Anti-N-Methyl-D-Aspartate Receptor Encephalitis Presenting as Isolated First-Episode Psychosis in A 16-Year-Old Girl, Complicated by Neuroleptic Malignant Syndrome.

Q3 Medicine
European journal of case reports in internal medicine Pub Date : 2025-07-16 eCollection Date: 2025-01-01 DOI:10.12890/2025_005679
Ghizlane Khaloui, Amal Mabkhout, Linda Rachidi, Ghizlane Benjelloun
{"title":"Anti-N-Methyl-D-Aspartate Receptor Encephalitis Presenting as Isolated First-Episode Psychosis in A 16-Year-Old Girl, Complicated by Neuroleptic Malignant Syndrome.","authors":"Ghizlane Khaloui, Amal Mabkhout, Linda Rachidi, Ghizlane Benjelloun","doi":"10.12890/2025_005679","DOIUrl":null,"url":null,"abstract":"<p><p>Anti-N-methyl-D-aspartate receptor (anti-NMDAR) encephalitis is a rare but increasingly recognized autoimmune disorder that predominantly affects adolescents and young adults. It often presents with prominent psychiatric symptoms at onset, leading to frequent misdiagnosis as a primary psychiatric disorder. We report the case of a 16-year-old girl who presented with acute psychiatric symptoms, including mood lability, hallucinations, and aggression, initially diagnosed as first-episode psychosis. Her condition rapidly deteriorated under antipsychotic treatment, progressing to neuroleptic malignant syndrome, followed by the emergence of cerebellar ataxia, which raised strong suspicion of an underlying organic aetiology. Subsequent investigations confirmed the diagnosis of anti-NMDAR encephalitis. The patient was successfully treated with intravenous immunoglobulin, achieving complete recovery. This case underscores the diagnostic challenges posed by isolated psychiatric presentations of anti-NMDAR encephalitis in adolescents. Early recognition and prompt initiation of immunotherapy are crucial for favourable outcomes, particularly in cases presenting with antipsychotic intolerance or atypical clinical progression.</p><p><strong>Learning points: </strong>Anti-N-methyl-D-aspartate receptor encephalitis can initially present as an isolated psychiatric syndrome mimicking primary psychosis, particularly in adolescents, often leading to misdiagnosis.The development of neuroleptic malignant syndrome during a first-episode psychosis, occurring rapidly and at low antipsychotic doses, should raise suspicion of an organic aetiology, notably autoimmune encephalitis.Magnetic resonance imaging, electroencephalogram, and cerebrospinal fluid analysis are essential to distinguish autoimmune encephalitis from primary psychiatric disorders.</p>","PeriodicalId":11908,"journal":{"name":"European journal of case reports in internal medicine","volume":"12 8","pages":"005679"},"PeriodicalIF":0.0000,"publicationDate":"2025-07-16","publicationTypes":"Journal Article","fieldsOfStudy":null,"isOpenAccess":false,"openAccessPdf":"https://www.ncbi.nlm.nih.gov/pmc/articles/PMC12331270/pdf/","citationCount":"0","resultStr":null,"platform":"Semanticscholar","paperid":null,"PeriodicalName":"European journal of case reports in internal medicine","FirstCategoryId":"1085","ListUrlMain":"https://doi.org/10.12890/2025_005679","RegionNum":0,"RegionCategory":null,"ArticlePicture":[],"TitleCN":null,"AbstractTextCN":null,"PMCID":null,"EPubDate":"2025/1/1 0:00:00","PubModel":"eCollection","JCR":"Q3","JCRName":"Medicine","Score":null,"Total":0}
引用次数: 0

Abstract

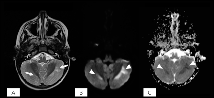
Anti-N-methyl-D-aspartate receptor (anti-NMDAR) encephalitis is a rare but increasingly recognized autoimmune disorder that predominantly affects adolescents and young adults. It often presents with prominent psychiatric symptoms at onset, leading to frequent misdiagnosis as a primary psychiatric disorder. We report the case of a 16-year-old girl who presented with acute psychiatric symptoms, including mood lability, hallucinations, and aggression, initially diagnosed as first-episode psychosis. Her condition rapidly deteriorated under antipsychotic treatment, progressing to neuroleptic malignant syndrome, followed by the emergence of cerebellar ataxia, which raised strong suspicion of an underlying organic aetiology. Subsequent investigations confirmed the diagnosis of anti-NMDAR encephalitis. The patient was successfully treated with intravenous immunoglobulin, achieving complete recovery. This case underscores the diagnostic challenges posed by isolated psychiatric presentations of anti-NMDAR encephalitis in adolescents. Early recognition and prompt initiation of immunotherapy are crucial for favourable outcomes, particularly in cases presenting with antipsychotic intolerance or atypical clinical progression.

