Comparison of packing-free treatment with and without Kirschner wire splinting for nasal bone fracture: a retrospective analysis in Korea.

Q2 Medicine
Archives of Craniofacial Surgery Pub Date : 2025-08-01 Epub Date: 2025-08-20 DOI:10.7181/acfs.2024.0083
Jeong Min Ji, Soo Hyang Lee
{"title":"Comparison of packing-free treatment with and without Kirschner wire splinting for nasal bone fracture: a retrospective analysis in Korea.","authors":"Jeong Min Ji, Soo Hyang Lee","doi":"10.7181/acfs.2024.0083","DOIUrl":null,"url":null,"abstract":"<p><strong>Background: </strong>Nasal bone fractures are among the most common facial injuries. This study aimed to compare the clinical outcomes of a no-packing approach with and without Kirschner wire (K-wire) splinting in the treatment of less severe nasal bone fractures.</p><p><strong>Methods: </strong>We conducted a retrospective study comparing cases of simple fractures classified as type II-III according to Higuera's classification that were treated surgically with closed reduction. Patients were divided into two groups: the control group (no packing, no K-wire splint) and the experimental group (no packing with K-wire splint). We calculated the difference in the distance (mm) between the centerline of the triangle and the apex on facial bone on computed tomography scans immediately after surgery and at a mean of 3.6 months after surgery, assessing postoperative symptoms at 3 days after surgery.</p><p><strong>Results: </strong>The experimental group (no packing with K-wire splint) showed no statistically significant difference in radiological outcomes compared to the control group. The distance from the apex to the centerline of the triangle was 0.009± 0.012 mm in the control group and 0.008± 0.009 mm in the experimental group. However, the control group reported fewer postoperative symptoms, including nasal obstruction and dry mouth.</p><p><strong>Conclusion: </strong>The packing-free approach without K-wire splinting may reduce postoperative discomfort without compromising surgical outcomes compared to K-wire splinting without packing.</p>","PeriodicalId":52238,"journal":{"name":"Archives of Craniofacial Surgery","volume":"26 4","pages":"154-159"},"PeriodicalIF":0.0000,"publicationDate":"2025-08-01","publicationTypes":"Journal Article","fieldsOfStudy":null,"isOpenAccess":false,"openAccessPdf":"https://www.ncbi.nlm.nih.gov/pmc/articles/PMC12415365/pdf/","citationCount":"0","resultStr":null,"platform":"Semanticscholar","paperid":null,"PeriodicalName":"Archives of Craniofacial Surgery","FirstCategoryId":"1085","ListUrlMain":"https://doi.org/10.7181/acfs.2024.0083","RegionNum":0,"RegionCategory":null,"ArticlePicture":[],"TitleCN":null,"AbstractTextCN":null,"PMCID":null,"EPubDate":"2025/8/20 0:00:00","PubModel":"Epub","JCR":"Q2","JCRName":"Medicine","Score":null,"Total":0}
引用次数: 0

Abstract

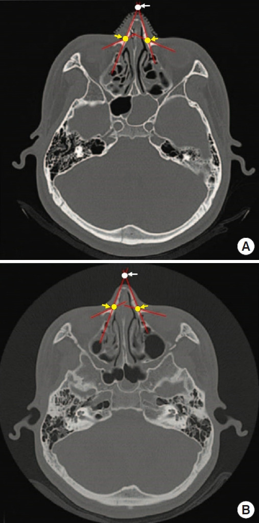
Background: Nasal bone fractures are among the most common facial injuries. This study aimed to compare the clinical outcomes of a no-packing approach with and without Kirschner wire (K-wire) splinting in the treatment of less severe nasal bone fractures.

Methods: We conducted a retrospective study comparing cases of simple fractures classified as type II-III according to Higuera's classification that were treated surgically with closed reduction. Patients were divided into two groups: the control group (no packing, no K-wire splint) and the experimental group (no packing with K-wire splint). We calculated the difference in the distance (mm) between the centerline of the triangle and the apex on facial bone on computed tomography scans immediately after surgery and at a mean of 3.6 months after surgery, assessing postoperative symptoms at 3 days after surgery.

Results: The experimental group (no packing with K-wire splint) showed no statistically significant difference in radiological outcomes compared to the control group. The distance from the apex to the centerline of the triangle was 0.009± 0.012 mm in the control group and 0.008± 0.009 mm in the experimental group. However, the control group reported fewer postoperative symptoms, including nasal obstruction and dry mouth.

Conclusion: The packing-free approach without K-wire splinting may reduce postoperative discomfort without compromising surgical outcomes compared to K-wire splinting without packing.

Abstract Image

Abstract Image

Abstract Image

无填充物与无克氏针夹板治疗鼻骨骨折的比较:韩国回顾性分析。
背景:鼻骨骨折是最常见的面部损伤之一。本研究旨在比较无填塞入路加克氏针(k -丝)夹板和不加克氏针夹板治疗轻度鼻骨骨折的临床结果。方法:我们对根据Higuera分类为II-III型的单纯性骨折采用闭合复位手术治疗的病例进行回顾性研究。将患者分为两组:对照组(无填充物,无k线夹板)和实验组(无填充物,无k线夹板)。我们计算了术后立即和术后平均3.6个月计算机断层扫描中三角形中心线与面骨顶点之间的距离(mm)差值,并在术后3天评估术后症状。结果:实验组(无k线夹板充填)与对照组放射学结果无统计学差异。对照组顶点到三角形中心线的距离为0.009±0.012 mm,实验组为0.008±0.009 mm。然而,对照组报告较少的术后症状,包括鼻塞和口干。结论:与无填充物的k线夹板相比,无填充物的k线夹板可以减少术后不适,而不会影响手术效果。
本文章由计算机程序翻译,如有差异,请以英文原文为准。
求助全文
约1分钟内获得全文 求助全文
来源期刊
Archives of Craniofacial Surgery
Archives of Craniofacial Surgery Medicine-Otorhinolaryngology
CiteScore
2.90
自引率
0.00%
发文量
44
×
引用
GB/T 7714-2015
复制
MLA
复制
APA
复制
导出至
BibTeX EndNote RefMan NoteFirst NoteExpress
×
提示
您的信息不完整,为了账户安全,请先补充。
现在去补充
×
提示
您因"违规操作"
具体请查看互助需知
我知道了
×
提示
确定
请完成安全验证×
copy
已复制链接
快去分享给好友吧!
我知道了
右上角分享
点击右上角分享
0
联系我们:info@booksci.cn Book学术提供免费学术资源搜索服务,方便国内外学者检索中英文文献。致力于提供最便捷和优质的服务体验。 Copyright © 2023 布克学术 All rights reserved.
京ICP备2023020795号-1
ghs 京公网安备 11010802042870号
Book学术文献互助
Book学术文献互助群
群 号:604180095
Book学术官方微信