Silent Rupture: Atypical Presentation of Aorto-Caval Fistula Secondary to Giant Abdominal Aortic Aneurysm.

IF 0.8 Q3 MEDICINE, GENERAL & INTERNAL
Lamia Azizi, Antonio Al Hazzouri, Philippe Attieh, Rose Mary Daou, Joya Ghaleb, Karam Karam, Mehsen Azizi, Elias Fiani
{"title":"Silent Rupture: Atypical Presentation of Aorto-Caval Fistula Secondary to Giant Abdominal Aortic Aneurysm.","authors":"Lamia Azizi, Antonio Al Hazzouri, Philippe Attieh, Rose Mary Daou, Joya Ghaleb, Karam Karam, Mehsen Azizi, Elias Fiani","doi":"10.1177/23247096251358669","DOIUrl":null,"url":null,"abstract":"<p><p>Abdominal aortic aneurysm (AAA) is a potentially life-threatening condition characterized by abnormal dilation of the abdominal aorta, typically due to chronic arterial wall degeneration. Aorto-caval fistula (ACF) is a rare but serious complication of AAA, occurring in less than 1% of cases overall, with incidence increasing in the setting of rupture. ACF involves the formation of an abnormal communication between the abdominal aorta and the inferior vena cava (IVC), resulting in blood shunting from the arterial to the venous system. This can cause reduced organ perfusion, high-output cardiac failure, and multiorgan dysfunction. We present the case of a 65-year-old hypertensive male with a known AAA who presented with 2 days of abdominal pain but no systemic or gastrointestinal symptoms. Physical examination revealed periumbilical tenderness, while laboratory results were normal. Contrast-enhanced computed tomography of the abdomen revealed a large (10 cm) infrarenal AAA with evidence of rupture, mural thrombus, and a fistulous connection to the IVC. The patient underwent successful endovascular repair with complete resolution of the aneurysm and fistula, as shown in follow-up imaging. This case highlights the importance of high clinical suspicion and the role of early imaging in diagnosing ACFs, even in the absence of classical signs or lab abnormalities. The aim is to raise awareness of such atypical presentations and emphasize our case's uniqueness in its silent, stable, yet severe presentation.</p>","PeriodicalId":16198,"journal":{"name":"Journal of investigative medicine high impact case reports","volume":"13 ","pages":"23247096251358669"},"PeriodicalIF":0.8000,"publicationDate":"2025-01-01","publicationTypes":"Journal Article","fieldsOfStudy":null,"isOpenAccess":false,"openAccessPdf":"https://www.ncbi.nlm.nih.gov/pmc/articles/PMC12317216/pdf/","citationCount":"0","resultStr":null,"platform":"Semanticscholar","paperid":null,"PeriodicalName":"Journal of investigative medicine high impact case reports","FirstCategoryId":"1085","ListUrlMain":"https://doi.org/10.1177/23247096251358669","RegionNum":0,"RegionCategory":null,"ArticlePicture":[],"TitleCN":null,"AbstractTextCN":null,"PMCID":null,"EPubDate":"2025/7/31 0:00:00","PubModel":"Epub","JCR":"Q3","JCRName":"MEDICINE, GENERAL & INTERNAL","Score":null,"Total":0}
引用次数: 0