Learning points: Anti-N-methyl-D-aspartate receptor encephalitis can initially present as an isolated psychiatric syndrome mimicking primary psychosis, particularly in adolescents, often leading to misdiagnosis.The development of neuroleptic malignant syndrome during a first-episode psychosis, occurring rapidly and at low antipsychotic doses, should raise suspicion of an organic aetiology, notably autoimmune encephalitis.Magnetic resonance imaging, electroencephalogram, and cerebrospinal fluid analysis are essential to distinguish autoimmune encephalitis from primary psychiatric disorders.

Abstract Image

抗n -甲基- d -天冬氨酸受体脑炎在16岁女孩中表现为孤立的首发精神病,并伴有抗精神病药恶性综合征。
抗n -甲基- d -天冬氨酸受体(抗nmdar)脑炎是一种罕见但越来越被认识到的自身免疫性疾病,主要影响青少年和年轻人。它通常在发病时表现出突出的精神症状,导致经常误诊为原发性精神障碍。我们报告一个16岁的女孩,她表现出急性精神症状,包括情绪不稳定,幻觉和攻击,最初诊断为首发精神病。她的病情在抗精神病药物治疗下迅速恶化,进展为抗精神病药物恶性综合征,随后出现小脑性共济失调,这引起了对潜在器质性病因的强烈怀疑。随后的调查证实了抗nmdar脑炎的诊断。患者静脉注射免疫球蛋白治疗成功,完全康复。该病例强调了青少年抗nmdar脑炎的孤立精神病学表现所带来的诊断挑战。早期识别和及时开始免疫治疗对于良好的结果至关重要,特别是在出现抗精神病药物不耐受或非典型临床进展的病例中。学习要点:抗n -甲基- d -天冬氨酸受体脑炎最初可能表现为一种孤立的精神综合征,类似于原发性精神病,特别是在青少年中,经常导致误诊。在首发精神病期间出现抗精神病药恶性综合征,发生迅速且抗精神病药剂量低,应引起器质性病因的怀疑,特别是自身免疫性脑炎。磁共振成像、脑电图和脑脊液分析是区分自身免疫性脑炎与原发性精神疾病的必要手段。
本文章由计算机程序翻译,如有差异,请以英文原文为准。
求助全文
约1分钟内获得全文 求助全文
来源期刊
CiteScore
2.10
自引率
0.00%
发文量
166
审稿时长
8 weeks
期刊介绍: The European Journal of Case Reports in Internal Medicine is an official journal of the European Federation of Internal Medicine (EFIM), representing 35 national societies from 33 European countries. The Journal''s mission is to promote the best medical practice and innovation in the field of acute and general medicine. It also provides a forum for internal medicine doctors where they can share new approaches with the aim of improving diagnostic and clinical skills in this field. EJCRIM welcomes high-quality case reports describing unusual or complex cases that an internist may encounter in everyday practice. The cases should either demonstrate the appropriateness of a diagnostic/therapeutic approach, describe a new procedure or maneuver, or show unusual manifestations of a disease or unexpected reactions. The Journal only accepts and publishes those case reports whose learning points provide new insight and/or contribute to advancing medical knowledge both in terms of diagnostics and therapeutic approaches. Case reports of medical errors, therefore, are also welcome as long as they provide innovative measures on how to prevent them in the current practice (Instructive Errors). The Journal may also consider brief and reasoned reports on issues relevant to the practice of Internal Medicine, as well as Abstracts submitted to the scientific meetings of acknowledged medical societies.
×
引用
GB/T 7714-2015
复制
MLA
复制
APA
复制
导出至
BibTeX EndNote RefMan NoteFirst NoteExpress
×
提示
您的信息不完整,为了账户安全,请先补充。
现在去补充
×
提示
您因"违规操作"
具体请查看互助需知
我知道了
×
提示
确定
请完成安全验证×
copy
已复制链接
快去分享给好友吧!
我知道了
右上角分享
点击右上角分享
0
联系我们:info@booksci.cn Book学术提供免费学术资源搜索服务,方便国内外学者检索中英文文献。致力于提供最便捷和优质的服务体验。 Copyright © 2023 布克学术 All rights reserved.
京ICP备2023020795号-1
ghs 京公网安备 11010802042870号
Book学术文献互助
Book学术文献互助群
群 号:604180095
Book学术官方微信