

在骨骼肌再生过程中诱导的体细胞突变积累会降低肌肉力量。
衰老与组织功能和再生能力的逐渐下降有关,部分原因是基因组不稳定,这是衰老的标志之一1,2。基因组不稳定性包括DNA损伤和合体后细胞中体细胞突变的积累,然而这些突变对年龄相关组织功能障碍的具体影响仍然知之甚少。为了解决这个问题,我们开发了一种小鼠模型,通过靶向删除Msh2(参考文献4)和Blm5基因,在肌肉祖细胞中特异性诱导基因组不稳定性。这使我们能够评估DNA损伤升高和体细胞突变(从单核苷酸变异(SNVs)到结构变异)如何影响损伤后的肌肉再生。这些小鼠表现出肌肉再生受损,其特征是肌肉纤维变小,肌肉质量增加减少,握力下降。重要的是,在第二种小鼠模型中观察到类似的肌肉缺陷,其中体细胞突变升高,DNA损伤较小。这些发现提供了证据,证明体细胞突变的积累可能会损害体细胞的功能,导致骨骼肌的衰老表型。
本文章由计算机程序翻译,如有差异,请以英文原文为准。
求助全文
约1分钟内获得全文 求助全文
来源期刊
CiteScore
14.70
自引率
0.00%
发文量
0
×
引用
GB/T 7714-2015
复制
MLA
复制
APA
复制
导出至
BibTeX EndNote RefMan NoteFirst NoteExpress
×
提示
您的信息不完整,为了账户安全,请先补充。
现在去补充
×
提示
您因"违规操作"
具体请查看互助需知
我知道了
×
提示
确定
请完成安全验证×
copy
已复制链接
快去分享给好友吧!
我知道了
右上角分享
点击右上角分享
0
联系我们:info@booksci.cn Book学术提供免费学术资源搜索服务,方便国内外学者检索中英文文献。致力于提供最便捷和优质的服务体验。 Copyright © 2023 布克学术 All rights reserved.
京ICP备2023020795号-1
ghs 京公网安备 11010802042870号
Book学术文献互助
Book学术文献互助群
群 号:604180095
Book学术官方微信