Clinical characteristics and outcomes of anti-MDA5 dermatomyositis: a retrospective study.

IF 2.5 Q3 RHEUMATOLOGY
Tulaton Sodsri, Tananchai Petnak, Thitiporn Suwatanapongched, Chayanin Nitiwarangkul, Nantakarn Pongtarakulpanit, Pintip Ngamjanyaporn
{"title":"Clinical characteristics and outcomes of anti-MDA5 dermatomyositis: a retrospective study.","authors":"Tulaton Sodsri, Tananchai Petnak, Thitiporn Suwatanapongched, Chayanin Nitiwarangkul, Nantakarn Pongtarakulpanit, Pintip Ngamjanyaporn","doi":"10.1186/s41927-025-00556-1","DOIUrl":null,"url":null,"abstract":"","PeriodicalId":9150,"journal":{"name":"BMC Rheumatology","volume":"9 1","pages":"102"},"PeriodicalIF":2.5000,"publicationDate":"2025-08-18","publicationTypes":"Journal Article","fieldsOfStudy":null,"isOpenAccess":false,"openAccessPdf":"https://www.ncbi.nlm.nih.gov/pmc/articles/PMC12359913/pdf/","citationCount":"0","resultStr":null,"platform":"Semanticscholar","paperid":null,"PeriodicalName":"BMC Rheumatology","FirstCategoryId":"1085","ListUrlMain":"https://doi.org/10.1186/s41927-025-00556-1","RegionNum":0,"RegionCategory":null,"ArticlePicture":[],"TitleCN":null,"AbstractTextCN":null,"PMCID":null,"EPubDate":"","PubModel":"","JCR":"Q3","JCRName":"RHEUMATOLOGY","Score":null,"Total":0}
引用次数: 0

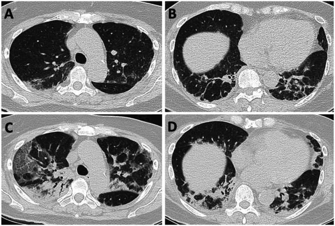
Abstract Image

Abstract Image

抗mda5皮肌炎的临床特点及预后回顾性研究。
本文章由计算机程序翻译,如有差异,请以英文原文为准。
求助全文
约1分钟内获得全文 求助全文
来源期刊
BMC Rheumatology
BMC Rheumatology Medicine-Rheumatology
CiteScore
3.80
自引率
0.00%
发文量
73
审稿时长
15 weeks
×
引用
GB/T 7714-2015
复制
MLA
复制
APA
复制
导出至
BibTeX EndNote RefMan NoteFirst NoteExpress
×
提示
您的信息不完整,为了账户安全,请先补充。
现在去补充
×
提示
您因"违规操作"
具体请查看互助需知
我知道了
×
提示
确定
请完成安全验证×
copy
已复制链接
快去分享给好友吧!
我知道了
右上角分享
点击右上角分享
0
联系我们:info@booksci.cn Book学术提供免费学术资源搜索服务,方便国内外学者检索中英文文献。致力于提供最便捷和优质的服务体验。 Copyright © 2023 布克学术 All rights reserved.
京ICP备2023020795号-1
ghs 京公网安备 11010802042870号
Book学术文献互助
Book学术文献互助群
群 号:604180095
Book学术官方微信