Sodium thiosulfate does not affect energy metabolism or organ (dys)function during resuscitation from murine trauma-and-hemorrhage.

IF 2.8 Q2 CRITICAL CARE MEDICINE
Maximilian Feth, Mirabel Gracco, Michael Gröger, Melanie Hogg, Sandra Kress, Andrea Hoffmann, Enrico Calzia, Ulrich Wachter, Peter Radermacher, Tamara Merz
{"title":"Sodium thiosulfate does not affect energy metabolism or organ (dys)function during resuscitation from murine trauma-and-hemorrhage.","authors":"Maximilian Feth, Mirabel Gracco, Michael Gröger, Melanie Hogg, Sandra Kress, Andrea Hoffmann, Enrico Calzia, Ulrich Wachter, Peter Radermacher, Tamara Merz","doi":"10.1186/s40635-025-00778-0","DOIUrl":null,"url":null,"abstract":"<p><strong>Background: </strong>In murine models, controversial data have been reported on the effect of hydrogen sulfide (H<sub>2</sub>S) administration during resuscitation from trauma-and-hemorrhage. The H<sub>2</sub>S donor sodium thiosulfate (Na<sub>2</sub>S<sub>2</sub>O<sub>3</sub>) is a recognized drug devoid of major side effects, and, hence, we determined its effects in our full scale ICU-model of resuscitated murine trauma-and-hemorrhage. We hypothesized that Na<sub>2</sub>S<sub>2</sub>O<sub>3</sub> might improve energy metabolism and thereby exert organ-protective effects as previously demonstrated in animals with genetic cystathionine-γ-lyase (CSE) deletion (CSE<sup>-/-</sup>).</p><p><strong>Methods: </strong>30 mice underwent combined blast wave-induced blunt chest trauma followed by 1 h of hemorrhagic shock (mean arterial pressure MAP = 35 ± 5 mmHg). Thereafter, resuscitation was initiated comprising re-transfusion of shed blood, lung-protective mechanical ventilation, fluid resuscitation and continuous i.v. noradrenaline infusion to maintain MAP > 55 mmHg over 6 h, and randomized administration of either i.v. 0.45 mg/g<sub>bodyweight</sub> Na<sub>2</sub>S<sub>2</sub>O<sub>3</sub> or vehicle (NaCl 0.9%). Hemodynamics, lung mechanics, gas exchange, acid-base-status and organ function parameters were recorded. Metabolic pathways were quantified based on gas chromatography/mass spectrometry assessment of plasma isotope enrichment during primed-continuous infusion of stable, non-radioactive, isotope labeled substrates. Mitochondrial function was determined using high-resolution respirometry, and tissue target proteins (nitrotyrosine formation, extravascular albumin accumulation, CSE expression) were analyzed using immunohistochemistry.</p><p><strong>Results: </strong>Data originate from 23 mice (Na<sub>2</sub>S<sub>2</sub>O<sub>3</sub> n = 12; vehicle n = 11)<sub>.</sub> Na<sub>2</sub>S<sub>2</sub>O<sub>3</sub> affected neither survival nor noradrenaline requirements. While minute ventilation had to be increased over time in both groups to maintain arterial PCO<sub>2</sub> without intergroup difference, arterial PO<sub>2</sub> decreased over time in Na<sub>2</sub>S<sub>2</sub>O<sub>3</sub>-treated mice (p = 0.006). Although arterial pH decreased in both groups (vehicle p = 0.049; Na<sub>2</sub>S<sub>2</sub>O<sub>3</sub> p < 0.001), metabolic acidosis was more pronounced in the Na<sub>2</sub>S<sub>2</sub>O<sub>3</sub> group. Neither metabolic pathways nor tissue mitochondrial respiratory activity or tissue target proteins showed any intergroup differences.</p><p><strong>Discussion: </strong>In this model of resuscitated trauma-and-hemorrhage, Na<sub>2</sub>S<sub>2</sub>O<sub>3</sub> did not exert any beneficial metabolic or organ-protective effect and was even associated with impaired pulmonary function. These results are in contrast to our previous findings in CSE<sup>-/-</sup> mice, but in line with more recent findings in CSE<sup>-/-</sup> mice with pre-existing comorbidities. Hence, our studies do not support a beneficial role of Na<sub>2</sub>S<sub>2</sub>O<sub>3</sub> in trauma resuscitation.</p>","PeriodicalId":13750,"journal":{"name":"Intensive Care Medicine Experimental","volume":"13 1","pages":"80"},"PeriodicalIF":2.8000,"publicationDate":"2025-08-06","publicationTypes":"Journal Article","fieldsOfStudy":null,"isOpenAccess":false,"openAccessPdf":"https://www.ncbi.nlm.nih.gov/pmc/articles/PMC12328856/pdf/","citationCount":"0","resultStr":null,"platform":"Semanticscholar","paperid":null,"PeriodicalName":"Intensive Care Medicine Experimental","FirstCategoryId":"1085","ListUrlMain":"https://doi.org/10.1186/s40635-025-00778-0","RegionNum":0,"RegionCategory":null,"ArticlePicture":[],"TitleCN":null,"AbstractTextCN":null,"PMCID":null,"EPubDate":"","PubModel":"","JCR":"Q2","JCRName":"CRITICAL CARE MEDICINE","Score":null,"Total":0}
引用次数: 0

