Technical report on the first clinical use of a bioabsorbable PGA spacer in HDR brachytherapy for recurrent cervical cancer.

IF 2 4区 医学 Q2 BIOLOGY
Kae Okuma, Tomomichi Kiyomatsu, Hirotoshi Takiyama, Akane Yoshiba, Koji Inaba, Tairo Kashihara, Kana Takahashi, Madoka Sakuramachi, Ayaka Nagao, Hiroshi Igaki
{"title":"Technical report on the first clinical use of a bioabsorbable PGA spacer in HDR brachytherapy for recurrent cervical cancer.","authors":"Kae Okuma, Tomomichi Kiyomatsu, Hirotoshi Takiyama, Akane Yoshiba, Koji Inaba, Tairo Kashihara, Kana Takahashi, Madoka Sakuramachi, Ayaka Nagao, Hiroshi Igaki","doi":"10.1093/jrr/rraf053","DOIUrl":null,"url":null,"abstract":"<p><p>In recurrent gynecologic malignancies following prior pelvic irradiation, definitive radiation therapy is often precluded by cumulative dose constraints to adjacent organs at risk (OARs), and patients may be left with only highly invasive surgical options such as total pelvic exenteration. While some institutions have explored displacement techniques such as artificial ascites or hyaluronic acid gel injection, these approaches are not widely adopted and frequently fail to ensure consistent and stable separation of OARs. We report the first clinical use of Neskeep®, a bioabsorbable polyglycolic acid (PGA) spacer, in high-dose-rate (HDR) brachytherapy for recurrent cervical cancer after prior pelvic radiation. A woman in her 40s with prior hysterectomy and HDR brachytherapy for cervical intraepithelial neoplasia grade III developed vaginal stump recurrence 4 years later. Laparoscopic placement of the PGA spacer was performed to achieve durable displacement of the small bowel, followed by eight fractions of HDR brachytherapy. Hyaluronic acid gel was also injected during each fraction to displace the bladder and rectum. The spacer maintained position and volume throughout treatment without complications. Dose-volume analysis showed a marked reduction in small bowel D₂cc (mean equivalent dose in 2 Gy fractions (EQD₂): 121.6 cGy) compared to the initial treatment (606.0 cGy), while the spacer itself received a mean D₂cc of 690.3 cGy. MRI confirmed complete response at 2 months, with no adverse events observed at that time point. The PGA spacer enabled safe, curative reirradiation in a case that would otherwise be unsuitable for further radiation therapy.</p>","PeriodicalId":16922,"journal":{"name":"Journal of Radiation Research","volume":" ","pages":"570-577"},"PeriodicalIF":2.0000,"publicationDate":"2025-09-23","publicationTypes":"Journal Article","fieldsOfStudy":null,"isOpenAccess":false,"openAccessPdf":"https://www.ncbi.nlm.nih.gov/pmc/articles/PMC12460051/pdf/","citationCount":"0","resultStr":null,"platform":"Semanticscholar","paperid":null,"PeriodicalName":"Journal of Radiation Research","FirstCategoryId":"3","ListUrlMain":"https://doi.org/10.1093/jrr/rraf053","RegionNum":4,"RegionCategory":"医学","ArticlePicture":[],"TitleCN":null,"AbstractTextCN":null,"PMCID":null,"EPubDate":"","PubModel":"","JCR":"Q2","JCRName":"BIOLOGY","Score":null,"Total":0}
引用次数: 0

