Suppurative Stomatitis [Cheilitis Glandularis]: an underreported entity.

IF 2.1 3区 医学 Q2 DENTISTRY, ORAL SURGERY & MEDICINE
J-C Panico, B-A Andrade, J Lazos, R Martin, E Piemonte, C-A Lopes, C-H Freire, R-L Panico, G Gilligan
{"title":"Suppurative Stomatitis [Cheilitis Glandularis]: an underreported entity.","authors":"J-C Panico, B-A Andrade, J Lazos, R Martin, E Piemonte, C-A Lopes, C-H Freire, R-L Panico, G Gilligan","doi":"10.4317/medoral.27138","DOIUrl":null,"url":null,"abstract":"<p><strong>Background: </strong>Stomatitis and Cheilitis Glandularis are inflammatory conditions of the minor salivary glands with uncertain aetiology, uncommon in clinical practice. Local factors and systemic comorbidities associated with hyposalivation could contribute to the onset of the disease. The aim of this study is to describe retrospectively a case series of Stomatitis and Cheilitis Glandularis from two Oral Medicine and Pathology Departments. Also, a review of the clinical and epidemiological variables and a discussion of the diagnostic criteria is presented.</p><p><strong>Material and methods: </strong>There were included cases of Stomatitis and Cheilitis Glandularis from two Oral Diagnosis Centres from Argentina and Brazil, according to Reiter et al criteria. Demographic and clinicopathological features were described. A concise review of current literature was performed discussing diagnostic criteria and possible etiological factors.</p><p><strong>Results: </strong>There were included six cases sequentially retrieved from the last ten years. The patients included were 4 men and 2 women with an average age of 65.33 years old. The majority of the included cases showed comorbidities or were treated with drugs associated with hyposalivation or a decrease in salivary flow. Clinically, firm nodules and pus discharge was observed in minor salivary glands. Actinic damage was a poorly associated factor in this series. Histopathology revealed sialoadenitis, oncocytic metaplasia with different degrees of periductal inflammation in all cases.</p><p><strong>Conclusions: </strong>Stomatitis and Cheilitis Glandularis are challenging disorders of the oral cavity. Hyposalivation could be an early phenomenon in a multifactorial context. More studies are needed for a better understanding of these conditions.</p>","PeriodicalId":49016,"journal":{"name":"Medicina Oral Patologia Oral Y Cirugia Bucal","volume":" ","pages":"e664-e672"},"PeriodicalIF":2.1000,"publicationDate":"2025-09-01","publicationTypes":"Journal Article","fieldsOfStudy":null,"isOpenAccess":false,"openAccessPdf":"https://www.ncbi.nlm.nih.gov/pmc/articles/PMC12395591/pdf/","citationCount":"0","resultStr":null,"platform":"Semanticscholar","paperid":null,"PeriodicalName":"Medicina Oral Patologia Oral Y Cirugia Bucal","FirstCategoryId":"3","ListUrlMain":"https://doi.org/10.4317/medoral.27138","RegionNum":3,"RegionCategory":"医学","ArticlePicture":[],"TitleCN":null,"AbstractTextCN":null,"PMCID":null,"EPubDate":"","PubModel":"","JCR":"Q2","JCRName":"DENTISTRY, ORAL SURGERY & MEDICINE","Score":null,"Total":0}
引用次数: 0

Abstract

Background: Stomatitis and Cheilitis Glandularis are inflammatory conditions of the minor salivary glands with uncertain aetiology, uncommon in clinical practice. Local factors and systemic comorbidities associated with hyposalivation could contribute to the onset of the disease. The aim of this study is to describe retrospectively a case series of Stomatitis and Cheilitis Glandularis from two Oral Medicine and Pathology Departments. Also, a review of the clinical and epidemiological variables and a discussion of the diagnostic criteria is presented.

Material and methods: There were included cases of Stomatitis and Cheilitis Glandularis from two Oral Diagnosis Centres from Argentina and Brazil, according to Reiter et al criteria. Demographic and clinicopathological features were described. A concise review of current literature was performed discussing diagnostic criteria and possible etiological factors.

