Endobronchial Valve Treatment for Persistent Air Leak and Endoscopic Lung Volume Reduction of Native Lung in a Single Lung Transplant Recipient: A Case Report and Literature Review.

IF 0.8 Q4 RESPIRATORY SYSTEM
Respirology Case Reports Pub Date : 2025-07-30 eCollection Date: 2025-08-01 DOI:10.1002/rcr2.70305
Joscha Godts, Isabelle Etienne, Christiane Knoop, Dimitri Leduc, Youri Sokolow, Maarten Vander Kuylen, Olivier Taton
{"title":"Endobronchial Valve Treatment for Persistent Air Leak and Endoscopic Lung Volume Reduction of Native Lung in a Single Lung Transplant Recipient: A Case Report and Literature Review.","authors":"Joscha Godts, Isabelle Etienne, Christiane Knoop, Dimitri Leduc, Youri Sokolow, Maarten Vander Kuylen, Olivier Taton","doi":"10.1002/rcr2.70305","DOIUrl":null,"url":null,"abstract":"<p><p>The use of endobronchial valves (EBV) is a recommended treatment for persistent air leak (PAL) and endoscopic lung volume reduction (ELVR) in selected patients with severe emphysema and absence of collateral ventilation. We report the case of a 52-year-old man who was scheduled for a bilateral sequential lung transplantation, converted to a left single lung transplantation (SLTx) after failure to remove the right lung due to prior thoracic surgery. The post-operative course was complicated by a PAL on the right non-transplanted side, unresponsive to prolonged drainage. Placement of EBV in the right upper and middle lobes, following collateral ventilation evaluation with the Chartis system, resulted in the resolution of the air leak and a concomitant lung volume reduction. Based on a literature review regarding ELVR in single-lung transplanted recipients, we suggest that ELVR with EBV could be a therapeutic option with an acceptable safety profile in this unique population.</p>","PeriodicalId":45846,"journal":{"name":"Respirology Case Reports","volume":"13 8","pages":"e70305"},"PeriodicalIF":0.8000,"publicationDate":"2025-07-30","publicationTypes":"Journal Article","fieldsOfStudy":null,"isOpenAccess":false,"openAccessPdf":"https://www.ncbi.nlm.nih.gov/pmc/articles/PMC12310813/pdf/","citationCount":"0","resultStr":null,"platform":"Semanticscholar","paperid":null,"PeriodicalName":"Respirology Case Reports","FirstCategoryId":"1085","ListUrlMain":"https://doi.org/10.1002/rcr2.70305","RegionNum":0,"RegionCategory":null,"ArticlePicture":[],"TitleCN":null,"AbstractTextCN":null,"PMCID":null,"EPubDate":"2025/8/1 0:00:00","PubModel":"eCollection","JCR":"Q4","JCRName":"RESPIRATORY SYSTEM","Score":null,"Total":0}
引用次数: 0

Abstract

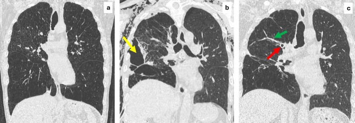
The use of endobronchial valves (EBV) is a recommended treatment for persistent air leak (PAL) and endoscopic lung volume reduction (ELVR) in selected patients with severe emphysema and absence of collateral ventilation. We report the case of a 52-year-old man who was scheduled for a bilateral sequential lung transplantation, converted to a left single lung transplantation (SLTx) after failure to remove the right lung due to prior thoracic surgery. The post-operative course was complicated by a PAL on the right non-transplanted side, unresponsive to prolonged drainage. Placement of EBV in the right upper and middle lobes, following collateral ventilation evaluation with the Chartis system, resulted in the resolution of the air leak and a concomitant lung volume reduction. Based on a literature review regarding ELVR in single-lung transplanted recipients, we suggest that ELVR with EBV could be a therapeutic option with an acceptable safety profile in this unique population.

Abstract Image

Abstract Image

Abstract Image

单肺移植受者持续性漏气和内镜下肺体积缩小的支气管内瓣膜治疗:1例报告和文献复习。
支气管内瓣膜(EBV)的使用是一种推荐的治疗方法,用于持续性空气泄漏(PAL)和内镜下肺体积缩小(ELVR)的患者选择严重肺气肿和缺乏侧支通气。我们报告一例52岁的男性患者,他原计划行双侧序贯肺移植,但由于先前的胸外科手术未能切除右肺而转为左单肺移植(SLTx)。术后过程因右侧非移植侧PAL,对长时间引流无反应而复杂化。在Chartis系统进行侧支通气评估后,将EBV放置在右上叶和中叶,解决了空气泄漏问题,同时减少了肺容量。基于对单肺移植受者ELVR的文献回顾,我们认为ELVR联合EBV可能是这一独特人群中具有可接受安全性的治疗选择。
本文章由计算机程序翻译,如有差异,请以英文原文为准。
求助全文
约1分钟内获得全文 求助全文
来源期刊
Respirology Case Reports
Respirology Case Reports RESPIRATORY SYSTEM-
CiteScore
1.40
自引率
0.00%
发文量
178
审稿时长
8 weeks
期刊介绍: Respirology Case Reports is an open-access online journal dedicated to the publication of original clinical case reports, case series, clinical images and clinical videos in all fields of respiratory medicine. The Journal encourages the international exchange between clinicians and researchers of experiences in diagnosing and treating uncommon diseases or diseases with unusual presentations. All manuscripts are peer-reviewed through a streamlined process that aims at providing a rapid turnaround time from submission to publication.
×
引用
GB/T 7714-2015
复制
MLA
复制
APA
复制
导出至
BibTeX EndNote RefMan NoteFirst NoteExpress
×
提示
您的信息不完整,为了账户安全,请先补充。
现在去补充
×
提示
您因"违规操作"
具体请查看互助需知
我知道了
×
提示
确定
请完成安全验证×
copy
已复制链接
快去分享给好友吧!
我知道了
右上角分享
点击右上角分享
0
联系我们:info@booksci.cn Book学术提供免费学术资源搜索服务,方便国内外学者检索中英文文献。致力于提供最便捷和优质的服务体验。 Copyright © 2023 布克学术 All rights reserved.
京ICP备2023020795号-1
ghs 京公网安备 11010802042870号
Book学术文献互助
Book学术文献互助群
群 号:604180095
Book学术官方微信