Acute Esophageal Necrosis: A Case Series of Two Critically Ill Patients.

IF 0.6 Q3 MEDICINE, GENERAL & INTERNAL
Shadan Mehraban, Jonathan London, Leilah Tisheh, Jiya Mulayamkuzhiyil, Mario Mekhail, Zubin Tharayil, Chris Lascarides, Pranay Srivastava, Prakash Viswanathan
{"title":"Acute Esophageal Necrosis: A Case Series of Two Critically Ill Patients.","authors":"Shadan Mehraban, Jonathan London, Leilah Tisheh, Jiya Mulayamkuzhiyil, Mario Mekhail, Zubin Tharayil, Chris Lascarides, Pranay Srivastava, Prakash Viswanathan","doi":"10.55729/2000-9666.1508","DOIUrl":null,"url":null,"abstract":"<p><p>Acute esophageal necrosis (AEN) is a rare syndrome, characterized by extensive circumferential necrosis of the esophageal mucosa at the gastroesophageal junction. AEN carries significant morbidity and mortality, and early recognition is crucial for management. We present a case series of AEN in two critically ill patients, one who presented with coffee ground emesis and diabetic ketoacidosis (DKA) and the other one who presented with upper gastrointestinal bleed in the setting of malignancy and concurrent infection with active antibiotic use. Prompt diagnosis and management of both AEN and its underlying causes are crucial to improve patient outcomes.</p>","PeriodicalId":15460,"journal":{"name":"Journal of Community Hospital Internal Medicine Perspectives","volume":"15 4","pages":"77-80"},"PeriodicalIF":0.6000,"publicationDate":"2025-07-03","publicationTypes":"Journal Article","fieldsOfStudy":null,"isOpenAccess":false,"openAccessPdf":"https://www.ncbi.nlm.nih.gov/pmc/articles/PMC12315880/pdf/","citationCount":"0","resultStr":null,"platform":"Semanticscholar","paperid":null,"PeriodicalName":"Journal of Community Hospital Internal Medicine Perspectives","FirstCategoryId":"1085","ListUrlMain":"https://doi.org/10.55729/2000-9666.1508","RegionNum":0,"RegionCategory":null,"ArticlePicture":[],"TitleCN":null,"AbstractTextCN":null,"PMCID":null,"EPubDate":"2025/1/1 0:00:00","PubModel":"eCollection","JCR":"Q3","JCRName":"MEDICINE, GENERAL & INTERNAL","Score":null,"Total":0}
引用次数: 0

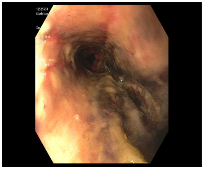
Abstract

Acute esophageal necrosis (AEN) is a rare syndrome, characterized by extensive circumferential necrosis of the esophageal mucosa at the gastroesophageal junction. AEN carries significant morbidity and mortality, and early recognition is crucial for management. We present a case series of AEN in two critically ill patients, one who presented with coffee ground emesis and diabetic ketoacidosis (DKA) and the other one who presented with upper gastrointestinal bleed in the setting of malignancy and concurrent infection with active antibiotic use. Prompt diagnosis and management of both AEN and its underlying causes are crucial to improve patient outcomes.

Abstract Image

急性食管坏死:两例危重症患者的病例分析。
急性食管坏死(AEN)是一种罕见的综合征,其特征是胃食管交界处的食管粘膜广泛的周状坏死。AEN具有显著的发病率和死亡率,早期识别对治疗至关重要。我们报告了两例危重患者的AEN病例系列,其中一名患者表现为咖啡渣呕吐和糖尿病酮症酸中毒(DKA),另一名患者表现为恶性肿瘤和并发感染并使用有效抗生素的上消化道出血。及时诊断和管理AEN及其潜在原因对于改善患者预后至关重要。
本文章由计算机程序翻译,如有差异,请以英文原文为准。
求助全文
约1分钟内获得全文 求助全文
来源期刊
自引率
0.00%
发文量
106
审稿时长
17 weeks
期刊介绍: JCHIMP provides: up-to-date information in the field of Internal Medicine to community hospital medical professionals a platform for clinical faculty, residents, and medical students to publish research relevant to community hospital programs. Manuscripts that explore aspects of medicine at community hospitals welcome, including but not limited to: the best practices of community academic programs community hospital-based research opinion and insight from community hospital leadership and faculty the scholarly work of residents and medical students affiliated with community hospitals.
×
引用
GB/T 7714-2015
复制
MLA
复制
APA
复制
导出至
BibTeX EndNote RefMan NoteFirst NoteExpress
×
提示
您的信息不完整,为了账户安全,请先补充。
现在去补充
×
提示
您因"违规操作"
具体请查看互助需知
我知道了
×
提示
确定
请完成安全验证×
copy
已复制链接
快去分享给好友吧!
我知道了
右上角分享
点击右上角分享
0
联系我们:info@booksci.cn Book学术提供免费学术资源搜索服务,方便国内外学者检索中英文文献。致力于提供最便捷和优质的服务体验。 Copyright © 2023 布克学术 All rights reserved.
京ICP备2023020795号-1
ghs 京公网安备 11010802042870号
Book学术文献互助
Book学术文献互助群
群 号:604180095
Book学术官方微信