Laparoscopic Resection of a Rare Retroperitoneal Dermoid Cyst in a 78-Year-Old Woman: A Case Report.

IF 0.7 Q3 MEDICINE, GENERAL & INTERNAL
Yuanchen Lu, Quan Li, Qijie Zhang, Xianhua Shao, Hua Shen, Junpeng Deng, Hongliang Que, Tengyue Zeng, Jinqi Hua, Yichen Qian, Jianjun Xie
{"title":"Laparoscopic Resection of a Rare Retroperitoneal Dermoid Cyst in a 78-Year-Old Woman: A Case Report.","authors":"Yuanchen Lu, Quan Li, Qijie Zhang, Xianhua Shao, Hua Shen, Junpeng Deng, Hongliang Que, Tengyue Zeng, Jinqi Hua, Yichen Qian, Jianjun Xie","doi":"10.12659/AJCR.947666","DOIUrl":null,"url":null,"abstract":"<p><p>BACKGROUND Primary retroperitoneal tumors (PRTs) are uncommon, with retroperitoneal dermoid cysts being particularly rare. The cystic cavity of mature cystic teratomas (dermoid cysts) is lined with squamous epithelium and primarily filled with sebaceous material. These lesions often lack specific symptoms, leading to delayed diagnosis. Imaging modalities such as computed tomography (CT) and magnetic resonance imaging (MRI) are crucial for identifying these lesions, but definitive diagnosis relies on pathological examination. Surgical resection is the primary treatment, particularly for symptomatic or enlarging lesions. This report describes a case of a 78-year-old woman presenting with hydronephrosis secondary to a solitary retroperitoneal mature cystic teratoma (dermoid cyst) removed by laparoscopic resection. CASE REPORT A 78-year-old woman presented with left renal occupancy and severe hydronephrosis detected during routine health screening. Imaging studies revealed a retroperitoneal cystic mass compressing the upper urinary tract. She underwent laparoscopic resection of the mass and nephrectomy. Histopathological examination confirmed the diagnosis of an isolated retroperitoneal mature cystic teratoma. Postoperatively, she recovered well and remained asymptomatic during follow-up. CONCLUSIONS Retroperitoneal dermoid cysts are rare and pose diagnostic challenges due to their nonspecific clinical and imaging features. Early diagnosis and surgical intervention are critical to preventing complications and preserving organ function. This case report discusses the importance of preoperative evaluation and early treatment, highlighting the urgency of optimizing and standardizing the diagnosis and management of such diseases.</p>","PeriodicalId":39064,"journal":{"name":"American Journal of Case Reports","volume":"26 ","pages":"e947666"},"PeriodicalIF":0.7000,"publicationDate":"2025-09-03","publicationTypes":"Journal Article","fieldsOfStudy":null,"isOpenAccess":false,"openAccessPdf":"https://www.ncbi.nlm.nih.gov/pmc/articles/PMC12416342/pdf/","citationCount":"0","resultStr":null,"platform":"Semanticscholar","paperid":null,"PeriodicalName":"American Journal of Case Reports","FirstCategoryId":"1085","ListUrlMain":"https://doi.org/10.12659/AJCR.947666","RegionNum":0,"RegionCategory":null,"ArticlePicture":[],"TitleCN":null,"AbstractTextCN":null,"PMCID":null,"EPubDate":"","PubModel":"","JCR":"Q3","JCRName":"MEDICINE, GENERAL & INTERNAL","Score":null,"Total":0}
引用次数: 0

