Meningoencephalitis of unknown origin with predominant cerebellar involvement in a cat: clinical, MRI and pathological findings.

IF 0.7 Q3 VETERINARY SCIENCES
Journal of Feline Medicine and Surgery Open Reports Pub Date : 2025-08-09 eCollection Date: 2025-07-01 DOI:10.1177/20551169251346436
Stephanie Lau, Simon Platt, Anna Tauro, Emanuele Ricci, Emili Alcoverro
{"title":"Meningoencephalitis of unknown origin with predominant cerebellar involvement in a cat: clinical, MRI and pathological findings.","authors":"Stephanie Lau, Simon Platt, Anna Tauro, Emanuele Ricci, Emili Alcoverro","doi":"10.1177/20551169251346436","DOIUrl":null,"url":null,"abstract":"<p><strong>Case summary: </strong>Meningoencephalitis of unknown origin (MUO) is a term encompassing non-infectious inflammatory brain diseases with no identifiable underlying cause, widely studied in dogs but rarely in cats. This case describes a 9-year-old male castrated domestic shorthair cat diagnosed with feline MUO (FMUO). The cat presented with progressive vestibulocerebellar signs refractory to immunosuppressive treatment. MRI revealed multifocal, symmetrical intra-axial cerebellar lesions that were isointense to mildly hyperintense on T2-weighted and fluid-attenuated inversion recovery images, mildly hyperintense on T1-weighted images and enhanced with contrast. Cerebrospinal fluid analysis showed elevated protein concentration and lymphocytic pleocytosis. A post-mortem examination revealed widespread inflammatory infiltration affecting the frontal cortex, thalamus, parietal cortex and cerebellum in a bilateral and random distribution. Immunohistochemistry for common viral and protozoal pathogens was negative.</p><p><strong>Relevance and novel information: </strong>This case illustrates the heterogeneity of FMUO, highlighting MRI and histo-pathological features that deviate from previously reported patterns. The findings highlight the need to include FMUO in the differential diagnosis for progressive vestibulocerebellar signs in cats, despite its rarity. Further research is necessary to better characterise FMUO and refine diagnostic and therapeutic approaches.</p>","PeriodicalId":36588,"journal":{"name":"Journal of Feline Medicine and Surgery Open Reports","volume":"11 2","pages":"20551169251346436"},"PeriodicalIF":0.7000,"publicationDate":"2025-08-09","publicationTypes":"Journal Article","fieldsOfStudy":null,"isOpenAccess":false,"openAccessPdf":"https://www.ncbi.nlm.nih.gov/pmc/articles/PMC12335653/pdf/","citationCount":"0","resultStr":null,"platform":"Semanticscholar","paperid":null,"PeriodicalName":"Journal of Feline Medicine and Surgery Open Reports","FirstCategoryId":"1085","ListUrlMain":"https://doi.org/10.1177/20551169251346436","RegionNum":0,"RegionCategory":null,"ArticlePicture":[],"TitleCN":null,"AbstractTextCN":null,"PMCID":null,"EPubDate":"2025/7/1 0:00:00","PubModel":"eCollection","JCR":"Q3","JCRName":"VETERINARY SCIENCES","Score":null,"Total":0}
引用次数: 0

