Development and validation of a nomogram for diabetic tibial neuropathy based on ultrasound radiomics: a multicenter study.

IF 3.2 3区 医学 Q2 RADIOLOGY, NUCLEAR MEDICINE & MEDICAL IMAGING
Yanqiu Chen, Zhen Sun, Yuwei Chen, Huohu Zhong, Xiuming Wu, Liyang Su, Tao Zheng, Guorong Lyu, Qichen Su
{"title":"Development and validation of a nomogram for diabetic tibial neuropathy based on ultrasound radiomics: a multicenter study.","authors":"Yanqiu Chen, Zhen Sun, Yuwei Chen, Huohu Zhong, Xiuming Wu, Liyang Su, Tao Zheng, Guorong Lyu, Qichen Su","doi":"10.1186/s12880-025-01896-7","DOIUrl":null,"url":null,"abstract":"","PeriodicalId":9020,"journal":{"name":"BMC Medical Imaging","volume":"25 1","pages":"355"},"PeriodicalIF":3.2000,"publicationDate":"2025-08-27","publicationTypes":"Journal Article","fieldsOfStudy":null,"isOpenAccess":false,"openAccessPdf":"https://www.ncbi.nlm.nih.gov/pmc/articles/PMC12382110/pdf/","citationCount":"0","resultStr":null,"platform":"Semanticscholar","paperid":null,"PeriodicalName":"BMC Medical Imaging","FirstCategoryId":"3","ListUrlMain":"https://doi.org/10.1186/s12880-025-01896-7","RegionNum":3,"RegionCategory":"医学","ArticlePicture":[],"TitleCN":null,"AbstractTextCN":null,"PMCID":null,"EPubDate":"","PubModel":"","JCR":"Q2","JCRName":"RADIOLOGY, NUCLEAR MEDICINE & MEDICAL IMAGING","Score":null,"Total":0}
引用次数: 0

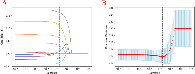
Abstract Image

Abstract Image

Abstract Image

基于超声放射组学的糖尿病胫骨神经病变nomographic的发展和验证:一项多中心研究。
本文章由计算机程序翻译,如有差异,请以英文原文为准。
求助全文
约1分钟内获得全文 求助全文
来源期刊
BMC Medical Imaging
BMC Medical Imaging RADIOLOGY, NUCLEAR MEDICINE & MEDICAL IMAGING-
CiteScore
4.60
自引率
3.70%
发文量
198
审稿时长
27 weeks
期刊介绍: BMC Medical Imaging is an open access journal publishing original peer-reviewed research articles in the development, evaluation, and use of imaging techniques and image processing tools to diagnose and manage disease.
×
引用
GB/T 7714-2015
复制
MLA
复制
APA
复制
导出至
BibTeX EndNote RefMan NoteFirst NoteExpress
×
提示
您的信息不完整,为了账户安全,请先补充。
现在去补充
×
提示
您因"违规操作"
具体请查看互助需知
我知道了
×
提示
确定
请完成安全验证×
copy
已复制链接
快去分享给好友吧!
我知道了
右上角分享
点击右上角分享
0
联系我们:info@booksci.cn Book学术提供免费学术资源搜索服务,方便国内外学者检索中英文文献。致力于提供最便捷和优质的服务体验。 Copyright © 2023 布克学术 All rights reserved.
京ICP备2023020795号-1
ghs 京公网安备 11010802042870号
Book学术文献互助
Book学术文献互助群
群 号:604180095
Book学术官方微信