Abstract

Background: In murine models, controversial data have been reported on the effect of hydrogen sulfide (H2S) administration during resuscitation from trauma-and-hemorrhage. The H2S donor sodium thiosulfate (Na2S2O3) is a recognized drug devoid of major side effects, and, hence, we determined its effects in our full scale ICU-model of resuscitated murine trauma-and-hemorrhage. We hypothesized that Na2S2O3 might improve energy metabolism and thereby exert organ-protective effects as previously demonstrated in animals with genetic cystathionine-γ-lyase (CSE) deletion (CSE-/-).

Methods: 30 mice underwent combined blast wave-induced blunt chest trauma followed by 1 h of hemorrhagic shock (mean arterial pressure MAP = 35 ± 5 mmHg). Thereafter, resuscitation was initiated comprising re-transfusion of shed blood, lung-protective mechanical ventilation, fluid resuscitation and continuous i.v. noradrenaline infusion to maintain MAP > 55 mmHg over 6 h, and randomized administration of either i.v. 0.45 mg/gbodyweight Na2S2O3 or vehicle (NaCl 0.9%). Hemodynamics, lung mechanics, gas exchange, acid-base-status and organ function parameters were recorded. Metabolic pathways were quantified based on gas chromatography/mass spectrometry assessment of plasma isotope enrichment during primed-continuous infusion of stable, non-radioactive, isotope labeled substrates. Mitochondrial function was determined using high-resolution respirometry, and tissue target proteins (nitrotyrosine formation, extravascular albumin accumulation, CSE expression) were analyzed using immunohistochemistry.

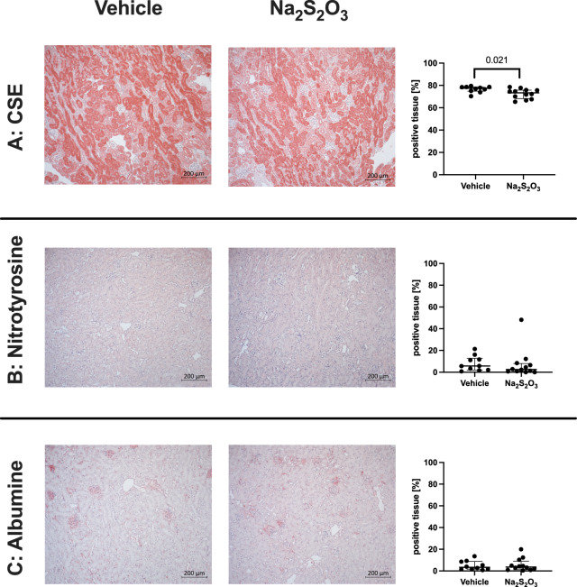
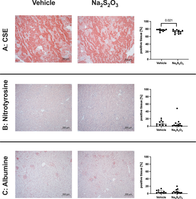
Results: Data originate from 23 mice (Na2S2O3 n = 12; vehicle n = 11). Na2S2O3 affected neither survival nor noradrenaline requirements. While minute ventilation had to be increased over time in both groups to maintain arterial PCO2 without intergroup difference, arterial PO2 decreased over time in Na2S2O3-treated mice (p = 0.006). Although arterial pH decreased in both groups (vehicle p = 0.049; Na2S2O3 p < 0.001), metabolic acidosis was more pronounced in the Na2S2O3 group. Neither metabolic pathways nor tissue mitochondrial respiratory activity or tissue target proteins showed any intergroup differences.