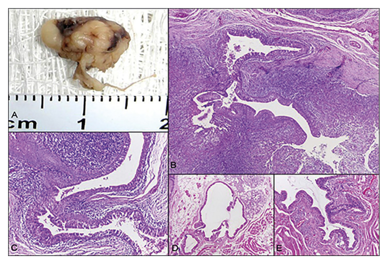
Results: There were included six cases sequentially retrieved from the last ten years. The patients included were 4 men and 2 women with an average age of 65.33 years old. The majority of the included cases showed comorbidities or were treated with drugs associated with hyposalivation or a decrease in salivary flow. Clinically, firm nodules and pus discharge was observed in minor salivary glands. Actinic damage was a poorly associated factor in this series. Histopathology revealed sialoadenitis, oncocytic metaplasia with different degrees of periductal inflammation in all cases.

Conclusions: Stomatitis and Cheilitis Glandularis are challenging disorders of the oral cavity. Hyposalivation could be an early phenomenon in a multifactorial context. More studies are needed for a better understanding of these conditions.

Abstract Image

Abstract Image

Abstract Image

化脓性口炎[腺口炎]:一个被低估的实体。
背景:口腔炎和腺口炎是一种小唾液腺的炎症性疾病,病因不明,临床上少见。局部因素和全身合并症与低唾液可能有助于疾病的发作。本研究的目的是回顾性描述两个口腔医学和病理学部门的口腔炎和腺口炎病例系列。此外,回顾了临床和流行病学变量和诊断标准的讨论。材料和方法:根据Reiter等人的标准,纳入了来自阿根廷和巴西两家口腔诊断中心的口腔炎和腺口炎病例。描述了人口统计学和临床病理特征。本文简要回顾了目前的文献,讨论了诊断标准和可能的病因。结果:纳入近十年来连续检索的6例病例。患者男4例,女2例,平均年龄65.33岁。大多数纳入的病例显示合并症或使用与唾液分泌减少或唾液流量减少相关的药物治疗。临床表现为小唾液腺硬结节及脓液排出。在这个系列中,光化损伤是一个相关性很差的因素。组织病理学检查均显示涎腺炎、嗜瘤细胞化生伴不同程度的管周炎症。结论:口腔炎和腺性舌炎是一种具有挑战性的口腔疾病。低睡眠可能是多因素背景下的早期现象。为了更好地了解这些情况,需要进行更多的研究。
本文章由计算机程序翻译,如有差异,请以英文原文为准。
求助全文
约1分钟内获得全文 求助全文
来源期刊
Medicina Oral Patologia Oral Y Cirugia Bucal
Medicina Oral Patologia Oral Y Cirugia Bucal DENTISTRY, ORAL SURGERY & MEDICINE-
CiteScore
4.60
自引率
0.00%
发文量
52
审稿时长
3-8 weeks
期刊介绍: 1. Oral Medicine and Pathology: Clinicopathological as well as medical or surgical management aspects of diseases affecting oral mucosa, salivary glands, maxillary bones, as well as orofacial neurological disorders, and systemic conditions with an impact on the oral cavity. 2. Oral Surgery: Surgical management aspects of diseases affecting oral mucosa, salivary glands, maxillary bones, teeth, implants, oral surgical procedures. Surgical management of diseases affecting head and neck areas. 3. Medically compromised patients in Dentistry: Articles discussing medical problems in Odontology will also be included, with a special focus on the clinico-odontological management of medically compromised patients, and considerations regarding high-risk or disabled patients. 4. Implantology 5. Periodontology
×
引用
GB/T 7714-2015
复制
MLA
复制
APA
复制
导出至
BibTeX EndNote RefMan NoteFirst NoteExpress
×
提示
您的信息不完整,为了账户安全,请先补充。
现在去补充
×
提示
您因"违规操作"
具体请查看互助需知
我知道了
×
提示
确定
请完成安全验证×
copy
已复制链接
快去分享给好友吧!
我知道了
右上角分享
点击右上角分享
0
联系我们:info@booksci.cn Book学术提供免费学术资源搜索服务,方便国内外学者检索中英文文献。致力于提供最便捷和优质的服务体验。 Copyright © 2023 布克学术 All rights reserved.
京ICP备2023020795号-1
ghs 京公网安备 11010802042870号
Book学术文献互助
Book学术文献互助群
群 号:604180095
Book学术官方微信