Age-related macular degeneration, subretinal drusenoid deposits, and cuticular and calcified drusen in black and hispanic subjects.

IF 2.4 Q2 OPHTHALMOLOGY
John M Tan, Yang Fei, Liang Wang, Oscar Otero-Marquez, Tasin R Bhuiyan, J Fernando Arevalo, Gareth M C Lema, Roland Theodore Smith
{"title":"Age-related macular degeneration, subretinal drusenoid deposits, and cuticular and calcified drusen in black and hispanic subjects.","authors":"John M Tan, Yang Fei, Liang Wang, Oscar Otero-Marquez, Tasin R Bhuiyan, J Fernando Arevalo, Gareth M C Lema, Roland Theodore Smith","doi":"10.1186/s40942-025-00710-4","DOIUrl":null,"url":null,"abstract":"<p><strong>Background: </strong>Subretinal drusenoid deposits (SDDs), cuticular drusen, and calcified drusen have been linked to rapid progression of age-related macular degeneration (AMD). SDDs have also been linked to high-risk vascular diseases (HRVDs). However, SDDs, cuticular drusen, and calcified drusen have not been reported in Black and Hispanic populations. We report that these drusen phenotypes occur in Black and Hispanic AMD patients.</p><p><strong>Methods: </strong>Twenty-three Black and Hispanic AMD subjects were identified in a published cross-sectional study of 200 AMD subjects. Spectral-domain optical coherence tomography, near-infrared reflectance imaging, and lipid profiles were obtained in the parent study. Masked readers assigned subjects into 2 groups: SDDs, present with or without drusen, and drusen only, as in the parent study. Calcified and cuticular drusen were independently identified. Subjects were assigned by health history questionnaires into those with or without HRVDs, defined as: cardiac valve defect (i.e., aortic stenosis), myocardial defect (i.e., myocardial infarction), and stroke/transient ischemic attack.</p><p><strong>Results: </strong>10/23 subjects were in the SDD group (3 Black and 7 Hispanic subjects), 13 of 23 were in the drusen only group. 4/23 subjects were identified with cuticular drusen (1 Black and 3 Hispanic subjects) and 4/23 subjects were identified with calcified drusen (2 Black and 2 Hispanic Subjects). All subjects had respective phenotypes indistinguishable from that of White subjects. 3/10 SDD subjects had HRVDs.</p><p><strong>Conclusions: </strong>We report, for the first time to our knowledge, that subretinal drusenoid deposits, calcified drusen, and cuticular drusen are present in some AMD patients who identify as Black or Hispanic. A strong association of SDDs with HRVDs was discovered in the parent study. These diseases are known to be over-represented in these under-served populations. SDDs, calcified drusen, and cuticular drusen also confer high risk for progression to advanced AMD. A diligent search for these drusen phenotypes in minority patients with AMD or with HRVDs is thus warranted. Further studies of larger cohorts of Black and Hispanic AMD subjects are needed to better assess associations of these drusen subtypes with life threatening diseases.</p>","PeriodicalId":14289,"journal":{"name":"International Journal of Retina and Vitreous","volume":"11 1","pages":"85"},"PeriodicalIF":2.4000,"publicationDate":"2025-07-28","publicationTypes":"Journal Article","fieldsOfStudy":null,"isOpenAccess":false,"openAccessPdf":"https://www.ncbi.nlm.nih.gov/pmc/articles/PMC12302460/pdf/","citationCount":"0","resultStr":null,"platform":"Semanticscholar","paperid":null,"PeriodicalName":"International Journal of Retina and Vitreous","FirstCategoryId":"1085","ListUrlMain":"https://doi.org/10.1186/s40942-025-00710-4","RegionNum":0,"RegionCategory":null,"ArticlePicture":[],"TitleCN":null,"AbstractTextCN":null,"PMCID":null,"EPubDate":"","PubModel":"","JCR":"Q2","JCRName":"OPHTHALMOLOGY","Score":null,"Total":0}
引用次数: 0

Abstract

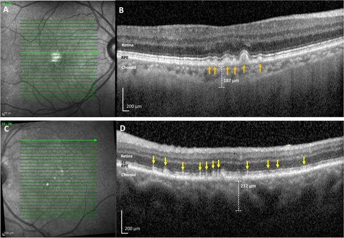
Background: Subretinal drusenoid deposits (SDDs), cuticular drusen, and calcified drusen have been linked to rapid progression of age-related macular degeneration (AMD). SDDs have also been linked to high-risk vascular diseases (HRVDs). However, SDDs, cuticular drusen, and calcified drusen have not been reported in Black and Hispanic populations. We report that these drusen phenotypes occur in Black and Hispanic AMD patients.

Methods: Twenty-three Black and Hispanic AMD subjects were identified in a published cross-sectional study of 200 AMD subjects. Spectral-domain optical coherence tomography, near-infrared reflectance imaging, and lipid profiles were obtained in the parent study. Masked readers assigned subjects into 2 groups: SDDs, present with or without drusen, and drusen only, as in the parent study. Calcified and cuticular drusen were independently identified. Subjects were assigned by health history questionnaires into those with or without HRVDs, defined as: cardiac valve defect (i.e., aortic stenosis), myocardial defect (i.e., myocardial infarction), and stroke/transient ischemic attack.