Abstract

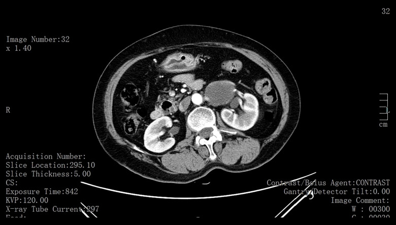
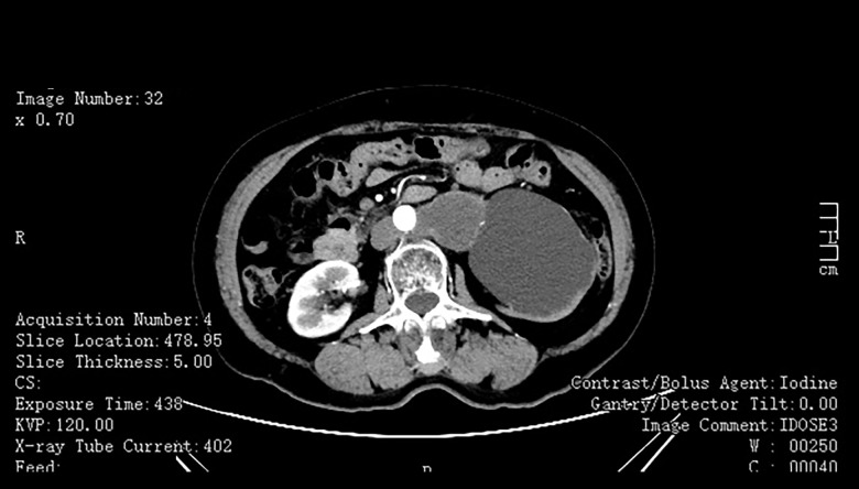
BACKGROUND Primary retroperitoneal tumors (PRTs) are uncommon, with retroperitoneal dermoid cysts being particularly rare. The cystic cavity of mature cystic teratomas (dermoid cysts) is lined with squamous epithelium and primarily filled with sebaceous material. These lesions often lack specific symptoms, leading to delayed diagnosis. Imaging modalities such as computed tomography (CT) and magnetic resonance imaging (MRI) are crucial for identifying these lesions, but definitive diagnosis relies on pathological examination. Surgical resection is the primary treatment, particularly for symptomatic or enlarging lesions. This report describes a case of a 78-year-old woman presenting with hydronephrosis secondary to a solitary retroperitoneal mature cystic teratoma (dermoid cyst) removed by laparoscopic resection. CASE REPORT A 78-year-old woman presented with left renal occupancy and severe hydronephrosis detected during routine health screening. Imaging studies revealed a retroperitoneal cystic mass compressing the upper urinary tract. She underwent laparoscopic resection of the mass and nephrectomy. Histopathological examination confirmed the diagnosis of an isolated retroperitoneal mature cystic teratoma. Postoperatively, she recovered well and remained asymptomatic during follow-up. CONCLUSIONS Retroperitoneal dermoid cysts are rare and pose diagnostic challenges due to their nonspecific clinical and imaging features. Early diagnosis and surgical intervention are critical to preventing complications and preserving organ function. This case report discusses the importance of preoperative evaluation and early treatment, highlighting the urgency of optimizing and standardizing the diagnosis and management of such diseases.

Abstract Image

Abstract Image

Abstract Image

腹腔镜下切除78岁女性罕见腹膜后皮样囊肿1例。
背景:原发性腹膜后肿瘤(prt)并不常见,尤其是腹膜后皮样囊肿。成熟囊性畸胎瘤(皮样囊肿)的囊腔衬有鳞状上皮,主要充满皮脂腺物质。这些病变通常缺乏特异性症状,导致诊断延迟。计算机断层扫描(CT)和磁共振成像(MRI)等成像方式对于识别这些病变至关重要,但最终诊断依赖于病理检查。手术切除是主要的治疗方法,特别是对于有症状的或扩大的病变。本报告报告一位78岁的女性,以腹腔镜切除单发腹膜后成熟囊性畸胎瘤(皮样囊肿)继发肾积水。病例报告一名78岁女性,在常规健康检查中发现左肾占位和严重肾积水。影像学检查显示腹膜后囊性肿块压迫上尿路。她接受了腹腔镜肿块切除术和肾切除术。组织病理学检查证实了一个孤立的腹膜后成熟囊性畸胎瘤的诊断。术后恢复良好,随访期间无症状。结论腹膜后皮样囊肿是罕见的,由于其非特异性的临床和影像学特征,给诊断带来了挑战。早期诊断和手术干预对预防并发症和保持器官功能至关重要。本病例报告讨论了术前评估和早期治疗的重要性,强调了优化和规范此类疾病的诊断和管理的紧迫性。
本文章由计算机程序翻译,如有差异,请以英文原文为准。
求助全文
约1分钟内获得全文 求助全文
来源期刊
American Journal of Case Reports
American Journal of Case Reports Medicine-Medicine (all)
CiteScore
1.80
自引率
0.00%
发文量
599
期刊介绍: American Journal of Case Reports is an international, peer-reviewed scientific journal that publishes single and series case reports in all medical fields. American Journal of Case Reports is issued on a continuous basis as a primary electronic journal. Print copies of a single article or a set of articles can be ordered on demand.
×
引用
GB/T 7714-2015
复制
MLA
复制
APA
复制
导出至
BibTeX EndNote RefMan NoteFirst NoteExpress
×
提示
您的信息不完整,为了账户安全,请先补充。
现在去补充
×
提示
您因"违规操作"
具体请查看互助需知
我知道了
×
提示
确定
请完成安全验证×
copy
已复制链接
快去分享给好友吧!
我知道了
右上角分享
点击右上角分享
0
联系我们:info@booksci.cn Book学术提供免费学术资源搜索服务,方便国内外学者检索中英文文献。致力于提供最便捷和优质的服务体验。 Copyright © 2023 布克学术 All rights reserved.
京ICP备2023020795号-1
ghs 京公网安备 11010802042870号
Book学术文献互助
Book学术文献互助群
群 号:604180095
Book学术官方微信