Correction: Amin et al. Hepatocellular Carcinoma: A Comprehensive Review. Diseases 2025, 13, 207.

IF 3 Q2 MEDICINE, RESEARCH & EXPERIMENTAL
Nisar Amin, Javaria Anwar, Abdullahi Sulaiman, Nadia Nikolaeva Naumova, Nadeem Anwar
{"title":"Correction: Amin et al. Hepatocellular Carcinoma: A Comprehensive Review. <i>Diseases</i> 2025, <i>13</i>, 207.","authors":"Nisar Amin, Javaria Anwar, Abdullahi Sulaiman, Nadia Nikolaeva Naumova, Nadeem Anwar","doi":"10.3390/diseases13080257","DOIUrl":null,"url":null,"abstract":"<p><p>In the original publication [...].</p>","PeriodicalId":72832,"journal":{"name":"Diseases (Basel, Switzerland)","volume":"13 8","pages":""},"PeriodicalIF":3.0000,"publicationDate":"2025-08-13","publicationTypes":"Journal Article","fieldsOfStudy":null,"isOpenAccess":false,"openAccessPdf":"https://www.ncbi.nlm.nih.gov/pmc/articles/PMC12386166/pdf/","citationCount":"0","resultStr":null,"platform":"Semanticscholar","paperid":null,"PeriodicalName":"Diseases (Basel, Switzerland)","FirstCategoryId":"1085","ListUrlMain":"https://doi.org/10.3390/diseases13080257","RegionNum":0,"RegionCategory":null,"ArticlePicture":[],"TitleCN":null,"AbstractTextCN":null,"PMCID":null,"EPubDate":"","PubModel":"","JCR":"Q2","JCRName":"MEDICINE, RESEARCH & EXPERIMENTAL","Score":null,"Total":0}
引用次数: 0

Abstract

In the original publication [...].

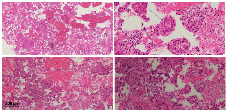
Abstract Image

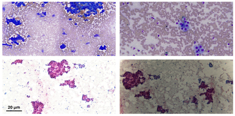
Abstract Image

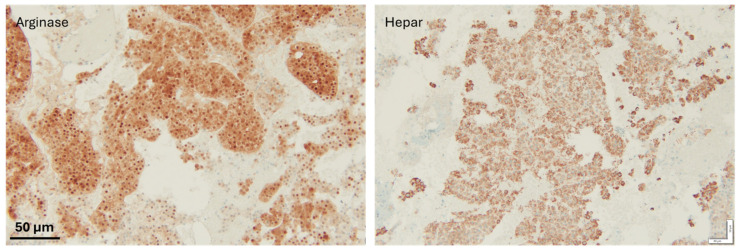
Abstract Image

更正:Amin等人。肝细胞癌:综合综述。疾病,2015,13,207。
在原出版物中[…]。
本文章由计算机程序翻译,如有差异,请以英文原文为准。
求助全文
约1分钟内获得全文 求助全文
来源期刊
CiteScore
0.80
自引率
0.00%
发文量
0
审稿时长
6 weeks
×
引用
GB/T 7714-2015
复制
MLA
复制
APA
复制
导出至
BibTeX EndNote RefMan NoteFirst NoteExpress
×
提示
您的信息不完整,为了账户安全,请先补充。
现在去补充
×
提示
您因"违规操作"
具体请查看互助需知
我知道了
×
提示
确定
请完成安全验证×
copy
已复制链接
快去分享给好友吧!
我知道了
右上角分享
点击右上角分享
0
联系我们:info@booksci.cn Book学术提供免费学术资源搜索服务,方便国内外学者检索中英文文献。致力于提供最便捷和优质的服务体验。 Copyright © 2023 布克学术 All rights reserved.
京ICP备2023020795号-1
ghs 京公网安备 11010802042870号
Book学术文献互助
Book学术文献互助群
群 号:604180095
Book学术官方微信