Abstract

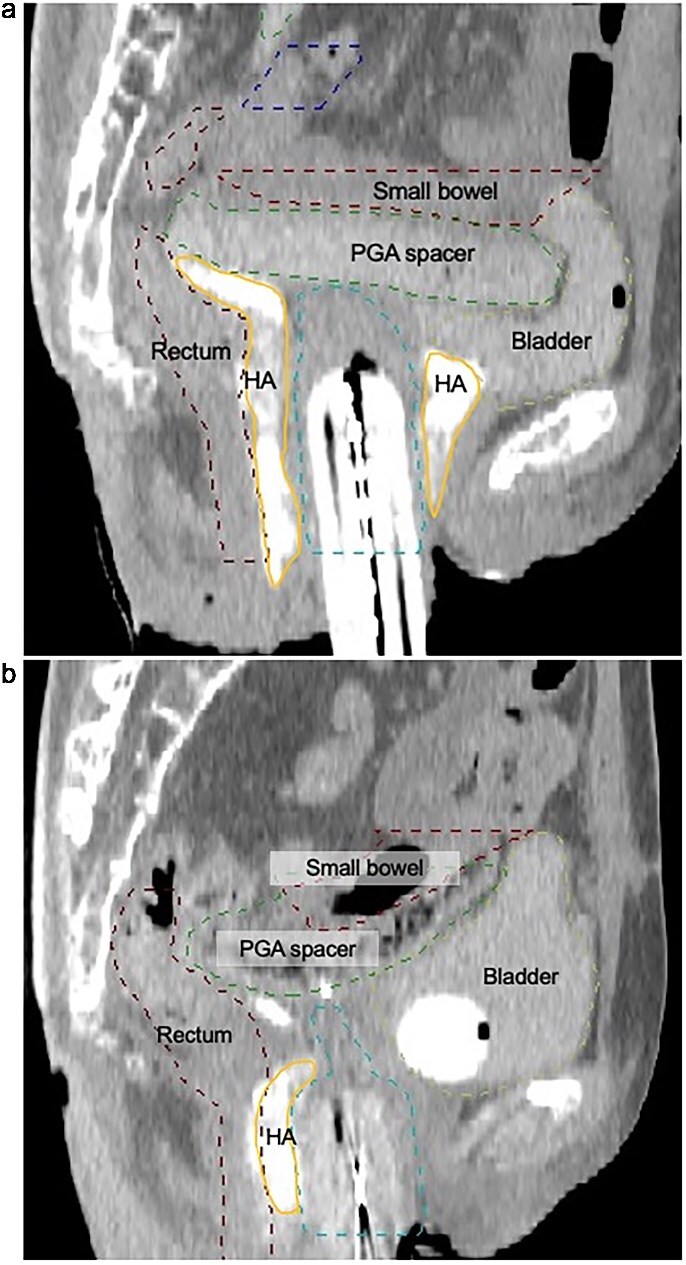
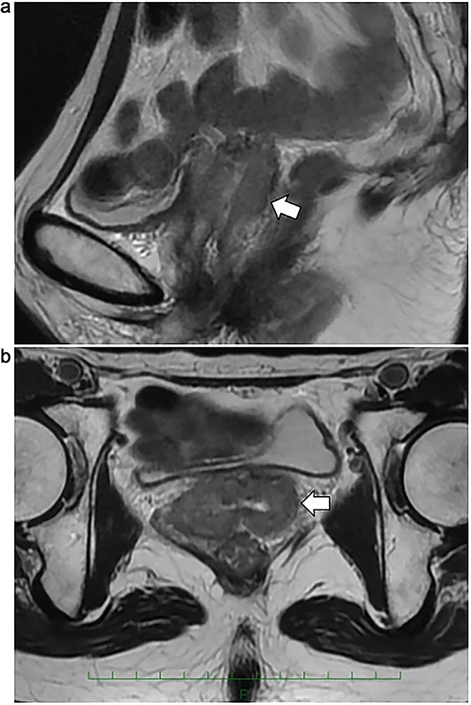
In recurrent gynecologic malignancies following prior pelvic irradiation, definitive radiation therapy is often precluded by cumulative dose constraints to adjacent organs at risk (OARs), and patients may be left with only highly invasive surgical options such as total pelvic exenteration. While some institutions have explored displacement techniques such as artificial ascites or hyaluronic acid gel injection, these approaches are not widely adopted and frequently fail to ensure consistent and stable separation of OARs. We report the first clinical use of Neskeep®, a bioabsorbable polyglycolic acid (PGA) spacer, in high-dose-rate (HDR) brachytherapy for recurrent cervical cancer after prior pelvic radiation. A woman in her 40s with prior hysterectomy and HDR brachytherapy for cervical intraepithelial neoplasia grade III developed vaginal stump recurrence 4 years later. Laparoscopic placement of the PGA spacer was performed to achieve durable displacement of the small bowel, followed by eight fractions of HDR brachytherapy. Hyaluronic acid gel was also injected during each fraction to displace the bladder and rectum. The spacer maintained position and volume throughout treatment without complications. Dose-volume analysis showed a marked reduction in small bowel D₂cc (mean equivalent dose in 2 Gy fractions (EQD₂): 121.6 cGy) compared to the initial treatment (606.0 cGy), while the spacer itself received a mean D₂cc of 690.3 cGy. MRI confirmed complete response at 2 months, with no adverse events observed at that time point. The PGA spacer enabled safe, curative reirradiation in a case that would otherwise be unsuitable for further radiation therapy.