Abstract

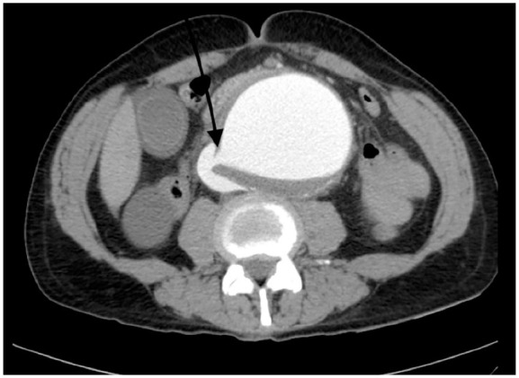
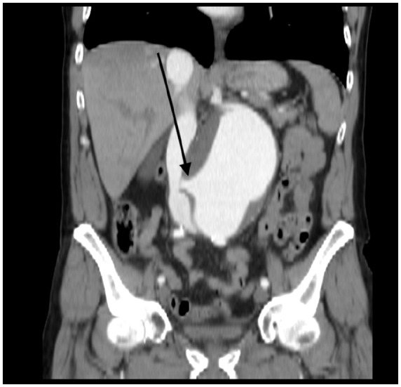
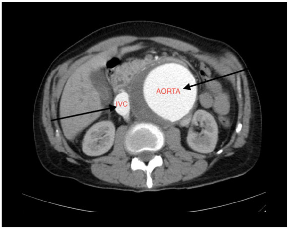
Abdominal aortic aneurysm (AAA) is a potentially life-threatening condition characterized by abnormal dilation of the abdominal aorta, typically due to chronic arterial wall degeneration. Aorto-caval fistula (ACF) is a rare but serious complication of AAA, occurring in less than 1% of cases overall, with incidence increasing in the setting of rupture. ACF involves the formation of an abnormal communication between the abdominal aorta and the inferior vena cava (IVC), resulting in blood shunting from the arterial to the venous system. This can cause reduced organ perfusion, high-output cardiac failure, and multiorgan dysfunction. We present the case of a 65-year-old hypertensive male with a known AAA who presented with 2 days of abdominal pain but no systemic or gastrointestinal symptoms. Physical examination revealed periumbilical tenderness, while laboratory results were normal. Contrast-enhanced computed tomography of the abdomen revealed a large (10 cm) infrarenal AAA with evidence of rupture, mural thrombus, and a fistulous connection to the IVC. The patient underwent successful endovascular repair with complete resolution of the aneurysm and fistula, as shown in follow-up imaging. This case highlights the importance of high clinical suspicion and the role of early imaging in diagnosing ACFs, even in the absence of classical signs or lab abnormalities. The aim is to raise awareness of such atypical presentations and emphasize our case's uniqueness in its silent, stable, yet severe presentation.

Abstract Image

Abstract Image

Abstract Image

无声破裂:巨腹主动脉瘤继发的主动脉-腔静脉瘘的不典型表现。
腹主动脉瘤(AAA)是一种潜在的危及生命的疾病,其特征是腹主动脉异常扩张,通常是由于慢性动脉壁变性所致。主动脉-腔静脉瘘(ACF)是一种罕见但严重的AAA并发症,发生率不到1%,在破裂的情况下发病率增加。ACF涉及在腹主动脉和下腔静脉(IVC)之间形成异常通信,导致血液从动脉系统分流到静脉系统。这可导致器官灌注减少、高输出心力衰竭和多器官功能障碍。我们提出的情况下,65岁的高血压男性与已知的AAA谁提出了2天的腹痛,但没有全身性或胃肠道症状。体格检查发现脐周压痛,实验室检查结果正常。腹部增强计算机断层扫描显示一个大的(10厘米)的肾下AAA,有破裂的证据,附壁血栓,与下腔静脉有瘘连接。患者成功进行了血管内修复,动脉瘤和瘘管完全消失,如随访影像所示。本病例强调了临床高度怀疑的重要性和早期影像学在诊断ACFs中的作用,即使在没有经典体征或实验室异常的情况下。目的是提高对这种非典型表现的认识,并强调我们的案例在其沉默,稳定,但严重的表现中的独特性。
本文章由计算机程序翻译,如有差异,请以英文原文为准。
求助全文
约1分钟内获得全文 求助全文
来源期刊
CiteScore
1.90
自引率
0.00%
发文量
165
审稿时长
12 weeks
期刊介绍: The AFMR is committed to enhancing the training and career development of our members and to furthering its mission to facilitate the conduct of research to improve medical care. Case reports represent an important avenue for trainees (interns, residents, and fellows) and early-stage faculty to demonstrate productive, scholarly activity.
×
引用
GB/T 7714-2015
复制
MLA
复制
APA
复制
导出至
BibTeX EndNote RefMan NoteFirst NoteExpress
×
提示
您的信息不完整,为了账户安全,请先补充。
现在去补充
×
提示
您因"违规操作"
具体请查看互助需知
我知道了
×
提示
确定
请完成安全验证×
copy
已复制链接
快去分享给好友吧!
我知道了
右上角分享
点击右上角分享
0
联系我们:info@booksci.cn Book学术提供免费学术资源搜索服务,方便国内外学者检索中英文文献。致力于提供最便捷和优质的服务体验。 Copyright © 2023 布克学术 All rights reserved.
京ICP备2023020795号-1
ghs 京公网安备 11010802042870号
Book学术文献互助
Book学术文献互助群
群 号:604180095
Book学术官方微信