Safety and efficacy of concomitant holmium laser enucleation of the prostate with transurethral endoscopic management of symptomatic large bladder diverticulum: revisiting a historical technique in the modern era with literature review.

IF 2.9 2区 医学 Q2 UROLOGY & NEPHROLOGY
Aravindh Rathinam, Ansh Bhatia, Maggie Meyreles, Hasim Bakbak, Johnathan Katz, Robert Marcovich, Hemendra N Shah
{"title":"Safety and efficacy of concomitant holmium laser enucleation of the prostate with transurethral endoscopic management of symptomatic large bladder diverticulum: revisiting a historical technique in the modern era with literature review.","authors":"Aravindh Rathinam, Ansh Bhatia, Maggie Meyreles, Hasim Bakbak, Johnathan Katz, Robert Marcovich, Hemendra N Shah","doi":"10.1007/s00345-025-05844-6","DOIUrl":null,"url":null,"abstract":"<p><strong>Introduction: </strong>Acquired bladder diverticulum (BD) is typically managed using open, laparoscopic, or robotic approaches. Although transurethral techniques demonstrated favorable outcomes in the 1970s and 1980s, they have largely fallen out of favor. This study revisits transurethral endoscopic management of large, symptomatic BD, combined with Holmium laser enucleation of the prostate (HoLEP) for patients with benign prostatic obstruction (BPO) and coexisting BD.</p><p><strong>Methods: </strong>We retrospectively reviewed patients who underwent combined HoLEP with transurethral endoscopic management of bladder diverticulum (C-HoLEP-TUBD) between May 2017 and January 2025. Following HoLEP, the diverticular neck was circumferentially resected, and the diverticular mucosa was fulgurated using bipolar cautery. Follow-up cystography was obtained 6-12 weeks postoperatively and perioperative data were collected and analyzed.</p><p><strong>Results: </strong>Six patients (mean age: 72 + 7.46 years) underwent the procedure. The mean prostate volume was 91 ± 43 cc, and mean BD size was 8.57 ± 5.28 cm. Preoperative Qmax averaged 4.76 ml/s, and mean post-void residual (PVR) was 372.8 cc. At 3-month follow-up, Qmax improved to 25.74 ± 22.4 ml/s, and PVR decreased to 22 ± 23.24 cc. Mean diverticulum size reduced to 1.7 ± 1.19 cm, representing an of 81.89 ± 15.09% reduction. No patient had a residual diverticulum > 2 cm or developed related symptoms during follow-up.</p><p><strong>Conclusion: </strong>C-HoLEP-TUBD is a safe and effective technique for managing large, symptomatic bladder diverticula in patients with BPO. This combined approach offers significant improvements in urinary function and diverticulum size. Further multi-institutional studies are warranted to confirm these findings and evaluate long-term outcomes.</p>","PeriodicalId":23954,"journal":{"name":"World Journal of Urology","volume":"43 1","pages":"508"},"PeriodicalIF":2.9000,"publicationDate":"2025-08-23","publicationTypes":"Journal Article","fieldsOfStudy":null,"isOpenAccess":false,"openAccessPdf":"https://www.ncbi.nlm.nih.gov/pmc/articles/PMC12374890/pdf/","citationCount":"0","resultStr":null,"platform":"Semanticscholar","paperid":null,"PeriodicalName":"World Journal of Urology","FirstCategoryId":"3","ListUrlMain":"https://doi.org/10.1007/s00345-025-05844-6","RegionNum":2,"RegionCategory":"医学","ArticlePicture":[],"TitleCN":null,"AbstractTextCN":null,"PMCID":null,"EPubDate":"","PubModel":"","JCR":"Q2","JCRName":"UROLOGY & NEPHROLOGY","Score":null,"Total":0}
引用次数: 0

Abstract

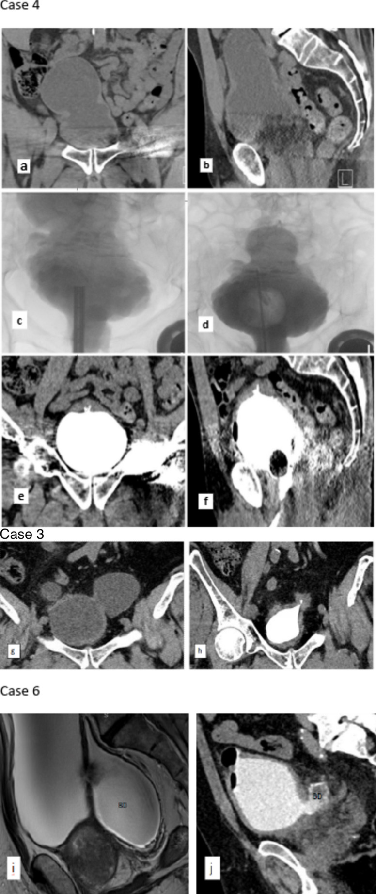
Introduction: Acquired bladder diverticulum (BD) is typically managed using open, laparoscopic, or robotic approaches. Although transurethral techniques demonstrated favorable outcomes in the 1970s and 1980s, they have largely fallen out of favor. This study revisits transurethral endoscopic management of large, symptomatic BD, combined with Holmium laser enucleation of the prostate (HoLEP) for patients with benign prostatic obstruction (BPO) and coexisting BD.

