Heterozygous variants of uncertain significance in NPHS1 and CRB2 in a newborn with congenital nephrotic syndrome of the Finnish type and multiple fetal anomalies: a case report.

IF 0.7 Q3 MEDICINE, GENERAL & INTERNAL
AME Case Reports Pub Date : 2025-07-09 eCollection Date: 2025-01-01 DOI:10.21037/acr-24-246
Farzina Zafar, Mohammed A Al-Obaide, Tetyana L Vasylyeva
{"title":"Heterozygous variants of uncertain significance in <i>NPHS1</i> and <i>CRB2</i> in a newborn with congenital nephrotic syndrome of the Finnish type and multiple fetal anomalies: a case report.","authors":"Farzina Zafar, Mohammed A Al-Obaide, Tetyana L Vasylyeva","doi":"10.21037/acr-24-246","DOIUrl":null,"url":null,"abstract":"<p><strong>Background: </strong>Congenital nephrotic syndrome of the Finnish type (CNF) is an autosomal recessive disorder resulting from mutations in the <i>NPHS1</i> gene, which encodes nephrin, an essential protein in the podocyte slit diaphragm. Pathogenic mutations of <i>NPHS1</i> cause substantial proteinuria detectable at birth. Variants of uncertain significance (VUS) are recognized mutations, but their effects on health are not yet understood. This uncertainty makes it challenging to identify specific types of VUS that may contribute to disease development. The association of CNF with <i>NPHS1</i> VUS remains unclear.</p><p><strong>Case description: </strong>We describe the salient features of a newborn with CNF and multiple fetal anomalies based on clinical risk factors discovered by ultrasound (US) and X-rays, which include cardiomegaly, polycystic kidney disease, and renal dysplasia. Biochemical tests showed substantial proteinuria and excess protein in the urine detected at birth; this condition caused albuminuria, hypoalbuminemia, edema, and additional symptoms. The patient underwent treatment to reduce the risks of proteinuria, hypertension, infection, and other symptoms. The next generation sequencing (NGS) analysis revealed that the infant had five previously unreported heterozygous missense variants classified as VUS in <i>NPHS1</i>, <i>NUP160</i>, <i>ALG1</i>, and <i>CRB2</i>. The <i>NPHS1</i> c.2150A>G and <i>CRB2</i> c.1654G>T may lead to defects in the CTCF (CCCTC binding factor) and exonic splicing enhancer (ESE) motifs, respectively, which could account for the observed clinical features in the newborn.</p><p><strong>Conclusions: </strong>The infant's illness may be related to changes in exonic splicing caused by <i>NPHS1</i>-VUS and <i>CRB2</i>-VUS. <i>NPHS1</i> encodes the nephrin protein, which is crucial for the slit diaphragm of podocytes, while <i>CRB2</i> is essential for slit diaphragm formation and is linked to cystic kidney disease.</p>","PeriodicalId":29752,"journal":{"name":"AME Case Reports","volume":"9 ","pages":"87"},"PeriodicalIF":0.7000,"publicationDate":"2025-07-09","publicationTypes":"Journal Article","fieldsOfStudy":null,"isOpenAccess":false,"openAccessPdf":"https://www.ncbi.nlm.nih.gov/pmc/articles/PMC12319619/pdf/","citationCount":"0","resultStr":null,"platform":"Semanticscholar","paperid":null,"PeriodicalName":"AME Case Reports","FirstCategoryId":"1085","ListUrlMain":"https://doi.org/10.21037/acr-24-246","RegionNum":0,"RegionCategory":null,"ArticlePicture":[],"TitleCN":null,"AbstractTextCN":null,"PMCID":null,"EPubDate":"2025/1/1 0:00:00","PubModel":"eCollection","JCR":"Q3","JCRName":"MEDICINE, GENERAL & INTERNAL","Score":null,"Total":0}
引用次数: 0

Abstract

Background: Congenital nephrotic syndrome of the Finnish type (CNF) is an autosomal recessive disorder resulting from mutations in the NPHS1 gene, which encodes nephrin, an essential protein in the podocyte slit diaphragm. Pathogenic mutations of NPHS1 cause substantial proteinuria detectable at birth. Variants of uncertain significance (VUS) are recognized mutations, but their effects on health are not yet understood. This uncertainty makes it challenging to identify specific types of VUS that may contribute to disease development. The association of CNF with NPHS1 VUS remains unclear.