Discussion: In this model of resuscitated trauma-and-hemorrhage, Na2S2O3 did not exert any beneficial metabolic or organ-protective effect and was even associated with impaired pulmonary function. These results are in contrast to our previous findings in CSE-/- mice, but in line with more recent findings in CSE-/- mice with pre-existing comorbidities. Hence, our studies do not support a beneficial role of Na2S2O3 in trauma resuscitation.

Abstract Image

Abstract Image

Abstract Image

Abstract Image

Abstract Image

Abstract Image

硫代硫酸钠不影响小鼠外伤出血复苏期间的能量代谢或器官(日)功能。
背景:在小鼠模型中,关于在创伤和出血复苏期间给予硫化氢(H2S)的影响,已经报道了有争议的数据。H2S供体硫代硫酸钠(Na2S2O3)是一种公认的无主要副作用的药物,因此,我们在复苏小鼠创伤和出血的全尺寸icu模型中确定了其效果。我们假设Na2S2O3可能改善能量代谢,从而发挥器官保护作用,正如之前在遗传半胱硫氨酸-γ-裂解酶(CSE)缺失(CSE-/-)的动物中所证明的那样。方法:30只小鼠经联合冲击波致钝性胸外伤后1 h失血性休克(平均动脉压MAP = 35±5 mmHg)。随后,开始复苏,包括再次输血,肺保护性机械通气,液体复苏和持续静脉输注去甲肾上腺素以维持MAP bb0 55 mmHg超过6小时,并随机静脉注射0.45 mg/ g体重Na2S2O3或对照物(NaCl 0.9%)。记录血液动力学、肺力学、气体交换、酸碱状态和器官功能参数。代谢途径是通过气相色谱/质谱法评估稳定的、非放射性的、同位素标记的底物在引物连续输注过程中的血浆同位素富集来量化的。用高分辨率呼吸仪测定线粒体功能,用免疫组织化学分析组织靶蛋白(硝基酪氨酸形成、血管外白蛋白积累、CSE表达)。结果:数据来源于23只小鼠(Na2S2O3 n = 12;车辆n = 11)。Na2S2O3既不影响生存也不影响去甲肾上腺素需求。两组均需增加微小通气以维持动脉PCO2无组间差异,但na2s2o3处理小鼠动脉PO2随时间降低(p = 0.006)。虽然两组动脉pH值均降低(对照p = 0.049;Na2S2O3 p 2S2O3基团。代谢途径、组织线粒体呼吸活动或组织靶蛋白均未显示组间差异。讨论:在这个复苏的创伤出血模型中,Na2S2O3没有发挥任何有益的代谢或器官保护作用,甚至与肺功能受损有关。这些结果与我们之前在CSE-/-小鼠中的研究结果相反,但与最近在存在合并症的CSE-/-小鼠中的研究结果一致。因此,我们的研究不支持Na2S2O3在创伤复苏中的有益作用。
本文章由计算机程序翻译,如有差异,请以英文原文为准。
求助全文
约1分钟内获得全文 求助全文
来源期刊
Intensive Care Medicine Experimental
Intensive Care Medicine Experimental CRITICAL CARE MEDICINE-
CiteScore
5.10
自引率
2.90%
发文量
48
审稿时长
13 weeks
×
引用
GB/T 7714-2015
复制
MLA
复制
APA
复制
导出至
BibTeX EndNote RefMan NoteFirst NoteExpress
×
提示
您的信息不完整,为了账户安全,请先补充。
现在去补充
×
提示
您因"违规操作"
具体请查看互助需知
我知道了
×
提示
确定
请完成安全验证×
copy
已复制链接
快去分享给好友吧!
我知道了
右上角分享
点击右上角分享
0
联系我们:info@booksci.cn Book学术提供免费学术资源搜索服务,方便国内外学者检索中英文文献。致力于提供最便捷和优质的服务体验。 Copyright © 2023 布克学术 All rights reserved.
京ICP备2023020795号-1
ghs 京公网安备 11010802042870号
Book学术文献互助
Book学术文献互助群
群 号:604180095
Book学术官方微信