Role of Carvedilol in Inhibiting the Proliferation and Migration of Vascular Smooth Muscle Cells by Upregulating microRNA-145 Expression.

IF 2 4区 医学 Q3 PHYSIOLOGY
Physiological research Pub Date : 2025-08-31
G Yang, Z Zhang, X Ma, J Chen, H Shi, J Yang, Q Han
{"title":"Role of Carvedilol in Inhibiting the Proliferation and Migration of Vascular Smooth Muscle Cells by Upregulating microRNA-145 Expression.","authors":"G Yang, Z Zhang, X Ma, J Chen, H Shi, J Yang, Q Han","doi":"","DOIUrl":null,"url":null,"abstract":"<p><p>The proliferation and migration of vascular smooth muscle cells (VSMCs) are the initial contributors to restenosis in patients undergoing percutaneous coronary intervention (PCI). MicroRNA-145 (miR-145) plays a significant role in this pathological process. Although carvedilol has been shown to inhibit VSMC proliferation and migration, the underlying mechanisms are not fully understood. The aim of our study is to examine whether carvedilol regulates the expression of miR-145 and thereby inhibits the proliferation and migrative capacity of VSMCs. VSMCs were cultured and transfected with either miR-145 mimics or miR-145 inhibitors. Cell proliferation was evaluated using the Cell Counting Kit-8 (CCK-8) and 5-ethynyl-2?-deoxyuridine (EdU) assays, while wound healing and Transwell assays were used to assess the migration capacity. Protein expression levels were quantified using western blot analysis, and additionally, a luciferase reporter assay was performed to identify the target gene of miR-145. We found that carvedilol upregulated the expression of miR-145 and decreased the expression of Krüppel-like factor 4 (KLF4). Furthermore, miR-145 inhibited VSMC proliferation and migration. KLF4 was identified as a direct target of miR-145. Importantly, the inhibition of miR-145 attenuated the suppressive effects of carvedilol on VSMCs. In summary, our results in this study demonstrate that carvedilol exerts its inhibitory effects on VSMC proliferation and migration, at least in part, through the upregulation of miR-145. These findings suggest that miR-145 may be a key mediator in the therapeutic effects of carvedilol on VSMCs.</p>","PeriodicalId":20235,"journal":{"name":"Physiological research","volume":"74 4","pages":"577-588"},"PeriodicalIF":2.0000,"publicationDate":"2025-08-31","publicationTypes":"Journal Article","fieldsOfStudy":null,"isOpenAccess":false,"openAccessPdf":"https://www.ncbi.nlm.nih.gov/pmc/articles/PMC12440358/pdf/","citationCount":"0","resultStr":null,"platform":"Semanticscholar","paperid":null,"PeriodicalName":"Physiological research","FirstCategoryId":"3","ListUrlMain":"","RegionNum":4,"RegionCategory":"医学","ArticlePicture":[],"TitleCN":null,"AbstractTextCN":null,"PMCID":null,"EPubDate":"","PubModel":"","JCR":"Q3","JCRName":"PHYSIOLOGY","Score":null,"Total":0}
引用次数: 0

Abstract

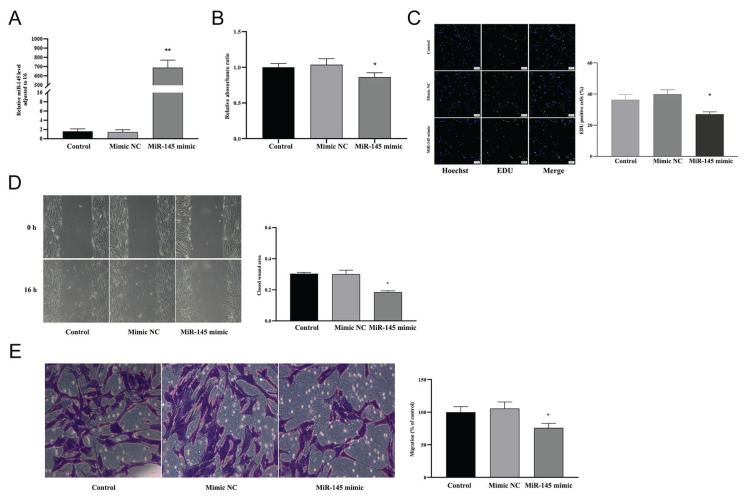
The proliferation and migration of vascular smooth muscle cells (VSMCs) are the initial contributors to restenosis in patients undergoing percutaneous coronary intervention (PCI). MicroRNA-145 (miR-145) plays a significant role in this pathological process. Although carvedilol has been shown to inhibit VSMC proliferation and migration, the underlying mechanisms are not fully understood. The aim of our study is to examine whether carvedilol regulates the expression of miR-145 and thereby inhibits the proliferation and migrative capacity of VSMCs. VSMCs were cultured and transfected with either miR-145 mimics or miR-145 inhibitors. Cell proliferation was evaluated using the Cell Counting Kit-8 (CCK-8) and 5-ethynyl-2?-deoxyuridine (EdU) assays, while wound healing and Transwell assays were used to assess the migration capacity. Protein expression levels were quantified using western blot analysis, and additionally, a luciferase reporter assay was performed to identify the target gene of miR-145. We found that carvedilol upregulated the expression of miR-145 and decreased the expression of Krüppel-like factor 4 (KLF4). Furthermore, miR-145 inhibited VSMC proliferation and migration. KLF4 was identified as a direct target of miR-145. Importantly, the inhibition of miR-145 attenuated the suppressive effects of carvedilol on VSMCs. In summary, our results in this study demonstrate that carvedilol exerts its inhibitory effects on VSMC proliferation and migration, at least in part, through the upregulation of miR-145. These findings suggest that miR-145 may be a key mediator in the therapeutic effects of carvedilol on VSMCs.

