Comparative Analysis of Dorsal Distraction Plating Versus External Fixation in the Management of Intra-Articular Distal Radius Fractures.

Ismail Pandor, Abhishek Sharma, Paresh Patil, Sushant Pandit, Prathamesh Karad, Alim Shaikh
{"title":"Comparative Analysis of Dorsal Distraction Plating Versus External Fixation in the Management of Intra-Articular Distal Radius Fractures.","authors":"Ismail Pandor, Abhishek Sharma, Paresh Patil, Sushant Pandit, Prathamesh Karad, Alim Shaikh","doi":"10.13107/jocr.2025.v15.i08.5976","DOIUrl":null,"url":null,"abstract":"<p><strong>Introduction: </strong>Fractures located in close proximity to the lower end of the radius bone, which make up around 16% of fractures requiring emergency treatment require careful treatment to regain mobility in the wrist joint and the fingers. Although classic external fixation (ExFix) methods are widely used, newer procedures such as dorsal distraction plating are showing potential . This study investigates the concepts, debates, and results of several methods so that to determine the most effective fracture treatment.</p><p><strong>Materials and methods: </strong>The experiment will recruit individuals with intricate fractures affecting the joint across the distal region of the radius. The patients will be randomly randomized to receive either dorsal distraction plating or ExFix. Pre-operative, post-operative, and follow-up assessments will involve clinical and radiographic examinations. Functional outcomes will be evaluated using standardized scoring systems . A comparative statistical analysis will be performed to assess the outcomes obtained from both groups.</p><p><strong>Results: </strong>The average ages across the bridge plate and ExFix sections were 40 and 43 years, respectively. The cohort of patients who had bridge plating exhibited a greater prevalence of male individuals (P = 0.011). The ExFix group had elevated infection rates, which can be ascribed to the occurrence of pin tract infections. Both the groups did not show any instances of nerve palsy. Patients who received dorsal distraction plating expressed higher levels of satisfaction with their post-operative results, both in terms of functionality and appearance .</p><p><strong>Discussion: </strong>Patients treated with dorsal distraction reported fewer issues. Although a few difficulties were observed, the most of these patients expressed high levels of satisfaction with the results of their surgical procedures . The findings suggest that dorsal distraction may offer a more favorable balance between functional recovery and patient satisfaction, highlighting a potential advantage over ExFix. In the long run, however, the functional outcomes of both the techniques were found to be similar.</p><p><strong>Conclusion: </strong>Dorsal bridge plating is a viable substitute for ExFix in treating distal radius fractures. The use of dorsal bridge plating demonstrated greater performance in daily activities, despite the fact that the functional and radiological findings at 6 months were found to be almost indistinguishable in both groups .</p>","PeriodicalId":16647,"journal":{"name":"Journal of Orthopaedic Case Reports","volume":"15 8","pages":"300-305"},"PeriodicalIF":0.0000,"publicationDate":"2025-08-01","publicationTypes":"Journal Article","fieldsOfStudy":null,"isOpenAccess":false,"openAccessPdf":"https://www.ncbi.nlm.nih.gov/pmc/articles/PMC12328975/pdf/","citationCount":"0","resultStr":null,"platform":"Semanticscholar","paperid":null,"PeriodicalName":"Journal of Orthopaedic Case Reports","FirstCategoryId":"1085","ListUrlMain":"https://doi.org/10.13107/jocr.2025.v15.i08.5976","RegionNum":0,"RegionCategory":null,"ArticlePicture":[],"TitleCN":null,"AbstractTextCN":null,"PMCID":null,"EPubDate":"","PubModel":"","JCR":"","JCRName":"","Score":null,"Total":0}
引用次数: 0

Abstract

Introduction: Fractures located in close proximity to the lower end of the radius bone, which make up around 16% of fractures requiring emergency treatment require careful treatment to regain mobility in the wrist joint and the fingers. Although classic external fixation (ExFix) methods are widely used, newer procedures such as dorsal distraction plating are showing potential . This study investigates the concepts, debates, and results of several methods so that to determine the most effective fracture treatment.

Materials and methods: The experiment will recruit individuals with intricate fractures affecting the joint across the distal region of the radius. The patients will be randomly randomized to receive either dorsal distraction plating or ExFix. Pre-operative, post-operative, and follow-up assessments will involve clinical and radiographic examinations. Functional outcomes will be evaluated using standardized scoring systems . A comparative statistical analysis will be performed to assess the outcomes obtained from both groups.

