Continued Root Formation after a Compound root Fracture in an Immature Permanent Incisor: A Case Report with a 2-year follow-up.

Maryam Enteghad, Safoora Sahebi, Saleh Hadian
{"title":"Continued Root Formation after a Compound root Fracture in an Immature Permanent Incisor: A Case Report with a 2-year follow-up.","authors":"Maryam Enteghad, Safoora Sahebi, Saleh Hadian","doi":"10.30476/dentjods.2024.104235.2512","DOIUrl":null,"url":null,"abstract":"<p><p>While traumatic injuries in the young permanent dentition are frequent, root fractures are relatively rare, particularly in immature teeth. This study reports the case of a 7-year-old boy who fell off a bicycle. Radiographic examination showed an immature right upper central incisor with fractures in the middle and along the root in an oblique and horizontal direction. Furthermore, there was an extrusion of the coronal segment from its original position. At the first appointment, the right central incisor was repositioned, and a semi-rigid splint was applied for four weeks. The patient was examined periodically for the following two years. After two months, the injured tooth was asymptomatic, with a reduction in probing depth from 8 mm to 2 mm along the tooth surface and a physiologic mobility. Although the injured tooth responded to the electric pulp test after nine months, it had no response to the cold test even after two years. The injured tooth showed continued root maturation of both coronal and apical fragments, although metamorphosis calcification and root canal narrowing were observed in conjunction with mild yellow crown discoloration. This report highlights the ability of Hertwig's epithelial root sheath and immature pulp to continue root development in fractured immature teeth.</p>","PeriodicalId":73702,"journal":{"name":"Journal of dentistry (Shiraz, Iran)","volume":"26 3","pages":"288-292"},"PeriodicalIF":0.0000,"publicationDate":"2025-09-01","publicationTypes":"Journal Article","fieldsOfStudy":null,"isOpenAccess":false,"openAccessPdf":"https://www.ncbi.nlm.nih.gov/pmc/articles/PMC12394745/pdf/","citationCount":"0","resultStr":null,"platform":"Semanticscholar","paperid":null,"PeriodicalName":"Journal of dentistry (Shiraz, Iran)","FirstCategoryId":"1085","ListUrlMain":"https://doi.org/10.30476/dentjods.2024.104235.2512","RegionNum":0,"RegionCategory":null,"ArticlePicture":[],"TitleCN":null,"AbstractTextCN":null,"PMCID":null,"EPubDate":"","PubModel":"","JCR":"","JCRName":"","Score":null,"Total":0}
引用次数: 0

Abstract

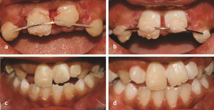
While traumatic injuries in the young permanent dentition are frequent, root fractures are relatively rare, particularly in immature teeth. This study reports the case of a 7-year-old boy who fell off a bicycle. Radiographic examination showed an immature right upper central incisor with fractures in the middle and along the root in an oblique and horizontal direction. Furthermore, there was an extrusion of the coronal segment from its original position. At the first appointment, the right central incisor was repositioned, and a semi-rigid splint was applied for four weeks. The patient was examined periodically for the following two years. After two months, the injured tooth was asymptomatic, with a reduction in probing depth from 8 mm to 2 mm along the tooth surface and a physiologic mobility. Although the injured tooth responded to the electric pulp test after nine months, it had no response to the cold test even after two years. The injured tooth showed continued root maturation of both coronal and apical fragments, although metamorphosis calcification and root canal narrowing were observed in conjunction with mild yellow crown discoloration. This report highlights the ability of Hertwig's epithelial root sheath and immature pulp to continue root development in fractured immature teeth.

Abstract Image

Abstract Image

Abstract Image

未成熟恒切牙复合牙根骨折后牙根继续形成:1例2年随访报告。
虽然创伤性损伤在年轻的恒牙是常见的,根骨折是相对罕见的,特别是在未成熟的牙齿。本研究报告了一个7岁男孩从自行车上摔下来的病例。x线检查显示未发育成熟的右上中切牙,中间和沿牙根呈斜向和水平方向骨折。此外,冠状段从其原始位置有挤压。在第一次预约时,将右中切牙重新定位,并使用半刚性夹板进行四周的治疗。在接下来的两年里,病人定期接受检查。两个月后,受损牙齿无症状,沿牙齿表面探探深度从8毫米减少到2毫米,并具有生理活动能力。虽然受伤的牙齿在九个月后对电髓测试有反应,但即使在两年后对冷测试也没有反应。损伤的牙齿显示冠状和根尖碎片的根继续成熟,尽管观察到变态、钙化和根管狭窄,并伴有轻度的冠黄色变色。本报告强调了Hertwig的上皮根鞘和未成熟牙髓在断裂的未成熟牙齿中继续根发育的能力。
本文章由计算机程序翻译,如有差异,请以英文原文为准。
求助全文
约1分钟内获得全文 求助全文
来源期刊
CiteScore
0.50
自引率
0.00%
发文量
0
×
引用
GB/T 7714-2015
复制
MLA
复制
APA
复制
导出至
BibTeX EndNote RefMan NoteFirst NoteExpress
×
提示
您的信息不完整,为了账户安全,请先补充。
现在去补充
×
提示
您因"违规操作"
具体请查看互助需知
我知道了
×
提示
确定
请完成安全验证×
copy
已复制链接
快去分享给好友吧!
我知道了
右上角分享
点击右上角分享
0
联系我们:info@booksci.cn Book学术提供免费学术资源搜索服务,方便国内外学者检索中英文文献。致力于提供最便捷和优质的服务体验。 Copyright © 2023 布克学术 All rights reserved.
京ICP备2023020795号-1
ghs 京公网安备 11010802042870号
Book学术文献互助
Book学术文献互助群
群 号:604180095
Book学术官方微信