Abstract

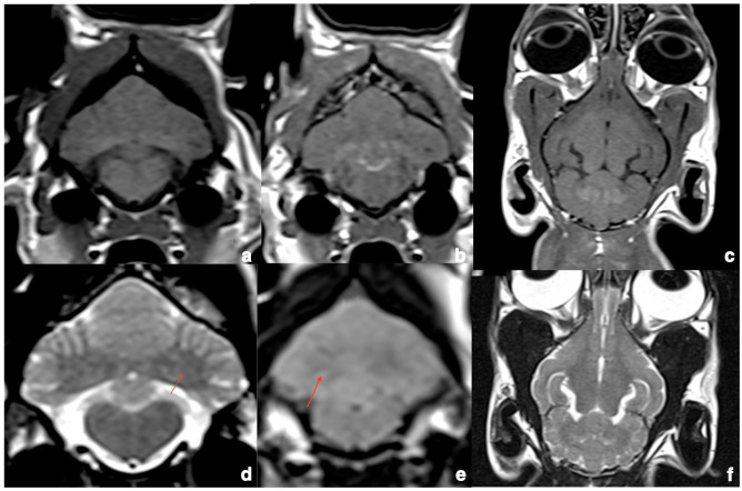
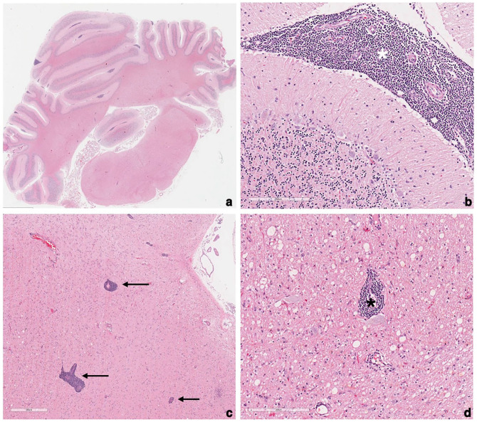
Case summary: Meningoencephalitis of unknown origin (MUO) is a term encompassing non-infectious inflammatory brain diseases with no identifiable underlying cause, widely studied in dogs but rarely in cats. This case describes a 9-year-old male castrated domestic shorthair cat diagnosed with feline MUO (FMUO). The cat presented with progressive vestibulocerebellar signs refractory to immunosuppressive treatment. MRI revealed multifocal, symmetrical intra-axial cerebellar lesions that were isointense to mildly hyperintense on T2-weighted and fluid-attenuated inversion recovery images, mildly hyperintense on T1-weighted images and enhanced with contrast. Cerebrospinal fluid analysis showed elevated protein concentration and lymphocytic pleocytosis. A post-mortem examination revealed widespread inflammatory infiltration affecting the frontal cortex, thalamus, parietal cortex and cerebellum in a bilateral and random distribution. Immunohistochemistry for common viral and protozoal pathogens was negative.

Relevance and novel information: This case illustrates the heterogeneity of FMUO, highlighting MRI and histo-pathological features that deviate from previously reported patterns. The findings highlight the need to include FMUO in the differential diagnosis for progressive vestibulocerebellar signs in cats, despite its rarity. Further research is necessary to better characterise FMUO and refine diagnostic and therapeutic approaches.

Abstract Image

Abstract Image

Abstract Image

不明原因的脑膜脑炎与主要小脑受累猫:临床,MRI和病理结果。
病例总结:不明原因脑膜脑炎(MUO)是一个术语,包括没有明确病因的非传染性炎症性脑疾病,在狗中广泛研究,但很少在猫中研究。本病例描述了一只被阉割的9岁雄性家养短毛猫,诊断为猫科动物MUO (FMUO)。猫表现出进行性前庭小脑征象,免疫抑制治疗无效。MRI显示多灶,对称的小脑轴内病变,在t2加权和液体衰减反转恢复图像上呈等强度至轻度高强度,在t1加权图像上呈轻度高强度,并随着对比增强。脑脊液分析显示蛋白浓度升高,淋巴细胞增多。死后检查显示广泛的炎症浸润影响额叶皮质,丘脑,顶叶皮质和小脑在双侧和随机分布。常见病毒和原虫病原体免疫组化阴性。相关性和新信息:该病例说明了FMUO的异质性,突出了与先前报道的模式不同的MRI和组织病理特征。研究结果强调了将FMUO纳入猫进行性前庭小脑体征的鉴别诊断的必要性,尽管它很罕见。需要进一步的研究来更好地表征FMUO并改进诊断和治疗方法。
本文章由计算机程序翻译,如有差异,请以英文原文为准。
求助全文
约1分钟内获得全文 求助全文
来源期刊
CiteScore
1.30
自引率
14.30%
发文量
57
审稿时长
15 weeks
×
引用
GB/T 7714-2015
复制
MLA
复制
APA
复制
导出至
BibTeX EndNote RefMan NoteFirst NoteExpress
×
提示
您的信息不完整,为了账户安全,请先补充。
现在去补充
×
提示
您因"违规操作"
具体请查看互助需知
我知道了
×
提示
确定
请完成安全验证×
copy
已复制链接
快去分享给好友吧!
我知道了
右上角分享
点击右上角分享
0
联系我们:info@booksci.cn Book学术提供免费学术资源搜索服务,方便国内外学者检索中英文文献。致力于提供最便捷和优质的服务体验。 Copyright © 2023 布克学术 All rights reserved.
京ICP备2023020795号-1
ghs 京公网安备 11010802042870号
Book学术文献互助
Book学术文献互助群
群 号:604180095
Book学术官方微信