Near-fatal asthma in a 12-year-old girl leading to life-threatening tonsillar herniation: a case report.

IF 0.8 Q3 MEDICINE, GENERAL & INTERNAL
Abdullah Almutairi, Khalid Althobaiti, Mohannad Antar, Hala Al Alem, Amna Kashgari
{"title":"Near-fatal asthma in a 12-year-old girl leading to life-threatening tonsillar herniation: a case report.","authors":"Abdullah Almutairi, Khalid Althobaiti, Mohannad Antar, Hala Al Alem, Amna Kashgari","doi":"10.1186/s13256-025-05507-5","DOIUrl":null,"url":null,"abstract":"<p><strong>Background: </strong>Severe asthma exacerbations can lead to rare and life-threatening complications such as cerebral edema and tonsillar herniation. This case highlights the importance of early recognition, aggressive treatment, and the implementation of standardized pediatric intensive care unit protocols for managing critical asthma complications.</p><p><strong>Case presentation: </strong>We report the case of a 12-year-old girl of Middle Eastern descent from Saudi Arabia with a history of bronchial asthma and allergic rhinitis who developed cerebral edema and resultant tonsillar herniation following a severe asthma exacerbation. Her presentation was marked by respiratory distress unresponsive to initial therapy. Intensive management in the pediatric intensive care unit including mechanical ventilation and neuroprotective measures resulted in full neurological recovery prior to discharge.</p><p><strong>Conclusion: </strong>This case underscores the need for prompt identification and multidisciplinary management of severe asthma complications in pediatric patients to prevent irreversible outcomes.</p>","PeriodicalId":16236,"journal":{"name":"Journal of Medical Case Reports","volume":"19 1","pages":"435"},"PeriodicalIF":0.8000,"publicationDate":"2025-09-01","publicationTypes":"Journal Article","fieldsOfStudy":null,"isOpenAccess":false,"openAccessPdf":"https://www.ncbi.nlm.nih.gov/pmc/articles/PMC12400729/pdf/","citationCount":"0","resultStr":null,"platform":"Semanticscholar","paperid":null,"PeriodicalName":"Journal of Medical Case Reports","FirstCategoryId":"1085","ListUrlMain":"https://doi.org/10.1186/s13256-025-05507-5","RegionNum":0,"RegionCategory":null,"ArticlePicture":[],"TitleCN":null,"AbstractTextCN":null,"PMCID":null,"EPubDate":"","PubModel":"","JCR":"Q3","JCRName":"MEDICINE, GENERAL & INTERNAL","Score":null,"Total":0}
引用次数: 0

Abstract

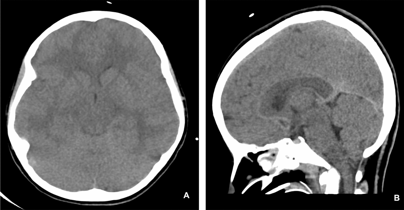
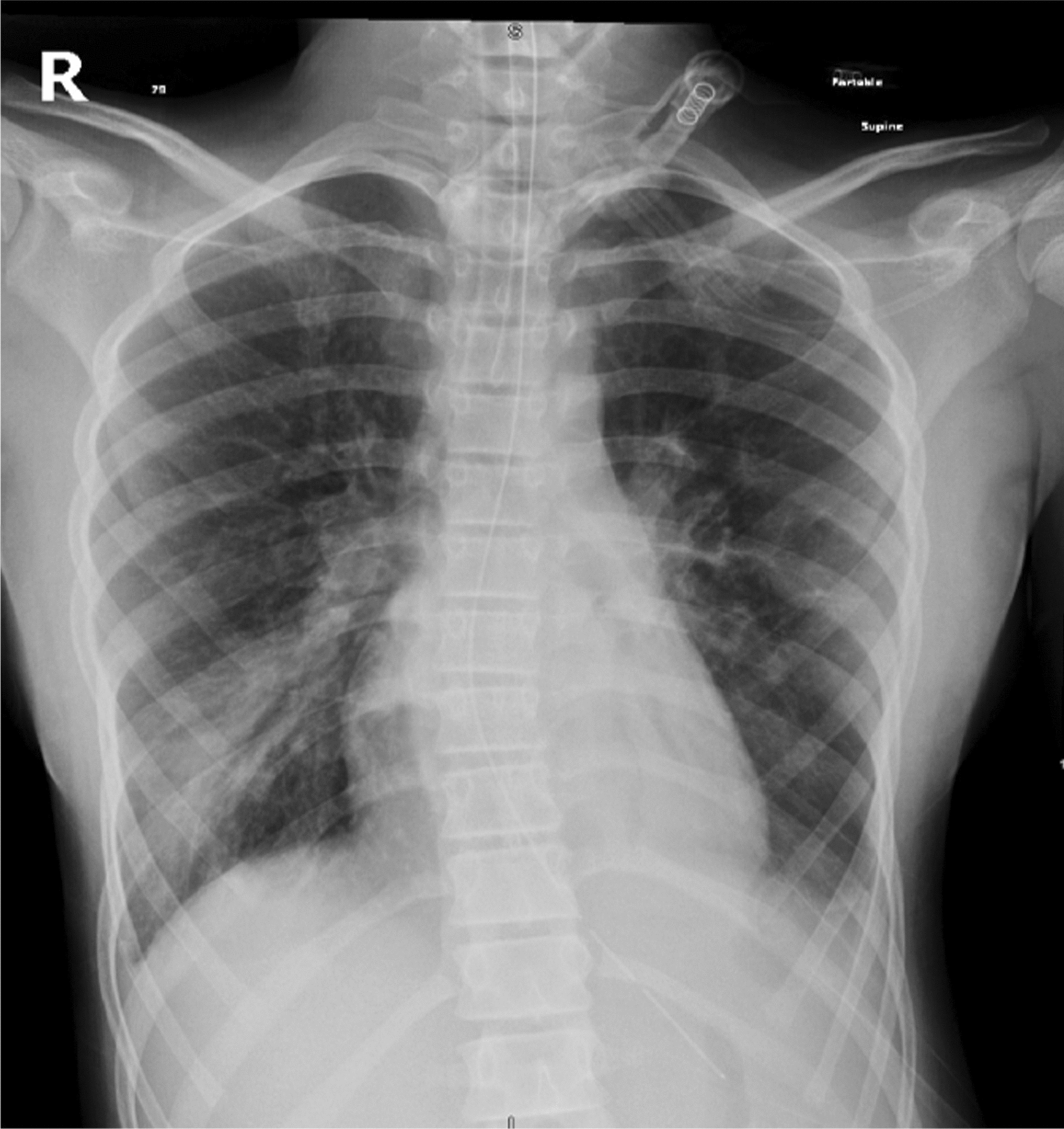
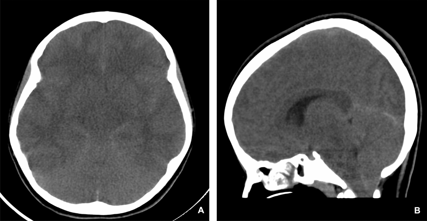
Background: Severe asthma exacerbations can lead to rare and life-threatening complications such as cerebral edema and tonsillar herniation. This case highlights the importance of early recognition, aggressive treatment, and the implementation of standardized pediatric intensive care unit protocols for managing critical asthma complications.

