Radiographic Convergence: A Case of Pneumomediastinum, Pneumothorax, Pneumopericardium, and Subcutaneous Emphysema.

IF 0.8 Q3 MEDICINE, GENERAL & INTERNAL
Nizar Alyassin, Islam Rajab, Sabrina Higgins, Michael Pelidis, Ruth Lamm
{"title":"Radiographic Convergence: A Case of Pneumomediastinum, Pneumothorax, Pneumopericardium, and Subcutaneous Emphysema.","authors":"Nizar Alyassin, Islam Rajab, Sabrina Higgins, Michael Pelidis, Ruth Lamm","doi":"10.1177/23247096251367550","DOIUrl":null,"url":null,"abstract":"<p><p>Spontaneous pneumomediastinum (SPM) is a rare, self-limiting condition that can be complicated by pneumothorax, pneumopericardium, and subcutaneous emphysema. This case describes a 25-year-old man with a chronic marijuana use history who developed SPM after a recent respiratory infection. Imaging showed significant pneumomediastinum, pneumopericardium, and small pneumothoraces bilaterally. Despite these findings, he remained stable and was treated conservatively with oxygen supplementation, analgesics, and close monitoring. By day 6, his condition had nearly resolved, and he was safely discharged. This case emphasizes the importance of considering SPM in young patients with acute respiratory distress and reinforces the value of computed tomography scans in promptly diagnosing and managing the condition without invasive interventions.</p>","PeriodicalId":16198,"journal":{"name":"Journal of investigative medicine high impact case reports","volume":"13 ","pages":"23247096251367550"},"PeriodicalIF":0.8000,"publicationDate":"2025-01-01","publicationTypes":"Journal Article","fieldsOfStudy":null,"isOpenAccess":false,"openAccessPdf":"https://www.ncbi.nlm.nih.gov/pmc/articles/PMC12391704/pdf/","citationCount":"0","resultStr":null,"platform":"Semanticscholar","paperid":null,"PeriodicalName":"Journal of investigative medicine high impact case reports","FirstCategoryId":"1085","ListUrlMain":"https://doi.org/10.1177/23247096251367550","RegionNum":0,"RegionCategory":null,"ArticlePicture":[],"TitleCN":null,"AbstractTextCN":null,"PMCID":null,"EPubDate":"2025/8/27 0:00:00","PubModel":"Epub","JCR":"Q3","JCRName":"MEDICINE, GENERAL & INTERNAL","Score":null,"Total":0}
引用次数: 0

Abstract

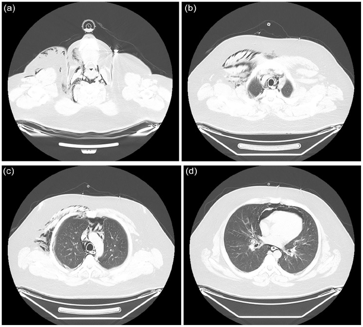
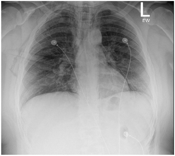
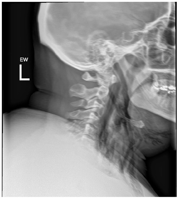
Spontaneous pneumomediastinum (SPM) is a rare, self-limiting condition that can be complicated by pneumothorax, pneumopericardium, and subcutaneous emphysema. This case describes a 25-year-old man with a chronic marijuana use history who developed SPM after a recent respiratory infection. Imaging showed significant pneumomediastinum, pneumopericardium, and small pneumothoraces bilaterally. Despite these findings, he remained stable and was treated conservatively with oxygen supplementation, analgesics, and close monitoring. By day 6, his condition had nearly resolved, and he was safely discharged. This case emphasizes the importance of considering SPM in young patients with acute respiratory distress and reinforces the value of computed tomography scans in promptly diagnosing and managing the condition without invasive interventions.

Abstract Image

Abstract Image

Abstract Image

纵隔气肿、气胸、心包气肿及皮下肺气肿1例。
自发性纵隔气肿(SPM)是一种罕见的自限性疾病,可并发气胸、心包气肿和皮下肺气肿。本病例描述了一名25岁的男子,他有慢性大麻使用史,在最近的呼吸道感染后发展为SPM。影像学显示双侧明显纵隔气肿、心包气肿和小气胸。尽管有这些发现,他仍然保持稳定,并通过补充氧气、镇痛药和密切监测进行保守治疗。第六天,他的病情基本好转,他安全出院了。本病例强调了考虑急性呼吸窘迫的年轻患者的SPM的重要性,并强调了计算机断层扫描在没有侵入性干预的情况下及时诊断和管理病情的价值。
本文章由计算机程序翻译,如有差异,请以英文原文为准。
求助全文
约1分钟内获得全文 求助全文
来源期刊
CiteScore
1.90
自引率
0.00%
发文量
165
审稿时长
12 weeks
期刊介绍: The AFMR is committed to enhancing the training and career development of our members and to furthering its mission to facilitate the conduct of research to improve medical care. Case reports represent an important avenue for trainees (interns, residents, and fellows) and early-stage faculty to demonstrate productive, scholarly activity.
×
引用
GB/T 7714-2015
复制
MLA
复制
APA
复制
导出至
BibTeX EndNote RefMan NoteFirst NoteExpress
×
提示
您的信息不完整,为了账户安全,请先补充。
现在去补充
×
提示
您因"违规操作"
具体请查看互助需知
我知道了
×
提示
确定
请完成安全验证×
copy
已复制链接
快去分享给好友吧!
我知道了
右上角分享
点击右上角分享
0
联系我们:info@booksci.cn Book学术提供免费学术资源搜索服务,方便国内外学者检索中英文文献。致力于提供最便捷和优质的服务体验。 Copyright © 2023 布克学术 All rights reserved.
京ICP备2023020795号-1
ghs 京公网安备 11010802042870号
Book学术文献互助
Book学术文献互助群
群 号:604180095
Book学术官方微信