Results: 10/23 subjects were in the SDD group (3 Black and 7 Hispanic subjects), 13 of 23 were in the drusen only group. 4/23 subjects were identified with cuticular drusen (1 Black and 3 Hispanic subjects) and 4/23 subjects were identified with calcified drusen (2 Black and 2 Hispanic Subjects). All subjects had respective phenotypes indistinguishable from that of White subjects. 3/10 SDD subjects had HRVDs.

Conclusions: We report, for the first time to our knowledge, that subretinal drusenoid deposits, calcified drusen, and cuticular drusen are present in some AMD patients who identify as Black or Hispanic. A strong association of SDDs with HRVDs was discovered in the parent study. These diseases are known to be over-represented in these under-served populations. SDDs, calcified drusen, and cuticular drusen also confer high risk for progression to advanced AMD. A diligent search for these drusen phenotypes in minority patients with AMD or with HRVDs is thus warranted. Further studies of larger cohorts of Black and Hispanic AMD subjects are needed to better assess associations of these drusen subtypes with life threatening diseases.

Abstract Image

Abstract Image

Abstract Image

年龄相关性黄斑变性,视网膜下结节样沉积,角质层和钙化结节在黑人和西班牙裔受试者。
背景:视网膜下黄斑样沉积物(SDDs)、角质层黄斑样沉积物和钙化黄斑样沉积物与年龄相关性黄斑变性(AMD)的快速进展有关。sdd还与高危血管疾病(hrvd)有关。然而,在黑人和西班牙裔人群中,未见sdd、角质层性肾小球和钙化性肾小球的报道。我们报道,这些醉酒表型发生在黑人和西班牙裔AMD患者。方法:在一项已发表的200名AMD患者的横断面研究中,确定了23名黑人和西班牙裔AMD患者。光谱域光学相干层析成像、近红外反射成像和脂质谱在母体研究中获得。蒙面读者将受试者分为两组:与父母的研究一样,SDDs有或没有醉酒,以及只有醉酒。钙化和角质层结节是独立的。通过健康史问卷将受试者分为有或无hrvd,定义为:心脏瓣膜缺损(即主动脉瓣狭窄)、心肌缺损(即心肌梗死)和中风/短暂性脑缺血发作。结果:SDD组有10/23例(黑人3例,西班牙裔7例),仅吸毒组有13例。4/23的受试者被鉴定为表皮赘肉(1名黑人和3名西班牙裔),4/23的受试者被鉴定为钙化赘肉(2名黑人和2名西班牙裔)。所有被试的表型与白人被试没有明显区别。3/10的SDD受试者有hrvd。结论:据我们所知,我们首次报道,在一些黑人或西班牙裔AMD患者中存在视网膜下结节样沉积,钙化结节和角质层结节。在父母的研究中发现了sdd与hrvd的强烈关联。众所周知,这些疾病在这些服务不足的人群中发病率过高。sdd、钙化性肾小球和角质层肾小球也有发展为晚期AMD的高风险。因此,有必要在少数AMD或hrvd患者中孜孜不倦地寻找这些表型。需要对黑人和西班牙裔AMD受试者进行更大队列的进一步研究,以更好地评估这些老年亚型与危及生命的疾病的关联。
本文章由计算机程序翻译,如有差异,请以英文原文为准。
求助全文
约1分钟内获得全文 求助全文
来源期刊
CiteScore
3.50
自引率
4.30%
发文量
81
审稿时长
19 weeks
期刊介绍: International Journal of Retina and Vitreous focuses on the ophthalmic subspecialty of vitreoretinal disorders. The journal presents original articles on new approaches to diagnosis, outcomes of clinical trials, innovations in pharmacological therapy and surgical techniques, as well as basic science advances that impact clinical practice. Topical areas include, but are not limited to: -Imaging of the retina, choroid and vitreous -Innovations in optical coherence tomography (OCT) -Small-gauge vitrectomy, retinal detachment, chromovitrectomy -Electroretinography (ERG), microperimetry, other functional tests -Intraocular tumors -Retinal pharmacotherapy & drug delivery -Diabetic retinopathy & other vascular diseases -Age-related macular degeneration (AMD) & other macular entities
×
引用
GB/T 7714-2015
复制
MLA
复制
APA
复制
导出至
BibTeX EndNote RefMan NoteFirst NoteExpress
×
提示
您的信息不完整,为了账户安全,请先补充。
现在去补充
×
提示
您因"违规操作"
具体请查看互助需知
我知道了
×
提示
确定
请完成安全验证×
copy
已复制链接
快去分享给好友吧!
我知道了
右上角分享
点击右上角分享
0
联系我们:info@booksci.cn Book学术提供免费学术资源搜索服务,方便国内外学者检索中英文文献。致力于提供最便捷和优质的服务体验。 Copyright © 2023 布克学术 All rights reserved.
京ICP备2023020795号-1
ghs 京公网安备 11010802042870号
Book学术文献互助
Book学术文献互助群
群 号:604180095
Book学术官方微信