Abdominal Necrotizing Fasciitis Secondary to Perforated Colon Cancer.

IF 0.6 Q3 MEDICINE, GENERAL & INTERNAL
Anirudra Devkota, Anish Shrestha, Mariah M Bilalaga, Greeshma Gaddipati, Christopher J Haas
{"title":"Abdominal Necrotizing Fasciitis Secondary to Perforated Colon Cancer.","authors":"Anirudra Devkota, Anish Shrestha, Mariah M Bilalaga, Greeshma Gaddipati, Christopher J Haas","doi":"10.55729/2000-9666.1516","DOIUrl":null,"url":null,"abstract":"<p><p>Necrotizing Fasciitis (NF) is a severe, potentially fatal soft tissue infection leading to death of muscles, fascia, and surrounding tissue. Perforated colon cancer (CC) is an exceedingly uncommon cause of NF. Here, we present a case of NF secondary to perforated colon cancer. This case emphasizes the significance of prompt identification, aggressive surgical excision of affected tissue, and consideration of rare, yet potentially fatal underlying etiologies in the management of NF as well as underscores the importance of CC screening to prevent devastating complications and mortality.</p>","PeriodicalId":15460,"journal":{"name":"Journal of Community Hospital Internal Medicine Perspectives","volume":"15 4","pages":"73-76"},"PeriodicalIF":0.6000,"publicationDate":"2025-07-03","publicationTypes":"Journal Article","fieldsOfStudy":null,"isOpenAccess":false,"openAccessPdf":"https://www.ncbi.nlm.nih.gov/pmc/articles/PMC12315888/pdf/","citationCount":"0","resultStr":null,"platform":"Semanticscholar","paperid":null,"PeriodicalName":"Journal of Community Hospital Internal Medicine Perspectives","FirstCategoryId":"1085","ListUrlMain":"https://doi.org/10.55729/2000-9666.1516","RegionNum":0,"RegionCategory":null,"ArticlePicture":[],"TitleCN":null,"AbstractTextCN":null,"PMCID":null,"EPubDate":"2025/1/1 0:00:00","PubModel":"eCollection","JCR":"Q3","JCRName":"MEDICINE, GENERAL & INTERNAL","Score":null,"Total":0}
引用次数: 0

Abstract

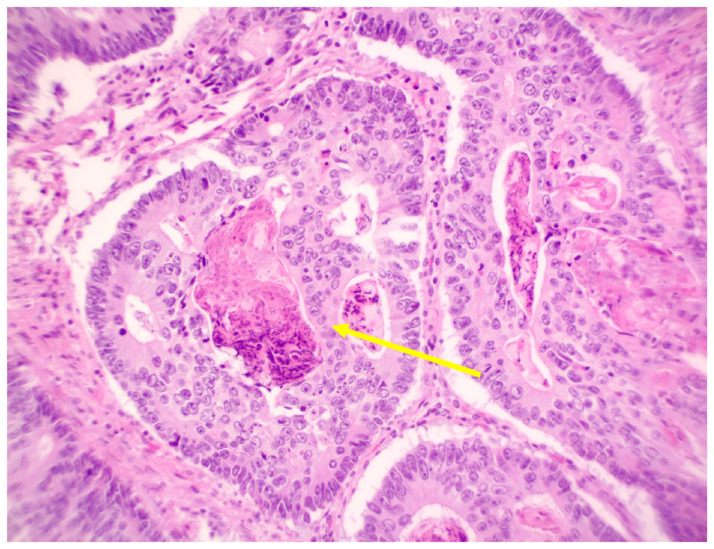
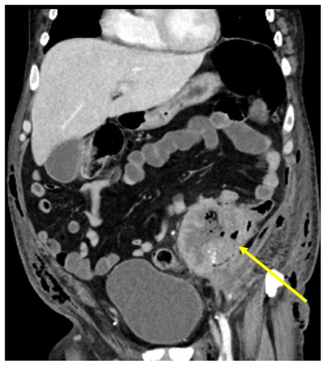
Necrotizing Fasciitis (NF) is a severe, potentially fatal soft tissue infection leading to death of muscles, fascia, and surrounding tissue. Perforated colon cancer (CC) is an exceedingly uncommon cause of NF. Here, we present a case of NF secondary to perforated colon cancer. This case emphasizes the significance of prompt identification, aggressive surgical excision of affected tissue, and consideration of rare, yet potentially fatal underlying etiologies in the management of NF as well as underscores the importance of CC screening to prevent devastating complications and mortality.

Abstract Image

Abstract Image

Abstract Image

结肠穿孔癌继发于腹部坏死性筋膜炎。
坏死性筋膜炎(NF)是一种严重的、可能致命的软组织感染,可导致肌肉、筋膜和周围组织死亡。穿孔性结肠癌(CC)是一种非常罕见的NF病因。这里,我们报告一个继发于穿孔结肠癌的NF病例。本病例强调了在治疗NF时及时识别、积极手术切除受影响组织、考虑罕见但可能致命的潜在病因的重要性,同时也强调了CC筛查对预防破坏性并发症和死亡率的重要性。
本文章由计算机程序翻译,如有差异,请以英文原文为准。
求助全文
约1分钟内获得全文 求助全文
来源期刊
自引率
0.00%
发文量
106
审稿时长
17 weeks
期刊介绍: JCHIMP provides: up-to-date information in the field of Internal Medicine to community hospital medical professionals a platform for clinical faculty, residents, and medical students to publish research relevant to community hospital programs. Manuscripts that explore aspects of medicine at community hospitals welcome, including but not limited to: the best practices of community academic programs community hospital-based research opinion and insight from community hospital leadership and faculty the scholarly work of residents and medical students affiliated with community hospitals.
×
引用
GB/T 7714-2015
复制
MLA
复制
APA
复制
导出至
BibTeX EndNote RefMan NoteFirst NoteExpress
×
提示
您的信息不完整,为了账户安全,请先补充。
现在去补充
×
提示
您因"违规操作"
具体请查看互助需知
我知道了
×
提示
确定
请完成安全验证×
copy
已复制链接
快去分享给好友吧!
我知道了
右上角分享
点击右上角分享
0
联系我们:info@booksci.cn Book学术提供免费学术资源搜索服务,方便国内外学者检索中英文文献。致力于提供最便捷和优质的服务体验。 Copyright © 2023 布克学术 All rights reserved.
京ICP备2023020795号-1
ghs 京公网安备 11010802042870号
Book学术文献互助
Book学术文献互助群
群 号:604180095
Book学术官方微信