Abstract Image

Abstract Image

Abstract Image

生物可吸收PGA间隔剂在复发性宫颈癌HDR近距离放射治疗中的首次临床应用技术报告。
在既往盆腔放疗后复发的妇科恶性肿瘤中,由于邻近危险器官(OARs)的累积剂量限制,最终的放射治疗通常被排除在外,患者可能只剩下高度侵入性的手术选择,如全盆腔切除。虽然一些机构已经探索了置换技术,如人工腹水或透明质酸凝胶注射,但这些方法并未被广泛采用,并且经常无法确保桨叶的一致和稳定分离。我们报告了Neskeep®,一种生物可吸收聚乙醇酸(PGA)间隔剂,在高剂量率(HDR)近距离治疗盆腔放疗后复发宫颈癌的首次临床应用。一名40多岁的妇女因宫颈上皮内瘤变III级进行子宫切除术和HDR近距离治疗,4年后阴道残端复发。腹腔镜下放置PGA垫片以实现小肠的持久移位,随后进行8次HDR近距离治疗。每段时间注射透明质酸凝胶置换膀胱和直肠。在整个治疗过程中,间隔器保持位置和体积,无并发症。剂量-体积分析显示,与初始治疗(606.0 cGy)相比,小肠D₂cc (2 Gy分数的平均等效剂量(EQD₂):121.6 cGy)显着减少,而间隔剂本身的平均D₂cc为690.3 cGy。MRI证实在2个月时完全缓解,当时没有观察到不良事件。PGA间隔器使不适合进一步放射治疗的病例获得安全、治愈性的再照射。
本文章由计算机程序翻译,如有差异,请以英文原文为准。
求助全文
约1分钟内获得全文 求助全文
来源期刊
CiteScore
3.60
自引率
5.00%
发文量
86
审稿时长
4-8 weeks
期刊介绍: The Journal of Radiation Research (JRR) is an official journal of The Japanese Radiation Research Society (JRRS), and the Japanese Society for Radiation Oncology (JASTRO). Since its launch in 1960 as the official journal of the JRRS, the journal has published scientific articles in radiation science in biology, chemistry, physics, epidemiology, and environmental sciences. JRR broadened its scope to include oncology in 2009, when JASTRO partnered with the JRRS to publish the journal. Articles considered fall into two broad categories: Oncology & Medicine - including all aspects of research with patients that impacts on the treatment of cancer using radiation. Papers which cover related radiation therapies, radiation dosimetry, and those describing the basis for treatment methods including techniques, are also welcomed. Clinical case reports are not acceptable. Radiation Research - basic science studies of radiation effects on livings in the area of physics, chemistry, biology, epidemiology and environmental sciences. Please be advised that JRR does not accept any papers of pure physics or chemistry. The journal is bimonthly, and is edited and published by the JRR Editorial Committee.
×
引用
GB/T 7714-2015
复制
MLA
复制
APA
复制
导出至
BibTeX EndNote RefMan NoteFirst NoteExpress
×
提示
您的信息不完整,为了账户安全,请先补充。
现在去补充
×
提示
您因"违规操作"
具体请查看互助需知
我知道了
×
提示
确定
请完成安全验证×
copy
已复制链接
快去分享给好友吧!
我知道了
右上角分享
点击右上角分享
0
联系我们:info@booksci.cn Book学术提供免费学术资源搜索服务,方便国内外学者检索中英文文献。致力于提供最便捷和优质的服务体验。 Copyright © 2023 布克学术 All rights reserved.
京ICP备2023020795号-1
ghs 京公网安备 11010802042870号
Book学术文献互助
Book学术文献互助群
群 号:604180095
Book学术官方微信