Classic Hodgkin's Lymphoma With Epstein-Barr Viremia and Lymphadenopathy.

IF 0.7 Q3 MEDICINE, GENERAL & INTERNAL
Case Reports in Medicine Pub Date : 2025-07-29 eCollection Date: 2025-01-01 DOI:10.1155/carm/4599207
Zulma D Sosa Carcamo, Salvador Alvarez, Joan M Irizarry Alvarado
{"title":"Classic Hodgkin's Lymphoma With Epstein-Barr Viremia and Lymphadenopathy.","authors":"Zulma D Sosa Carcamo, Salvador Alvarez, Joan M Irizarry Alvarado","doi":"10.1155/carm/4599207","DOIUrl":null,"url":null,"abstract":"<p><p>Hodgkin's lymphoma (HL) is uncommon, and its etiology has been attributed to infectious sources such as Epstein-Barr virus (EBV). Though pathogenesis is not completely understood, studies have revealed that specific viral proteins from EBV conduct the process of HL development. In this report, we will discuss the case of a patient who developed EBV-associated classic HL 15 years after an episode of infectious mononucleosis.</p>","PeriodicalId":9627,"journal":{"name":"Case Reports in Medicine","volume":"2025 ","pages":"4599207"},"PeriodicalIF":0.7000,"publicationDate":"2025-07-29","publicationTypes":"Journal Article","fieldsOfStudy":null,"isOpenAccess":false,"openAccessPdf":"https://www.ncbi.nlm.nih.gov/pmc/articles/PMC12324906/pdf/","citationCount":"0","resultStr":null,"platform":"Semanticscholar","paperid":null,"PeriodicalName":"Case Reports in Medicine","FirstCategoryId":"1085","ListUrlMain":"https://doi.org/10.1155/carm/4599207","RegionNum":0,"RegionCategory":null,"ArticlePicture":[],"TitleCN":null,"AbstractTextCN":null,"PMCID":null,"EPubDate":"2025/1/1 0:00:00","PubModel":"eCollection","JCR":"Q3","JCRName":"MEDICINE, GENERAL & INTERNAL","Score":null,"Total":0}
引用次数: 0

Abstract

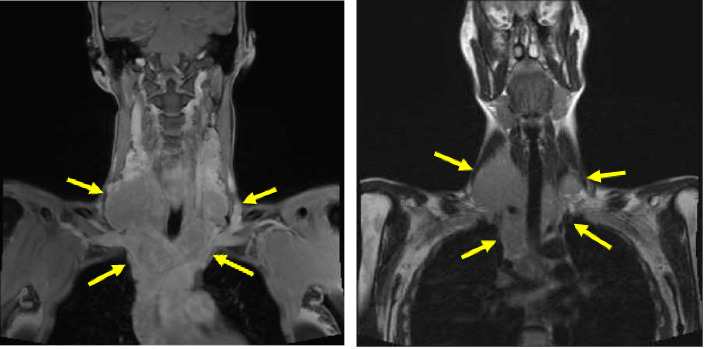
Hodgkin's lymphoma (HL) is uncommon, and its etiology has been attributed to infectious sources such as Epstein-Barr virus (EBV). Though pathogenesis is not completely understood, studies have revealed that specific viral proteins from EBV conduct the process of HL development. In this report, we will discuss the case of a patient who developed EBV-associated classic HL 15 years after an episode of infectious mononucleosis.

Abstract Image

Abstract Image

典型霍奇金淋巴瘤伴爱泼斯坦-巴尔病毒血症和淋巴结病。
霍奇金淋巴瘤(HL)并不常见,其病因已归因于感染性来源,如爱泼斯坦-巴尔病毒(EBV)。虽然发病机制尚不完全清楚,但研究表明,EBV的特定病毒蛋白主导了HL的发展过程。在本报告中,我们将讨论一例患者在感染性单核细胞增多症发作15年后发展为ebv相关的经典HL。
本文章由计算机程序翻译,如有差异,请以英文原文为准。
求助全文
约1分钟内获得全文 求助全文
来源期刊
Case Reports in Medicine
Case Reports in Medicine MEDICINE, GENERAL & INTERNAL-
CiteScore
1.70
自引率
0.00%
发文量
53
审稿时长
13 weeks
×
引用
GB/T 7714-2015
复制
MLA
复制
APA
复制
导出至
BibTeX EndNote RefMan NoteFirst NoteExpress
×
提示
您的信息不完整,为了账户安全,请先补充。
现在去补充
×
提示
您因"违规操作"
具体请查看互助需知
我知道了
×
提示
确定
请完成安全验证×
copy
已复制链接
快去分享给好友吧!
我知道了
右上角分享
点击右上角分享
0
联系我们:info@booksci.cn Book学术提供免费学术资源搜索服务,方便国内外学者检索中英文文献。致力于提供最便捷和优质的服务体验。 Copyright © 2023 布克学术 All rights reserved.
京ICP备2023020795号-1
ghs 京公网安备 11010802042870号
Book学术文献互助
Book学术文献互助群
群 号:604180095
Book学术官方微信