Composite hemangioendothelioma: report of a rare neoplasm.

IF 3.6 4区 医学 Q2 DERMATOLOGY
Anais brasileiros de dermatologia Pub Date : 2025-09-01 Epub Date: 2025-08-09 DOI:10.1016/j.abd.2025.501166
Marilda Aparecida Milanez Morgado de Abreu, Carolina Aparecida de Almeida Ferreira, Gisele Alborghetti Nai
{"title":"Composite hemangioendothelioma: report of a rare neoplasm.","authors":"Marilda Aparecida Milanez Morgado de Abreu, Carolina Aparecida de Almeida Ferreira, Gisele Alborghetti Nai","doi":"10.1016/j.abd.2025.501166","DOIUrl":null,"url":null,"abstract":"","PeriodicalId":7787,"journal":{"name":"Anais brasileiros de dermatologia","volume":"100 5","pages":"501166"},"PeriodicalIF":3.6000,"publicationDate":"2025-09-01","publicationTypes":"Journal Article","fieldsOfStudy":null,"isOpenAccess":false,"openAccessPdf":"https://www.ncbi.nlm.nih.gov/pmc/articles/PMC12357085/pdf/","citationCount":"0","resultStr":null,"platform":"Semanticscholar","paperid":null,"PeriodicalName":"Anais brasileiros de dermatologia","FirstCategoryId":"3","ListUrlMain":"https://doi.org/10.1016/j.abd.2025.501166","RegionNum":4,"RegionCategory":"医学","ArticlePicture":[],"TitleCN":null,"AbstractTextCN":null,"PMCID":null,"EPubDate":"2025/8/9 0:00:00","PubModel":"Epub","JCR":"Q2","JCRName":"DERMATOLOGY","Score":null,"Total":0}
引用次数: 0

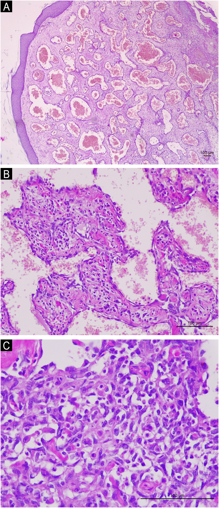
Abstract Image

Abstract Image

复合血管内皮瘤:一罕见肿瘤报告。
本文章由计算机程序翻译,如有差异,请以英文原文为准。
求助全文
约1分钟内获得全文 求助全文
来源期刊
CiteScore
2.40
自引率
0.00%
发文量
184
审稿时长
32 days
期刊介绍: The journal is published bimonthly and is devoted to the dissemination of original, unpublished technical-scientific study, resulting from research or reviews of dermatological topics and related matters. Exchanges with other publications may be accepted.
×
引用
GB/T 7714-2015
复制
MLA
复制
APA
复制
导出至
BibTeX EndNote RefMan NoteFirst NoteExpress
×
提示
您的信息不完整,为了账户安全,请先补充。
现在去补充
×
提示
您因"违规操作"
具体请查看互助需知
我知道了
×
提示
确定
请完成安全验证×
copy
已复制链接
快去分享给好友吧!
我知道了
右上角分享
点击右上角分享
0
联系我们:info@booksci.cn Book学术提供免费学术资源搜索服务,方便国内外学者检索中英文文献。致力于提供最便捷和优质的服务体验。 Copyright © 2023 布克学术 All rights reserved.
京ICP备2023020795号-1
ghs 京公网安备 11010802042870号
Book学术文献互助
Book学术文献互助群
群 号:604180095
Book学术官方微信