Complicated Pediatric Pneumonia With Eikenella Caused by Foreign Body Aspiration: Institutional and Literature Review.

IF 0.8 Q4 INFECTIOUS DISEASES
Case Reports in Infectious Diseases Pub Date : 2025-08-11 eCollection Date: 2025-01-01 DOI:10.1155/crdi/2857930
Leon Joseph, Marc Assous, Karin Dreifuss, Shmuel Goldberg, Elie Picard
{"title":"Complicated Pediatric Pneumonia With <i>Eikenella</i> Caused by Foreign Body Aspiration: Institutional and Literature Review.","authors":"Leon Joseph, Marc Assous, Karin Dreifuss, Shmuel Goldberg, Elie Picard","doi":"10.1155/crdi/2857930","DOIUrl":null,"url":null,"abstract":"<p><p><i>Eikenella corrodens</i> is a commensal bacterium of the buccal cavity and rarely causes lower respiratory infections in healthy children. Two young patients with persistent pleuropneumonia caused by <i>E. corrodens</i> are presented. In both cases, an obstructing endobronchial foreign body was found. Removal of the foreign bodies allowed complete recovery. A local and literature review demonstrated <i>E. corrodens</i> causing empyema in only four other cases, all with comorbidities. We conclude that in cases of persistent pneumonia in healthy children due to <i>Eikenella corrodens</i>, an aspirated foreign body should be suspected.</p>","PeriodicalId":9608,"journal":{"name":"Case Reports in Infectious Diseases","volume":"2025 ","pages":"2857930"},"PeriodicalIF":0.8000,"publicationDate":"2025-08-11","publicationTypes":"Journal Article","fieldsOfStudy":null,"isOpenAccess":false,"openAccessPdf":"https://www.ncbi.nlm.nih.gov/pmc/articles/PMC12360878/pdf/","citationCount":"0","resultStr":null,"platform":"Semanticscholar","paperid":null,"PeriodicalName":"Case Reports in Infectious Diseases","FirstCategoryId":"1085","ListUrlMain":"https://doi.org/10.1155/crdi/2857930","RegionNum":0,"RegionCategory":null,"ArticlePicture":[],"TitleCN":null,"AbstractTextCN":null,"PMCID":null,"EPubDate":"2025/1/1 0:00:00","PubModel":"eCollection","JCR":"Q4","JCRName":"INFECTIOUS DISEASES","Score":null,"Total":0}
引用次数: 0

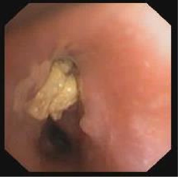
Abstract

Eikenella corrodens is a commensal bacterium of the buccal cavity and rarely causes lower respiratory infections in healthy children. Two young patients with persistent pleuropneumonia caused by E. corrodens are presented. In both cases, an obstructing endobronchial foreign body was found. Removal of the foreign bodies allowed complete recovery. A local and literature review demonstrated E. corrodens causing empyema in only four other cases, all with comorbidities. We conclude that in cases of persistent pneumonia in healthy children due to Eikenella corrodens, an aspirated foreign body should be suspected.

Abstract Image

Abstract Image

异物吸入引起的复杂儿童肺炎并艾肯菌:机构和文献综述。
艾肯氏菌是口腔的一种共生细菌,在健康儿童中很少引起下呼吸道感染。本文报告两例由腐蚀杆菌引起的持续性胸膜肺炎的年轻患者。两例均发现支气管内异物阻塞。异物的移除使其完全恢复。一项当地文献综述表明,腐蚀E.引起脓胸只有四个其他病例,所有的合并症。我们的结论是,在健康儿童持续肺炎的情况下,由于艾肯氏菌腐蚀,应怀疑吸入异物。
本文章由计算机程序翻译,如有差异,请以英文原文为准。
求助全文
约1分钟内获得全文 求助全文
来源期刊
自引率
0.00%
发文量
64
审稿时长
13 weeks
×
引用
GB/T 7714-2015
复制
MLA
复制
APA
复制
导出至
BibTeX EndNote RefMan NoteFirst NoteExpress
×
提示
您的信息不完整,为了账户安全,请先补充。
现在去补充
×
提示
您因"违规操作"
具体请查看互助需知
我知道了
×
提示
确定
请完成安全验证×
copy
已复制链接
快去分享给好友吧!
我知道了
右上角分享
点击右上角分享
0
联系我们:info@booksci.cn Book学术提供免费学术资源搜索服务,方便国内外学者检索中英文文献。致力于提供最便捷和优质的服务体验。 Copyright © 2023 布克学术 All rights reserved.
京ICP备2023020795号-1
ghs 京公网安备 11010802042870号
Book学术文献互助
Book学术文献互助群
群 号:604180095
Book学术官方微信