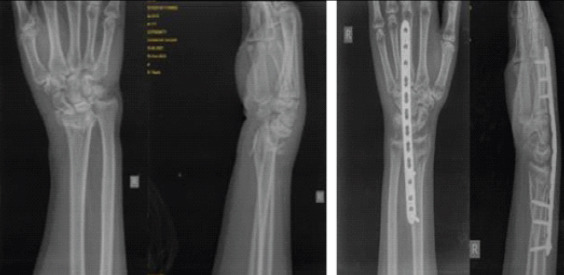
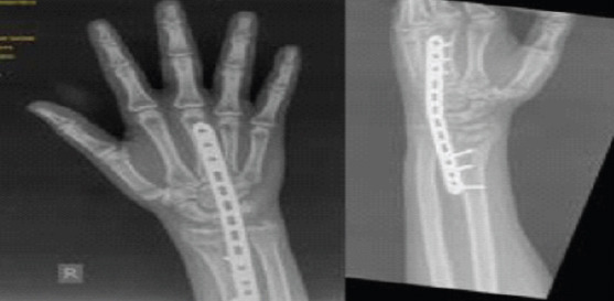
Results: The average ages across the bridge plate and ExFix sections were 40 and 43 years, respectively. The cohort of patients who had bridge plating exhibited a greater prevalence of male individuals (P = 0.011). The ExFix group had elevated infection rates, which can be ascribed to the occurrence of pin tract infections. Both the groups did not show any instances of nerve palsy. Patients who received dorsal distraction plating expressed higher levels of satisfaction with their post-operative results, both in terms of functionality and appearance .

Discussion: Patients treated with dorsal distraction reported fewer issues. Although a few difficulties were observed, the most of these patients expressed high levels of satisfaction with the results of their surgical procedures . The findings suggest that dorsal distraction may offer a more favorable balance between functional recovery and patient satisfaction, highlighting a potential advantage over ExFix. In the long run, however, the functional outcomes of both the techniques were found to be similar.

Conclusion: Dorsal bridge plating is a viable substitute for ExFix in treating distal radius fractures. The use of dorsal bridge plating demonstrated greater performance in daily activities, despite the fact that the functional and radiological findings at 6 months were found to be almost indistinguishable in both groups .

Abstract Image

Abstract Image

Abstract Image

背侧撑开钢板与外固定治疗桡骨远端关节内骨折的比较分析。
引言:位于桡骨下端附近的骨折约占需要急诊治疗的骨折的16%,需要仔细治疗以恢复手腕关节和手指的活动能力。虽然经典的外固定(ExFix)方法被广泛使用,但较新的手术如背侧撑开钢板也显示出潜力。本研究调查了几种方法的概念、争论和结果,以确定最有效的骨折治疗方法。材料和方法:该实验将招募影响桡骨远端关节的复杂骨折患者。患者将随机接受背侧撑开电镀或ExFix。术前、术后和随访评估将包括临床和放射检查。功能结果将使用标准化评分系统进行评估。将进行比较统计分析以评估两组的结果。结果:桥板和ExFix节段的平均年龄分别为40岁和43岁。在接受桥式电镀的患者队列中,男性患者的患病率更高(P = 0.011)。ExFix组感染率升高,这可能是由于针道感染的发生。两组患者均未出现任何神经麻痹症状。接受背侧牵引电镀的患者对其术后结果,无论是功能还是外观都表现出较高的满意度。讨论:接受背侧牵引治疗的患者报告的问题较少。虽然观察到一些困难,但大多数患者对手术结果表示高度满意。研究结果表明,背侧牵引可能在功能恢复和患者满意度之间提供更有利的平衡,突出了其比ExFix的潜在优势。然而,从长远来看,这两种技术的功能结果是相似的。结论:背桥钢板是ExFix治疗桡骨远端骨折的可行替代品。尽管两组患者在6个月时的功能和放射学表现几乎没有区别,但背桥镀的使用在日常活动中表现出更大的性能。
本文章由计算机程序翻译,如有差异,请以英文原文为准。
求助全文
约1分钟内获得全文 求助全文
来源期刊
自引率
0.00%
发文量
128
审稿时长
30 weeks
×
引用
GB/T 7714-2015
复制
MLA
复制
APA
复制
导出至
BibTeX EndNote RefMan NoteFirst NoteExpress
×
提示
您的信息不完整,为了账户安全,请先补充。
现在去补充
×
提示
您因"违规操作"
具体请查看互助需知
我知道了
×
提示
确定
请完成安全验证×
copy
已复制链接
快去分享给好友吧!
我知道了
右上角分享
点击右上角分享
0
联系我们:info@booksci.cn Book学术提供免费学术资源搜索服务,方便国内外学者检索中英文文献。致力于提供最便捷和优质的服务体验。 Copyright © 2023 布克学术 All rights reserved.
京ICP备2023020795号-1
ghs 京公网安备 11010802042870号
Book学术文献互助
Book学术文献互助群
群 号:604180095
Book学术官方微信