Case presentation: We report the case of a 12-year-old girl of Middle Eastern descent from Saudi Arabia with a history of bronchial asthma and allergic rhinitis who developed cerebral edema and resultant tonsillar herniation following a severe asthma exacerbation. Her presentation was marked by respiratory distress unresponsive to initial therapy. Intensive management in the pediatric intensive care unit including mechanical ventilation and neuroprotective measures resulted in full neurological recovery prior to discharge.

Conclusion: This case underscores the need for prompt identification and multidisciplinary management of severe asthma complications in pediatric patients to prevent irreversible outcomes.

Abstract Image

Abstract Image

Abstract Image

近乎致命的哮喘在一个12岁的女孩导致危及生命的扁桃体突出:一个病例报告。
背景:严重的哮喘发作可导致罕见且危及生命的并发症,如脑水肿和扁桃体突出。本病例强调了早期识别、积极治疗和实施标准化儿科重症监护病房方案对管理严重哮喘并发症的重要性。病例介绍:我们报告一名来自沙特阿拉伯的12岁中东裔女孩,她有支气管哮喘和过敏性鼻炎病史,在严重哮喘发作后出现脑水肿和扁桃体疝。她的表现为呼吸窘迫,对初始治疗无反应。在儿科重症监护室的强化管理,包括机械通气和神经保护措施,导致出院前神经系统完全恢复。结论:该病例强调了儿科患者严重哮喘并发症的及时识别和多学科管理的必要性,以防止不可逆转的后果。
本文章由计算机程序翻译,如有差异,请以英文原文为准。
求助全文
约1分钟内获得全文 求助全文
来源期刊
Journal of Medical Case Reports
Journal of Medical Case Reports Medicine-Medicine (all)
CiteScore
1.50
自引率
0.00%
发文量
436
期刊介绍: JMCR is an open access, peer-reviewed online journal that will consider any original case report that expands the field of general medical knowledge. Reports should show one of the following: 1. Unreported or unusual side effects or adverse interactions involving medications 2. Unexpected or unusual presentations of a disease 3. New associations or variations in disease processes 4. Presentations, diagnoses and/or management of new and emerging diseases 5. An unexpected association between diseases or symptoms 6. An unexpected event in the course of observing or treating a patient 7. Findings that shed new light on the possible pathogenesis of a disease or an adverse effect
×
引用
GB/T 7714-2015
复制
MLA
复制
APA
复制
导出至
BibTeX EndNote RefMan NoteFirst NoteExpress
×
提示
您的信息不完整,为了账户安全,请先补充。
现在去补充
×
提示
您因"违规操作"
具体请查看互助需知
我知道了
×
提示
确定
请完成安全验证×
copy
已复制链接
快去分享给好友吧!
我知道了
右上角分享
点击右上角分享
0
联系我们:info@booksci.cn Book学术提供免费学术资源搜索服务,方便国内外学者检索中英文文献。致力于提供最便捷和优质的服务体验。 Copyright © 2023 布克学术 All rights reserved.
京ICP备2023020795号-1
ghs 京公网安备 11010802042870号
Book学术文献互助
Book学术文献互助群
群 号:604180095
Book学术官方微信