Correlation between computed tomography imaging features of mesenteric fat and inflammatory activity in Crohn's disease.

IF 2.3 2区 医学 Q2 RADIOLOGY, NUCLEAR MEDICINE & MEDICAL IMAGING
Xiao Hu, Jie-Jie Ding, Nian-Xia Qian, Xiao-Dong Liu
{"title":"Correlation between computed tomography imaging features of mesenteric fat and inflammatory activity in Crohn's disease.","authors":"Xiao Hu, Jie-Jie Ding, Nian-Xia Qian, Xiao-Dong Liu","doi":"10.21037/qims-2024-2606","DOIUrl":null,"url":null,"abstract":"<p><strong>Background: </strong>Creeping fat (CF), a characteristic structure of Crohn's disease (CD), is closely associated with surgery and prognosis but lacks a unified imaging assessment standard, and endoscopic and serological indicators have limitations in evaluating extra-intestinal lesions. The study aimed to explore the correlation between computed tomography (CT) value distribution changes of mesenteric-surrounding fat in CD and disease activity.</p><p><strong>Methods: </strong>In this study, we retrospectively analyzed CT enterography (CTE) images from 47 pathologically confirmed CD patients and 25 randomly selected controls with suspected inflammatory bowel disease (IBD). Quantitative measurements were obtained for mesenteric adipose tissue density (mean of CT values) along key anatomical landmarks including the mesenteric root, superior mesenteric artery, inferior mesenteric artery, perilesional regions, intestinal stricture, and adjacent branching vascular spaces. Other evaluated parameters included bowel wall thickness, CT attenuation, enhancement patterns, and CF grading. Qualitative evaluations were made by comparing with endoscopic, serological, and histopathological results and simplified CD activity index (CDAI) scores. A patient with concurrent anal fistula underwent magnetic resonance imaging (MRI) examination to compare its detection efficiency of fistula with that of CT examination.</p><p><strong>Results: </strong>Significant inter-group differences were found in non-contrast mesenteric fat attenuation, mean ΔCT (difference in Hounsfield units between contrast-enhanced CT and non-contrast CT scans) enhancement, bowel wall thickening, mucosal enhancement, CF grading, intestinal stricture, and serological parameters (P<0.05). The moderate-to-severe activity group had the highest mesenteric fat density in the venous phase [mean ΔCT >20 Hounsfield units (HU), P<0.05], especially around lesions. There was a positive correlation between mesenteric fat CT values and images of diseased bowel segments. The mean value of the venous phase ΔCT of the lesion and the mean of the intestinal wall venous phase ΔCT value and intestinal wall stratification were positively correlated (>0.6, P<0.05). ROC analysis showed that the venous-phase ΔCT of perilesional adipose tissue had excellent diagnostic performance [area under the curve (AUC) =0.964] for moderate-to-severe activity CD, with 95.8% sensitivity and 87.5% specificity. The diagnostic efficacy of the venous phase in the vascular space around the lesion ranked second (AUC =0.943). MRI showed superior detection of the anal fistula to that of CT in one patient. Multivariate analysis confirmed it as an independent predictor for moderate-to-severe active CD (P<0.05).</p><p><strong>Conclusions: </strong>Changes in mesenteric adipose tissue CT values and CF classification can distinguish CD from other IBD, suggesting their utility as another noninvasive diagnostic method for predicting the inflammatory activity of CD and evaluating the scope of surgery.</p>","PeriodicalId":54267,"journal":{"name":"Quantitative Imaging in Medicine and Surgery","volume":"15 8","pages":"6910-6922"},"PeriodicalIF":2.3000,"publicationDate":"2025-08-01","publicationTypes":"Journal Article","fieldsOfStudy":null,"isOpenAccess":false,"openAccessPdf":"https://www.ncbi.nlm.nih.gov/pmc/articles/PMC12332658/pdf/","citationCount":"0","resultStr":null,"platform":"Semanticscholar","paperid":null,"PeriodicalName":"Quantitative Imaging in Medicine and Surgery","FirstCategoryId":"3","ListUrlMain":"https://doi.org/10.21037/qims-2024-2606","RegionNum":2,"RegionCategory":"医学","ArticlePicture":[],"TitleCN":null,"AbstractTextCN":null,"PMCID":null,"EPubDate":"2025/7/29 0:00:00","PubModel":"Epub","JCR":"Q2","JCRName":"RADIOLOGY, NUCLEAR MEDICINE & MEDICAL IMAGING","Score":null,"Total":0}
引用次数: 0

Abstract

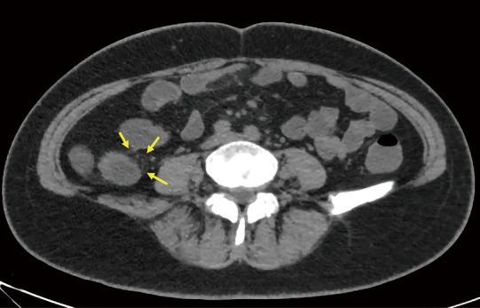
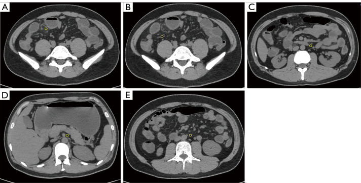
Background: Creeping fat (CF), a characteristic structure of Crohn's disease (CD), is closely associated with surgery and prognosis but lacks a unified imaging assessment standard, and endoscopic and serological indicators have limitations in evaluating extra-intestinal lesions. The study aimed to explore the correlation between computed tomography (CT) value distribution changes of mesenteric-surrounding fat in CD and disease activity.