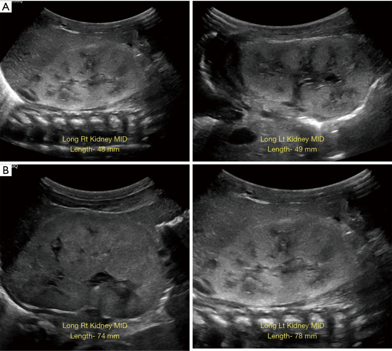
Case description: We describe the salient features of a newborn with CNF and multiple fetal anomalies based on clinical risk factors discovered by ultrasound (US) and X-rays, which include cardiomegaly, polycystic kidney disease, and renal dysplasia. Biochemical tests showed substantial proteinuria and excess protein in the urine detected at birth; this condition caused albuminuria, hypoalbuminemia, edema, and additional symptoms. The patient underwent treatment to reduce the risks of proteinuria, hypertension, infection, and other symptoms. The next generation sequencing (NGS) analysis revealed that the infant had five previously unreported heterozygous missense variants classified as VUS in NPHS1, NUP160, ALG1, and CRB2. The NPHS1 c.2150A>G and CRB2 c.1654G>T may lead to defects in the CTCF (CCCTC binding factor) and exonic splicing enhancer (ESE) motifs, respectively, which could account for the observed clinical features in the newborn.

Conclusions: The infant's illness may be related to changes in exonic splicing caused by NPHS1-VUS and CRB2-VUS. NPHS1 encodes the nephrin protein, which is crucial for the slit diaphragm of podocytes, while CRB2 is essential for slit diaphragm formation and is linked to cystic kidney disease.

Abstract Image

Abstract Image

Abstract Image

芬兰型先天性肾病综合征新生儿NPHS1和CRB2杂合变异及多重胎儿畸形的不确定意义:1例报告
背景:芬兰型先天性肾病综合征(CNF)是一种常染色体隐性遗传病,由NPHS1基因突变引起,该基因编码肾素,肾素是足细胞狭缝隔膜中必需的蛋白质。NPHS1的致病性突变导致出生时可检测到的大量蛋白尿。不确定意义变异(VUS)是公认的突变,但其对健康的影响尚不清楚。这种不确定性使得确定可能导致疾病发展的特定VUS类型具有挑战性。CNF与NPHS1 VUS的关系尚不清楚。病例描述:我们根据超声(US)和x线发现的临床危险因素,描述了一个CNF新生儿和多个胎儿异常的显著特征,包括心脏肥大、多囊肾病和肾脏发育不良。生化检查显示大量蛋白尿和出生时尿液中检测到的过量蛋白质;这种情况导致蛋白尿、低白蛋白血症、水肿和其他症状。患者接受治疗以降低蛋白尿、高血压、感染和其他症状的风险。下一代测序(NGS)分析显示,该婴儿在NPHS1、NUP160、ALG1和CRB2中有5个以前未报道的杂合错义变异,分类为VUS。NPHS1 c.2150A>G和CRB2 c.1654G>T可能分别导致CTCF (CCCTC结合因子)和外显子剪接增强子(ESE)基序的缺陷,这可能是新生儿观察到的临床特征的原因。结论:婴儿的疾病可能与NPHS1-VUS和CRB2-VUS引起的外显子剪接改变有关。NPHS1编码的nephrin蛋白对足细胞的狭缝隔膜至关重要,而CRB2对狭缝隔膜的形成至关重要,并与囊性肾病有关。
本文章由计算机程序翻译,如有差异,请以英文原文为准。
求助全文
约1分钟内获得全文 求助全文
来源期刊
自引率
0.00%
发文量
0
×
引用
GB/T 7714-2015
复制
MLA
复制
APA
复制
导出至
BibTeX EndNote RefMan NoteFirst NoteExpress
×
提示
您的信息不完整,为了账户安全,请先补充。
现在去补充
×
提示
您因"违规操作"
具体请查看互助需知
我知道了
×
提示
确定
请完成安全验证×
copy
已复制链接
快去分享给好友吧!
我知道了
右上角分享
点击右上角分享
0
联系我们:info@booksci.cn Book学术提供免费学术资源搜索服务,方便国内外学者检索中英文文献。致力于提供最便捷和优质的服务体验。 Copyright © 2023 布克学术 All rights reserved.
京ICP备2023020795号-1
ghs 京公网安备 11010802042870号
Book学术文献互助
Book学术文献互助群
群 号:604180095
Book学术官方微信