Methotrexate-Induced Leukocytoclastic Vasculitis: A Case Report and Literature Review.

IF 2.2 4区 医学 Q3 DERMATOLOGY
Clinical, Cosmetic and Investigational Dermatology Pub Date : 2025-08-24 eCollection Date: 2025-01-01 DOI:10.2147/CCID.S528734
Yanisa Ratanapokasatit, Natthachat Jurairattanaporn
{"title":"Methotrexate-Induced Leukocytoclastic Vasculitis: A Case Report and Literature Review.","authors":"Yanisa Ratanapokasatit, Natthachat Jurairattanaporn","doi":"10.2147/CCID.S528734","DOIUrl":null,"url":null,"abstract":"<p><p>Methotrexate (MTX) is widely utilized for the management of autoimmune diseases and neoplasms. It may cause several adverse effects, including myelosuppression, hepatitis, and mucositis, and in rare cases, can result in cutaneous vasculitis. We present a case involving a 60-year-old female patient receiving 5 milligrams (mg) of MTX weekly for the treatment of systemic lupus erythematosus (SLE). Her underlying condition was end-stage renal disease (ESRD), requiring hemodialysis (HD). Ten weeks after MTX treatment, she developed oral ulcers, pancytopenia, and hepatitis, followed by multiple non-blanchable erythematous papules, along with a few vesicles and pustules on the neck, trunk and arms. Laboratory results indicated elevated serum MTX levels, and skin biopsy demonstrated dense superficial perivascular and interstitial lymphocytic, eosinophilic, and neutrophilic infiltration, along with nuclear debris and extravasated erythrocytes, indicative of early leukocytoclastic vasculitis (LCV). Direct immunofluorescence (DIF) identified C3 deposits at the dermo-epidermal junction and superficial blood vessels, indicating possible immune complex-mediated vascular disease. The patient was diagnosed with MTX toxicity and histologically confirmed LCV secondary to MTX. MTX toxicity was effectively treated with intravenous folinic acid and cessation of MTX, alongside prescriptions of oral prednisolone and emollients for LCV management. Serum MTX levels became undetectable after a five-day treatment regimen. Skin lesion resolution occurred within one week. Additionally, a review of existing literatures on MTX-induced LCV was conducted.</p>","PeriodicalId":10447,"journal":{"name":"Clinical, Cosmetic and Investigational Dermatology","volume":"18 ","pages":"2005-2012"},"PeriodicalIF":2.2000,"publicationDate":"2025-08-24","publicationTypes":"Journal Article","fieldsOfStudy":null,"isOpenAccess":false,"openAccessPdf":"https://www.ncbi.nlm.nih.gov/pmc/articles/PMC12393089/pdf/","citationCount":"0","resultStr":null,"platform":"Semanticscholar","paperid":null,"PeriodicalName":"Clinical, Cosmetic and Investigational Dermatology","FirstCategoryId":"3","ListUrlMain":"https://doi.org/10.2147/CCID.S528734","RegionNum":4,"RegionCategory":"医学","ArticlePicture":[],"TitleCN":null,"AbstractTextCN":null,"PMCID":null,"EPubDate":"2025/1/1 0:00:00","PubModel":"eCollection","JCR":"Q3","JCRName":"DERMATOLOGY","Score":null,"Total":0}
引用次数: 0

Abstract

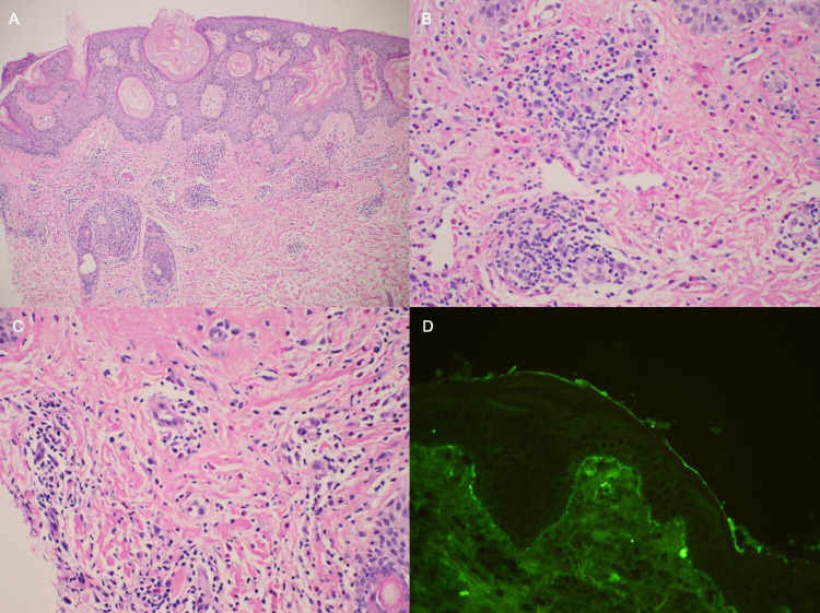
Methotrexate (MTX) is widely utilized for the management of autoimmune diseases and neoplasms. It may cause several adverse effects, including myelosuppression, hepatitis, and mucositis, and in rare cases, can result in cutaneous vasculitis. We present a case involving a 60-year-old female patient receiving 5 milligrams (mg) of MTX weekly for the treatment of systemic lupus erythematosus (SLE). Her underlying condition was end-stage renal disease (ESRD), requiring hemodialysis (HD). Ten weeks after MTX treatment, she developed oral ulcers, pancytopenia, and hepatitis, followed by multiple non-blanchable erythematous papules, along with a few vesicles and pustules on the neck, trunk and arms. Laboratory results indicated elevated serum MTX levels, and skin biopsy demonstrated dense superficial perivascular and interstitial lymphocytic, eosinophilic, and neutrophilic infiltration, along with nuclear debris and extravasated erythrocytes, indicative of early leukocytoclastic vasculitis (LCV). Direct immunofluorescence (DIF) identified C3 deposits at the dermo-epidermal junction and superficial blood vessels, indicating possible immune complex-mediated vascular disease. The patient was diagnosed with MTX toxicity and histologically confirmed LCV secondary to MTX. MTX toxicity was effectively treated with intravenous folinic acid and cessation of MTX, alongside prescriptions of oral prednisolone and emollients for LCV management. Serum MTX levels became undetectable after a five-day treatment regimen. Skin lesion resolution occurred within one week. Additionally, a review of existing literatures on MTX-induced LCV was conducted.

