Pulmonary Artery Pseudoaneurysm (PAA) in a Patient With Advanced Lung Cancer After Radiotherapy: A Potentially Fatal Complication.

IF 0.8 Q4 RESPIRATORY SYSTEM
Respirology Case Reports Pub Date : 2025-08-21 eCollection Date: 2025-08-01 DOI:10.1002/rcr2.70326
Josephine Coffey, Ayan Sabih
{"title":"Pulmonary Artery Pseudoaneurysm (PAA) in a Patient With Advanced Lung Cancer After Radiotherapy: A Potentially Fatal Complication.","authors":"Josephine Coffey, Ayan Sabih","doi":"10.1002/rcr2.70326","DOIUrl":null,"url":null,"abstract":"<p><p>Pulmonary artery pseudoaneurysms (PAAs) are exceedingly uncommon. It is a life-threatening diagnosis, and often associated with poor long-term prognosis. We report a case of PAA in a 74-year-old man presenting with severe respiratory failure and haemoptysis with a history of advanced lung cancer. Though the intent was to manage the PAA with coil embolisation, this was unsuccessful and the patient passed away 72 h after hospital admission. There is limited evidence for treatment of PAA, and once a patient is symptomatic, has a high mortality.</p>","PeriodicalId":45846,"journal":{"name":"Respirology Case Reports","volume":"13 8","pages":"e70326"},"PeriodicalIF":0.8000,"publicationDate":"2025-08-21","publicationTypes":"Journal Article","fieldsOfStudy":null,"isOpenAccess":false,"openAccessPdf":"https://www.ncbi.nlm.nih.gov/pmc/articles/PMC12370536/pdf/","citationCount":"0","resultStr":null,"platform":"Semanticscholar","paperid":null,"PeriodicalName":"Respirology Case Reports","FirstCategoryId":"1085","ListUrlMain":"https://doi.org/10.1002/rcr2.70326","RegionNum":0,"RegionCategory":null,"ArticlePicture":[],"TitleCN":null,"AbstractTextCN":null,"PMCID":null,"EPubDate":"2025/8/1 0:00:00","PubModel":"eCollection","JCR":"Q4","JCRName":"RESPIRATORY SYSTEM","Score":null,"Total":0}
引用次数: 0

Abstract

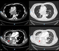
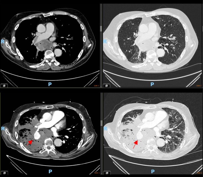
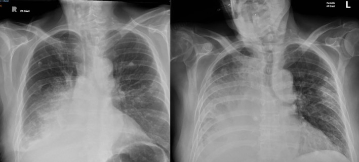
Pulmonary artery pseudoaneurysms (PAAs) are exceedingly uncommon. It is a life-threatening diagnosis, and often associated with poor long-term prognosis. We report a case of PAA in a 74-year-old man presenting with severe respiratory failure and haemoptysis with a history of advanced lung cancer. Though the intent was to manage the PAA with coil embolisation, this was unsuccessful and the patient passed away 72 h after hospital admission. There is limited evidence for treatment of PAA, and once a patient is symptomatic, has a high mortality.

Abstract Image

Abstract Image

Abstract Image

晚期肺癌放疗后患者的肺动脉假性动脉瘤(PAA):一种潜在的致命并发症。
肺动脉假性动脉瘤(PAAs)极为罕见。这是一种危及生命的诊断,通常伴有不良的长期预后。我们报告一例74岁男性PAA,表现为严重呼吸衰竭和咯血,并有晚期肺癌史。虽然目的是通过线圈栓塞来处理PAA,但这是不成功的,患者在入院后72小时去世。治疗PAA的证据有限,一旦患者出现症状,死亡率很高。
本文章由计算机程序翻译,如有差异,请以英文原文为准。
求助全文
约1分钟内获得全文 求助全文
来源期刊
Respirology Case Reports
Respirology Case Reports RESPIRATORY SYSTEM-
CiteScore
1.40
自引率
0.00%
发文量
178
审稿时长
8 weeks
期刊介绍: Respirology Case Reports is an open-access online journal dedicated to the publication of original clinical case reports, case series, clinical images and clinical videos in all fields of respiratory medicine. The Journal encourages the international exchange between clinicians and researchers of experiences in diagnosing and treating uncommon diseases or diseases with unusual presentations. All manuscripts are peer-reviewed through a streamlined process that aims at providing a rapid turnaround time from submission to publication.
×
引用
GB/T 7714-2015
复制
MLA
复制
APA
复制
导出至
BibTeX EndNote RefMan NoteFirst NoteExpress
×
提示
您的信息不完整,为了账户安全,请先补充。
现在去补充
×
提示
您因"违规操作"
具体请查看互助需知
我知道了
×
提示
确定
请完成安全验证×
copy
已复制链接
快去分享给好友吧!
我知道了
右上角分享
点击右上角分享
0
联系我们:info@booksci.cn Book学术提供免费学术资源搜索服务,方便国内外学者检索中英文文献。致力于提供最便捷和优质的服务体验。 Copyright © 2023 布克学术 All rights reserved.
京ICP备2023020795号-1
ghs 京公网安备 11010802042870号
Book学术文献互助
Book学术文献互助群
群 号:604180095
Book学术官方微信