DISSECTING THORACIC AORTIC ANEURYSM WITH CLASSIC IMAGING FINDINGS AND REVIEW OF LITERATURE.

S J Ayilara, O Obande, A T Adeniji-Sofoluwe
{"title":"DISSECTING THORACIC AORTIC ANEURYSM WITH CLASSIC IMAGING FINDINGS AND REVIEW OF LITERATURE.","authors":"S J Ayilara, O Obande, A T Adeniji-Sofoluwe","doi":"","DOIUrl":null,"url":null,"abstract":"<p><strong>Background: </strong>Thoracic aortic aneurysm is an increasingly recognized condition that is sometimes diagnosed incidentally on imaging examinations performed to evaluate other unrelated conditions. Symptomatic presentations of thoracic aortic aneurysms may be due to mass effect on the airway, esophagus, recurrent laryngeal nerve and the thoracic spine. Alternatively, they may present with the dreaded complication of aortic dissection or rupture.Occasionally abnormalities of the aortic contour or size can be detected on routine chest x-ray. However, it is difficult to confidently diagnose thoracic aortic aneurysm on chest x-rays as mediastinal masses may mimic aortic aneurysms. Computed tomography (CT) or magnetic resonance (MR) aortography, with the advantage of obtaining 3D volumetric data, remains the gold standard of imaging with sensitivity and specificity approaching 100%.</p><p><strong>Objective: </strong>To emphasize beauty of cross-sectional images in unraveling confusing opacities on chest radiographs and its sensitivity in identifying potentially lethal chest pathologies.</p><p><strong>Method: </strong>This is a case report of a 58-year-old man with breathlessness and features of congestive cardiac failure. Preliminary chest X-ray revealed a huge soft tissue opacity in the left upper zone of the lung which was conformed as aneurysmal dilatation of the thoracic aorta on chest computed tomography.</p><p><strong>Conclusion: </strong>This case elucidates the importance of cross-sectional imaging in unravelling confusing opacities on chest radiographs and its sensitivity in identifying potentially lethal chest pathologies.</p>","PeriodicalId":72221,"journal":{"name":"Annals of Ibadan postgraduate medicine","volume":"23 1","pages":"121-124"},"PeriodicalIF":0.0000,"publicationDate":"2025-03-31","publicationTypes":"Journal Article","fieldsOfStudy":null,"isOpenAccess":false,"openAccessPdf":"https://www.ncbi.nlm.nih.gov/pmc/articles/PMC12337967/pdf/","citationCount":"0","resultStr":null,"platform":"Semanticscholar","paperid":null,"PeriodicalName":"Annals of Ibadan postgraduate medicine","FirstCategoryId":"1085","ListUrlMain":"","RegionNum":0,"RegionCategory":null,"ArticlePicture":[],"TitleCN":null,"AbstractTextCN":null,"PMCID":null,"EPubDate":"","PubModel":"","JCR":"","JCRName":"","Score":null,"Total":0}
引用次数: 0

Abstract

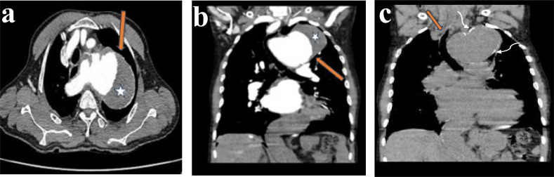
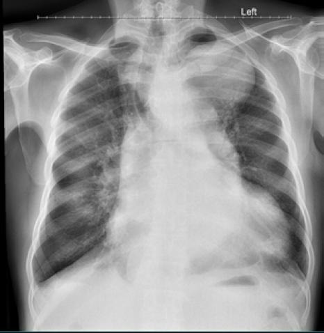
Background: Thoracic aortic aneurysm is an increasingly recognized condition that is sometimes diagnosed incidentally on imaging examinations performed to evaluate other unrelated conditions. Symptomatic presentations of thoracic aortic aneurysms may be due to mass effect on the airway, esophagus, recurrent laryngeal nerve and the thoracic spine. Alternatively, they may present with the dreaded complication of aortic dissection or rupture.Occasionally abnormalities of the aortic contour or size can be detected on routine chest x-ray. However, it is difficult to confidently diagnose thoracic aortic aneurysm on chest x-rays as mediastinal masses may mimic aortic aneurysms. Computed tomography (CT) or magnetic resonance (MR) aortography, with the advantage of obtaining 3D volumetric data, remains the gold standard of imaging with sensitivity and specificity approaching 100%.

Objective: To emphasize beauty of cross-sectional images in unraveling confusing opacities on chest radiographs and its sensitivity in identifying potentially lethal chest pathologies.

Method: This is a case report of a 58-year-old man with breathlessness and features of congestive cardiac failure. Preliminary chest X-ray revealed a huge soft tissue opacity in the left upper zone of the lung which was conformed as aneurysmal dilatation of the thoracic aorta on chest computed tomography.

Conclusion: This case elucidates the importance of cross-sectional imaging in unravelling confusing opacities on chest radiographs and its sensitivity in identifying potentially lethal chest pathologies.

Abstract Image

Abstract Image

解剖胸主动脉瘤的经典影像学表现及文献回顾。
背景:胸主动脉瘤是一种越来越被认可的疾病,有时在影像学检查中被偶然诊断出来,以评估其他不相关的疾病。胸主动脉瘤的症状表现可能是由于肿块对气道、食道、喉返神经和胸椎的影响。或者,他们可能会出现可怕的并发症,即主动脉夹层或破裂。偶尔在常规胸片上可以发现主动脉轮廓或大小的异常。然而,由于纵隔肿块可能与主动脉瘤相似,在胸部x线片上很难自信地诊断胸主动脉瘤。计算机断层扫描(CT)或磁共振(MR)主动脉造影具有获得三维体积数据的优势,仍然是成像的金标准,灵敏度和特异性接近100%。目的:强调横断面图像在揭示胸片上令人困惑的混浊物方面的美及其在识别潜在致命性胸部病变方面的敏感性。方法:这是一个58岁的男性呼吸困难和充血性心力衰竭的病例报告。初步胸部x线显示肺左上区一巨大软组织影,胸部电脑断层显示为胸主动脉动脉瘤样扩张。结论:本病例阐明了横断成像在揭示胸片上混淆性混浊的重要性及其在识别潜在致命性胸部病变方面的敏感性。
本文章由计算机程序翻译,如有差异,请以英文原文为准。
求助全文
约1分钟内获得全文 求助全文
来源期刊
自引率
0.00%
发文量
0
×
引用
GB/T 7714-2015
复制
MLA
复制
APA
复制
导出至
BibTeX EndNote RefMan NoteFirst NoteExpress
×
提示
您的信息不完整,为了账户安全,请先补充。
现在去补充
×
提示
您因"违规操作"
具体请查看互助需知
我知道了
×
提示
确定
请完成安全验证×
copy
已复制链接
快去分享给好友吧!
我知道了
右上角分享
点击右上角分享
0
联系我们:info@booksci.cn Book学术提供免费学术资源搜索服务,方便国内外学者检索中英文文献。致力于提供最便捷和优质的服务体验。 Copyright © 2023 布克学术 All rights reserved.
京ICP备2023020795号-1
ghs 京公网安备 11010802042870号
Book学术文献互助
Book学术文献互助群
群 号:604180095
Book学术官方微信