Abstract Image

Abstract Image

Abstract Image

甲氨蝶呤诱发白细胞破裂性血管炎1例并文献复习。
甲氨蝶呤(MTX)广泛用于自身免疫性疾病和肿瘤的治疗。它可能引起一些不良反应,包括骨髓抑制、肝炎和粘膜炎,在极少数情况下,可导致皮肤血管炎。我们提出一个病例涉及60岁的女性患者接受5毫克(mg)每周MTX治疗系统性红斑狼疮(SLE)。她的基础疾病是终末期肾病(ESRD),需要血液透析(HD)。甲氨喋呤治疗10周后,患者出现口腔溃疡、全细胞减少症和肝炎,随后出现多个不可漂白的红斑丘疹,颈部、躯干和手臂出现少量囊泡和脓疱。实验室结果显示血清MTX水平升高,皮肤活检显示致密的浅表血管周围和间质淋巴细胞、嗜酸性粒细胞和中性粒细胞浸润,以及核碎片和外渗的红细胞,表明早期白细胞破壁性血管炎(LCV)。直接免疫荧光(DIF)在真皮-表皮交界处和浅表血管中发现C3沉积物,表明可能存在免疫复合物介导的血管疾病。患者被诊断为MTX毒性,组织学证实MTX继发LCV。通过静脉注射亚叶酸和停止MTX,以及口服强的松龙和LCV管理润湿剂的处方,MTX毒性得到有效治疗。5天的治疗方案后,血清MTX水平无法检测到。皮肤病变在一周内消退。此外,对mtx诱导LCV的文献进行了综述。
本文章由计算机程序翻译,如有差异,请以英文原文为准。
求助全文
约1分钟内获得全文 求助全文
来源期刊
CiteScore
2.80
自引率
4.30%
发文量
353
审稿时长
16 weeks
期刊介绍: Clinical, Cosmetic and Investigational Dermatology is an international, peer-reviewed, open access journal that focuses on the latest clinical and experimental research in all aspects of skin disease and cosmetic interventions. Normal and pathological processes in skin development and aging, their modification and treatment, as well as basic research into histology of dermal and dermal structures that provide clinical insights and potential treatment options are key topics for the journal. Patient satisfaction, preference, quality of life, compliance, persistence and their role in developing new management options to optimize outcomes for target conditions constitute major areas of interest. The journal is characterized by the rapid reporting of clinical studies, reviews and original research in skin research and skin care. All areas of dermatology will be covered; contributions will be welcomed from all clinicians and basic science researchers globally.
×
引用
GB/T 7714-2015
复制
MLA
复制
APA
复制
导出至
BibTeX EndNote RefMan NoteFirst NoteExpress
×
提示
您的信息不完整,为了账户安全,请先补充。
现在去补充
×
提示
您因"违规操作"
具体请查看互助需知
我知道了
×
提示
确定
请完成安全验证×
copy
已复制链接
快去分享给好友吧!
我知道了
右上角分享
点击右上角分享
0
联系我们:info@booksci.cn Book学术提供免费学术资源搜索服务,方便国内外学者检索中英文文献。致力于提供最便捷和优质的服务体验。 Copyright © 2023 布克学术 All rights reserved.
京ICP备2023020795号-1
ghs 京公网安备 11010802042870号
Book学术文献互助
Book学术文献互助群
群 号:604180095
Book学术官方微信