Jaundice in an Adult Female Patient With Photosensitivity.

IF 0.5 Q4 GASTROENTEROLOGY & HEPATOLOGY
ACG Case Reports Journal Pub Date : 2025-08-04 eCollection Date: 2025-08-01 DOI:10.14309/crj.0000000000001797
Orlando Emmanuel Falcón-Antonio, David Aguirre-Villarreal, Froylan David Martínez-Sánchez, Ignacio García-Juárez
{"title":"Jaundice in an Adult Female Patient With Photosensitivity.","authors":"Orlando Emmanuel Falcón-Antonio, David Aguirre-Villarreal, Froylan David Martínez-Sánchez, Ignacio García-Juárez","doi":"10.14309/crj.0000000000001797","DOIUrl":null,"url":null,"abstract":"<p><p>This was the case of a 21-year-old woman with longstanding photosensitivity who developed progressive jaundice and liver dysfunction. The initial workup excluded common hepatobiliary and autoimmune causes. Skin and liver biopsies revealed characteristic histological features, including hyaline dermal deposits and birefringent pigments in the hepatic canaliculi. Elevated erythrocyte protoporphyrin levels and genetic testing confirmed erythropoietic protoporphyria with hepatic involvement. Despite supportive care, she required liver transplantation and later died of infectious complications. This case underscores the importance of considering porphyria in patients with combined cutaneous and hepatic manifestations and highlights the diagnostic value of clinicopathological correlations.</p>","PeriodicalId":7394,"journal":{"name":"ACG Case Reports Journal","volume":"12 8","pages":"e01797"},"PeriodicalIF":0.5000,"publicationDate":"2025-08-04","publicationTypes":"Journal Article","fieldsOfStudy":null,"isOpenAccess":false,"openAccessPdf":"https://www.ncbi.nlm.nih.gov/pmc/articles/PMC12321480/pdf/","citationCount":"0","resultStr":null,"platform":"Semanticscholar","paperid":null,"PeriodicalName":"ACG Case Reports Journal","FirstCategoryId":"1085","ListUrlMain":"https://doi.org/10.14309/crj.0000000000001797","RegionNum":0,"RegionCategory":null,"ArticlePicture":[],"TitleCN":null,"AbstractTextCN":null,"PMCID":null,"EPubDate":"2025/8/1 0:00:00","PubModel":"eCollection","JCR":"Q4","JCRName":"GASTROENTEROLOGY & HEPATOLOGY","Score":null,"Total":0}
引用次数: 0

Abstract

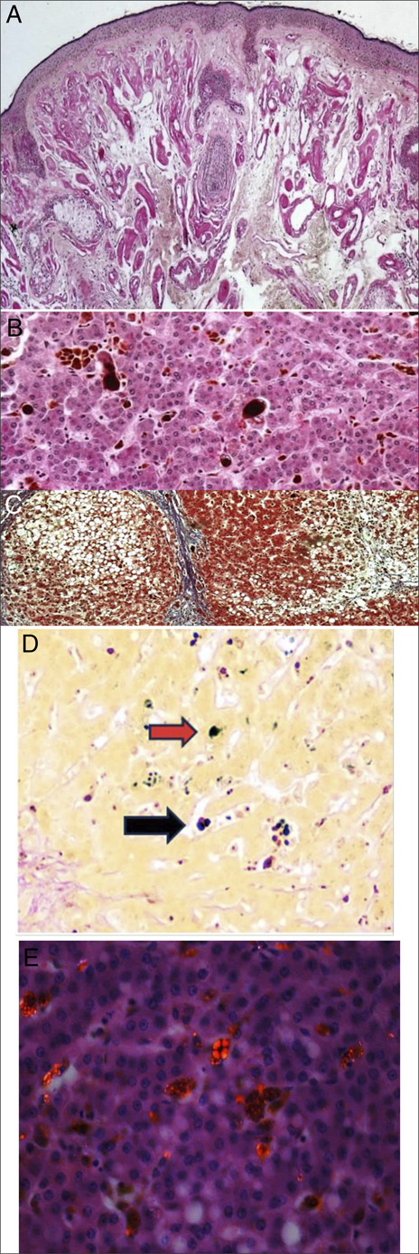
This was the case of a 21-year-old woman with longstanding photosensitivity who developed progressive jaundice and liver dysfunction. The initial workup excluded common hepatobiliary and autoimmune causes. Skin and liver biopsies revealed characteristic histological features, including hyaline dermal deposits and birefringent pigments in the hepatic canaliculi. Elevated erythrocyte protoporphyrin levels and genetic testing confirmed erythropoietic protoporphyria with hepatic involvement. Despite supportive care, she required liver transplantation and later died of infectious complications. This case underscores the importance of considering porphyria in patients with combined cutaneous and hepatic manifestations and highlights the diagnostic value of clinicopathological correlations.

Abstract Image

成年女性光敏性黄疸1例。
这是一个21岁的长期光敏性女性的病例,她发展为进行性黄疸和肝功能障碍。最初的检查排除了常见的肝胆和自身免疫性原因。皮肤和肝脏活检显示特征性组织学特征,包括肝小管内透明样真皮沉积和双折射色素。红细胞原卟啉水平升高和基因检测证实红细胞原卟啉伴肝脏受累。尽管有支持治疗,她还是需要肝移植,后来死于感染并发症。该病例强调了考虑伴有皮肤和肝脏合并表现的卟啉症患者的重要性,并强调了临床病理相关性的诊断价值。
本文章由计算机程序翻译,如有差异,请以英文原文为准。
求助全文
约1分钟内获得全文 求助全文
来源期刊
ACG Case Reports Journal
ACG Case Reports Journal GASTROENTEROLOGY & HEPATOLOGY-
自引率
14.30%
发文量
170
审稿时长
12 weeks
期刊介绍: ACG Case Reports Journal is a peer-reviewed, open-access publication that provides GI and hepatology fellows, private practice clinicians, and other healthcare providers an opportunity to share interesting case reports with their peers and with leaders in the field. ACG Case Reports Journal publishes case reports, images, videos and letters to the editor in all topics of gastroenterology and hepatology, including: Biliary Colon Endoscopy Esophagus Functional Bowel Disorders Inflammatory Bowel Disease Liver Nutrition and Obesity Pancreas Pathology Pediatric Small Bowel Stomach.
×
引用
GB/T 7714-2015
复制
MLA
复制
APA
复制
导出至
BibTeX EndNote RefMan NoteFirst NoteExpress
×
提示
您的信息不完整,为了账户安全,请先补充。
现在去补充
×
提示
您因"违规操作"
具体请查看互助需知
我知道了
×
提示
确定
请完成安全验证×
copy
已复制链接
快去分享给好友吧!
我知道了
右上角分享
点击右上角分享
0
联系我们:info@booksci.cn Book学术提供免费学术资源搜索服务,方便国内外学者检索中英文文献。致力于提供最便捷和优质的服务体验。 Copyright © 2023 布克学术 All rights reserved.
京ICP备2023020795号-1
ghs 京公网安备 11010802042870号
Book学术文献互助
Book学术文献互助群
群 号:604180095
Book学术官方微信