Abstract Image

Abstract Image

Abstract Image

卡维地洛通过上调microRNA-145表达抑制血管平滑肌细胞增殖和迁移的作用
血管平滑肌细胞(VSMCs)的增殖和迁移是经皮冠状动脉介入治疗(PCI)患者再狭窄的首要因素。MicroRNA-145 (miR-145)在这一病理过程中起着重要作用。虽然卡维地洛已被证明可以抑制VSMC的增殖和迁移,但其潜在的机制尚不完全清楚。我们的研究目的是研究卡维地洛是否调节miR-145的表达,从而抑制VSMCs的增殖和迁移能力。培养VSMCs并用miR-145模拟物或miR-145抑制剂转染。使用细胞计数试剂盒-8 (CCK-8)和5-乙基-2?-脱氧尿苷(EdU)测定,而伤口愈合和Transwell测定则用于评估迁移能力。使用western blot分析对蛋白表达水平进行量化,此外,进行荧光素酶报告基因测定以鉴定miR-145的靶基因。我们发现卡维地洛上调miR-145的表达,降低kr ppel样因子4 (KLF4)的表达。此外,miR-145抑制VSMC的增殖和迁移。KLF4被确定为miR-145的直接靶点。重要的是,miR-145的抑制减弱了卡维地洛对vsmc的抑制作用。总之,我们在本研究中的结果表明,卡维地洛对VSMC增殖和迁移的抑制作用,至少部分是通过上调miR-145来实现的。这些发现表明,miR-145可能是卡维地洛对VSMCs治疗作用的关键介质。
本文章由计算机程序翻译,如有差异,请以英文原文为准。
求助全文
约1分钟内获得全文 求助全文
来源期刊
Physiological research
Physiological research 医学-生理学
CiteScore
4.00
自引率
4.80%
发文量
108
审稿时长
3 months
期刊介绍: Physiological Research is a peer reviewed Open Access journal that publishes articles on normal and pathological physiology, biochemistry, biophysics, and pharmacology. Authors can submit original, previously unpublished research articles, review articles, rapid or short communications. Instructions for Authors - Respect the instructions carefully when submitting your manuscript. Submitted manuscripts or revised manuscripts that do not follow these Instructions will not be included into the peer-review process. The articles are available in full versions as pdf files beginning with volume 40, 1991. The journal publishes the online Ahead of Print /Pre-Press version of the articles that are searchable in Medline and can be cited.
×
引用
GB/T 7714-2015
复制
MLA
复制
APA
复制
导出至
BibTeX EndNote RefMan NoteFirst NoteExpress
×
提示
您的信息不完整,为了账户安全,请先补充。
现在去补充
×
提示
您因"违规操作"
具体请查看互助需知
我知道了
×
提示
确定
请完成安全验证×
copy
已复制链接
快去分享给好友吧!
我知道了
右上角分享
点击右上角分享
0
联系我们:info@booksci.cn Book学术提供免费学术资源搜索服务,方便国内外学者检索中英文文献。致力于提供最便捷和优质的服务体验。 Copyright © 2023 布克学术 All rights reserved.
京ICP备2023020795号-1
ghs 京公网安备 11010802042870号
Book学术文献互助
Book学术文献互助群
群 号:604180095
Book学术官方微信