Methods: In this study, we retrospectively analyzed CT enterography (CTE) images from 47 pathologically confirmed CD patients and 25 randomly selected controls with suspected inflammatory bowel disease (IBD). Quantitative measurements were obtained for mesenteric adipose tissue density (mean of CT values) along key anatomical landmarks including the mesenteric root, superior mesenteric artery, inferior mesenteric artery, perilesional regions, intestinal stricture, and adjacent branching vascular spaces. Other evaluated parameters included bowel wall thickness, CT attenuation, enhancement patterns, and CF grading. Qualitative evaluations were made by comparing with endoscopic, serological, and histopathological results and simplified CD activity index (CDAI) scores. A patient with concurrent anal fistula underwent magnetic resonance imaging (MRI) examination to compare its detection efficiency of fistula with that of CT examination.

Results: Significant inter-group differences were found in non-contrast mesenteric fat attenuation, mean ΔCT (difference in Hounsfield units between contrast-enhanced CT and non-contrast CT scans) enhancement, bowel wall thickening, mucosal enhancement, CF grading, intestinal stricture, and serological parameters (P<0.05). The moderate-to-severe activity group had the highest mesenteric fat density in the venous phase [mean ΔCT >20 Hounsfield units (HU), P<0.05], especially around lesions. There was a positive correlation between mesenteric fat CT values and images of diseased bowel segments. The mean value of the venous phase ΔCT of the lesion and the mean of the intestinal wall venous phase ΔCT value and intestinal wall stratification were positively correlated (>0.6, P<0.05). ROC analysis showed that the venous-phase ΔCT of perilesional adipose tissue had excellent diagnostic performance [area under the curve (AUC) =0.964] for moderate-to-severe activity CD, with 95.8% sensitivity and 87.5% specificity. The diagnostic efficacy of the venous phase in the vascular space around the lesion ranked second (AUC =0.943). MRI showed superior detection of the anal fistula to that of CT in one patient. Multivariate analysis confirmed it as an independent predictor for moderate-to-severe active CD (P<0.05).

Conclusions: Changes in mesenteric adipose tissue CT values and CF classification can distinguish CD from other IBD, suggesting their utility as another noninvasive diagnostic method for predicting the inflammatory activity of CD and evaluating the scope of surgery.

Abstract Image

Abstract Image

Abstract Image

克罗恩病肠系膜脂肪的计算机断层成像特征与炎症活动的相关性
背景:蠕变脂肪(CF)是克罗恩病(CD)的特征性结构,与手术及预后密切相关,但缺乏统一的影像学评价标准,内镜及血清学指标对肠外病变的评价存在局限性。本研究旨在探讨CD患者肠系膜周围脂肪CT值分布变化与疾病活动度的相关性。方法:在本研究中,我们回顾性分析了47例病理证实的CD患者和25例随机选择的疑似炎症性肠病(IBD)患者的CT肠造影(CTE)图像。通过肠系膜根、肠系膜上动脉、肠系膜下动脉、肠系膜周围区域、肠狭窄和邻近分支血管间隙等关键解剖标志,定量测量肠系膜脂肪组织密度(CT值平均值)。其他评估参数包括肠壁厚度、CT衰减、增强模式和CF分级。通过比较内镜、血清学、组织病理学结果和简化CD活性指数(CDAI)评分进行定性评价。1例并发肛瘘患者行磁共振成像(MRI)检查,比较MRI与CT检查对肛瘘的检出率。结果:组间无对比肠系膜脂肪衰减、平均ΔCT(对比增强CT与非对比CT扫描的Hounsfield单位差值)增强、肠壁增厚、粘膜增强、CF分级、肠道狭窄、血清学参数(Hounsfield单位(HU) P20、P0.6、p6)均有显著差异。肠系膜脂肪组织CT值的变化和CF分类可以将CD与其他IBD区分开来,提示它们作为预测CD炎症活动和评估手术范围的另一种非侵入性诊断方法的应用。
本文章由计算机程序翻译,如有差异,请以英文原文为准。
求助全文
约1分钟内获得全文 求助全文
来源期刊
Quantitative Imaging in Medicine and Surgery
Quantitative Imaging in Medicine and Surgery Medicine-Radiology, Nuclear Medicine and Imaging
CiteScore
4.20
自引率
17.90%
发文量
252
期刊介绍: Information not localized
×
引用
GB/T 7714-2015
复制
MLA
复制
APA
复制
导出至
BibTeX EndNote RefMan NoteFirst NoteExpress
×
提示
您的信息不完整,为了账户安全,请先补充。
现在去补充
×
提示
您因"违规操作"
具体请查看互助需知
我知道了
×
提示
确定
请完成安全验证×
copy
已复制链接
快去分享给好友吧!
我知道了
右上角分享
点击右上角分享
0
联系我们:info@booksci.cn Book学术提供免费学术资源搜索服务,方便国内外学者检索中英文文献。致力于提供最便捷和优质的服务体验。 Copyright © 2023 布克学术 All rights reserved.
京ICP备2023020795号-1
ghs 京公网安备 11010802042870号
Book学术文献互助
Book学术文献互助群
群 号:604180095
Book学术官方微信