Methods: We retrospectively reviewed patients who underwent combined HoLEP with transurethral endoscopic management of bladder diverticulum (C-HoLEP-TUBD) between May 2017 and January 2025. Following HoLEP, the diverticular neck was circumferentially resected, and the diverticular mucosa was fulgurated using bipolar cautery. Follow-up cystography was obtained 6-12 weeks postoperatively and perioperative data were collected and analyzed.

Results: Six patients (mean age: 72 + 7.46 years) underwent the procedure. The mean prostate volume was 91 ± 43 cc, and mean BD size was 8.57 ± 5.28 cm. Preoperative Qmax averaged 4.76 ml/s, and mean post-void residual (PVR) was 372.8 cc. At 3-month follow-up, Qmax improved to 25.74 ± 22.4 ml/s, and PVR decreased to 22 ± 23.24 cc. Mean diverticulum size reduced to 1.7 ± 1.19 cm, representing an of 81.89 ± 15.09% reduction. No patient had a residual diverticulum > 2 cm or developed related symptoms during follow-up.

Conclusion: C-HoLEP-TUBD is a safe and effective technique for managing large, symptomatic bladder diverticula in patients with BPO. This combined approach offers significant improvements in urinary function and diverticulum size. Further multi-institutional studies are warranted to confirm these findings and evaluate long-term outcomes.

Abstract Image

钬激光前列腺摘除联合经尿道内窥镜治疗症状性大膀胱憩室的安全性和有效性:回顾现代的一项历史技术并进行文献回顾。
后天性膀胱憩室(BD)通常采用开放、腹腔镜或机器人方法进行治疗。尽管经尿道技术在20世纪70年代和80年代表现出良好的效果,但它们在很大程度上已经失宠。本研究回顾了经尿道腔镜下联合钬激光前列腺摘除(HoLEP)治疗良性前列腺梗阻(BPO)和共存BD患者的大症状性BD。方法:我们回顾性分析了2017年5月至2025年1月期间接受HoLEP联合经尿道腔镜下膀胱憩室治疗(C-HoLEP-TUBD)的患者。HoLEP手术后,将憩室颈部进行环切,并采用双极烧灼法电灼憩室粘膜。术后6 ~ 12周随访膀胱造影,收集围手术期资料并进行分析。结果:6例患者(平均年龄:72 + 7.46岁)接受了手术。前列腺平均体积为91±43 cc, BD平均大小为8.57±5.28 cm。术前Qmax平均为4.76 ml/s, PVR平均为372.8 cc,随访3个月,Qmax改善至25.74±22.4 ml/s, PVR降至22±23.24 cc,憩室平均缩小至1.7±1.19 cm,缩小81.89±15.09%。随访期间无患者憩室残余bb102cm或出现相关症状。结论:C-HoLEP-TUBD技术是治疗BPO患者大面积症状性膀胱憩室安全有效的方法。这种联合方法可以显著改善泌尿功能和憩室大小。需要进一步的多机构研究来证实这些发现并评估长期结果。
本文章由计算机程序翻译,如有差异,请以英文原文为准。
求助全文
约1分钟内获得全文 求助全文
来源期刊
World Journal of Urology
World Journal of Urology 医学-泌尿学与肾脏学
CiteScore
6.80
自引率
8.80%
发文量
317
审稿时长
4-8 weeks
期刊介绍: The WORLD JOURNAL OF UROLOGY conveys regularly the essential results of urological research and their practical and clinical relevance to a broad audience of urologists in research and clinical practice. In order to guarantee a balanced program, articles are published to reflect the developments in all fields of urology on an internationally advanced level. Each issue treats a main topic in review articles of invited international experts. Free papers are unrelated articles to the main topic.
×
引用
GB/T 7714-2015
复制
MLA
复制
APA
复制
导出至
BibTeX EndNote RefMan NoteFirst NoteExpress
×
提示
您的信息不完整,为了账户安全,请先补充。
现在去补充
×
提示
您因"违规操作"
具体请查看互助需知
我知道了
×
提示
确定
请完成安全验证×
copy
已复制链接
快去分享给好友吧!
我知道了
右上角分享
点击右上角分享
0
联系我们:info@booksci.cn Book学术提供免费学术资源搜索服务,方便国内外学者检索中英文文献。致力于提供最便捷和优质的服务体验。 Copyright © 2023 布克学术 All rights reserved.
京ICP备2023020795号-1
ghs 京公网安备 11010802042870号
Book学术文献互助
Book学术文献互助群
群 号:604180095
Book学术官方微信