Correction: Detection of bovine leukemia virus, Epstein-Barr virus and human papillomavirus in breast cancer tissues of Egyptian patients.

IF 2.8 2区 医学 Q3 IMMUNOLOGY
May Raouf, Salwa Kamal, Rawan Elsayed, Inass Zaki, Dina Kholeif
{"title":"Correction: Detection of bovine leukemia virus, Epstein-Barr virus and human papillomavirus in breast cancer tissues of Egyptian patients.","authors":"May Raouf, Salwa Kamal, Rawan Elsayed, Inass Zaki, Dina Kholeif","doi":"10.1186/s13027-025-00692-w","DOIUrl":null,"url":null,"abstract":"","PeriodicalId":13568,"journal":{"name":"Infectious Agents and Cancer","volume":"20 1","pages":"58"},"PeriodicalIF":2.8000,"publicationDate":"2025-08-26","publicationTypes":"Journal Article","fieldsOfStudy":null,"isOpenAccess":false,"openAccessPdf":"https://www.ncbi.nlm.nih.gov/pmc/articles/PMC12379335/pdf/","citationCount":"0","resultStr":null,"platform":"Semanticscholar","paperid":null,"PeriodicalName":"Infectious Agents and Cancer","FirstCategoryId":"3","ListUrlMain":"https://doi.org/10.1186/s13027-025-00692-w","RegionNum":2,"RegionCategory":"医学","ArticlePicture":[],"TitleCN":null,"AbstractTextCN":null,"PMCID":null,"EPubDate":"","PubModel":"","JCR":"Q3","JCRName":"IMMUNOLOGY","Score":null,"Total":0}
引用次数: 0

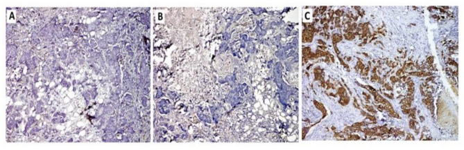
Abstract Image

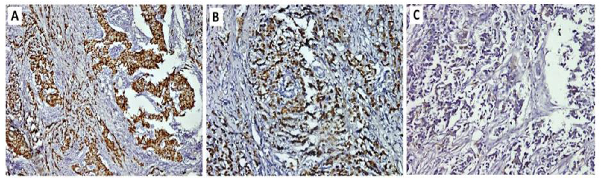
Abstract Image

更正:在埃及乳腺癌患者组织中检测牛白血病病毒、eb病毒和人乳头瘤病毒。
本文章由计算机程序翻译,如有差异,请以英文原文为准。
求助全文
约1分钟内获得全文 求助全文
来源期刊
Infectious Agents and Cancer
Infectious Agents and Cancer ONCOLOGY-IMMUNOLOGY
CiteScore
5.80
自引率
2.70%
发文量
54
期刊介绍: Infectious Agents and Cancer is an open access, peer-reviewed online journal that encompasses all aspects of basic, clinical, epidemiological and translational research providing an insight into the association between chronic infections and cancer. The journal welcomes submissions in the pathogen-related cancer areas and other related topics, in particular: • HPV and anogenital cancers, as well as head and neck cancers; • EBV and Burkitt lymphoma; • HCV/HBV and hepatocellular carcinoma as well as lymphoproliferative diseases; • HHV8 and Kaposi sarcoma; • HTLV and leukemia; • Cancers in Low- and Middle-income countries. The link between infection and cancer has become well established over the past 50 years, and infection-associated cancer contribute up to 16% of cancers in developed countries and 33% in less developed countries. Preventive vaccines have been developed for only two cancer-causing viruses, highlighting both the opportunity to prevent infection-associated cancers by vaccination and the gaps that remain before vaccines can be developed for other cancer-causing agents. These gaps are due to incomplete understanding of the basic biology, natural history, epidemiology of many of the pathogens that cause cancer, the mechanisms they exploit to cause cancer, and how to interrupt progression to cancer in human populations. Early diagnosis or identification of lesions at high risk of progression represent the current most critical research area of the field supported by recent advances in genomics and proteomics technologies.
×
引用
GB/T 7714-2015
复制
MLA
复制
APA
复制
导出至
BibTeX EndNote RefMan NoteFirst NoteExpress
×
提示
您的信息不完整,为了账户安全,请先补充。
现在去补充
×
提示
您因"违规操作"
具体请查看互助需知
我知道了
×
提示
确定
请完成安全验证×
copy
已复制链接
快去分享给好友吧!
我知道了
右上角分享
点击右上角分享
0
联系我们:info@booksci.cn Book学术提供免费学术资源搜索服务,方便国内外学者检索中英文文献。致力于提供最便捷和优质的服务体验。 Copyright © 2023 布克学术 All rights reserved.
京ICP备2023020795号-1
ghs 京公网安备 11010802042870号
Book学术文献互助
Book学术文献互助群
群 号:604180095
Book学术官方微信