Glucose absorption in the duodenum is modulated by an estrogen receptor α-dependent regulation of glucose transporter functional expression.

IF 4.1 2区 医学 Q2 ENDOCRINOLOGY & METABOLISM
Jianhong Ding, Xiaoxu Yang, Weixi Shan, Jingyu Xu, Qian Du, Changmei Chen, Qiushi Liao, Jun Lou, Zhe Jin, Mingkai Chen, Rui Xie
{"title":"Glucose absorption in the duodenum is modulated by an estrogen receptor α-dependent regulation of glucose transporter functional expression.","authors":"Jianhong Ding, Xiaoxu Yang, Weixi Shan, Jingyu Xu, Qian Du, Changmei Chen, Qiushi Liao, Jun Lou, Zhe Jin, Mingkai Chen, Rui Xie","doi":"10.1136/bmjdrc-2025-004914","DOIUrl":null,"url":null,"abstract":"<p><strong>Introduction: </strong>The mechanisms of estrogen in glucose metabolism are well established; however, the role of this hormone in glucose absorption remains unclear. In this study, we investigated the effects of estrogen on glucose absorption in humans, mice, and the human intestinal epithelium cell line SCBN.</p><p><strong>Research design and methods: </strong>The ovariectomized (OVX) animal model was established. Radioimmunoassay was used to detect the serum estradiol level. Blood insulin, glucose, and homeostatic model assessment of insulin resistance index were determined. Oral glucose tolerance test was used to detect the glucose tolerance of OVX mice and women aged 20-30 years. Ussing chamber experiments were performed to measure glucose absorption ex vivo in the duodenum of the mice. Western blot and immunohistochemistry were used to detect the expressions of estrogen receptor alpha (ERα), estrogen receptor beta (ERβ), sodium/glucose cotransporter 1 (SGLT1), glucose transporter 2 (GLUT2), phosphorylated protein kinase C (PKC), p75 neurotrophin receptor and cluster of differentiation 36.</p><p><strong>Results: </strong>In women aged 20-30 years, we first observed a correlation between estrogen and blood glucose, with lower glucose tolerance in the premenstrual phase compared with the preovulatory phase. Similarly, compared with the controls, OVX mice showed increased body weight and abdominal fat, decreased levels of serum estradiol, and reduced duodenal (1) expression ERα and ERβ, (2) expression of SGLT1 and GLUT2, and (3) glucose absorption. In SCBN cells, estrogen upregulated SGLT1 and GLUT2 expression; silencing of ERα, but not ERβ, reversed this trend, suggesting that ERα is a key regulator. Mechanistically, estrogen modulates PKC signaling downstream.</p><p><strong>Conclusions: </strong>Our findings suggest that, at least in premenopausal women and female mice, glucose absorption is in part regulated by estrogen via an ERα-dependent modulation of the functional expression of SGLT1 and GLUT2 in the duodenum.</p>","PeriodicalId":9151,"journal":{"name":"BMJ Open Diabetes Research & Care","volume":"13 4","pages":""},"PeriodicalIF":4.1000,"publicationDate":"2025-07-27","publicationTypes":"Journal Article","fieldsOfStudy":null,"isOpenAccess":false,"openAccessPdf":"https://www.ncbi.nlm.nih.gov/pmc/articles/PMC12306370/pdf/","citationCount":"0","resultStr":null,"platform":"Semanticscholar","paperid":null,"PeriodicalName":"BMJ Open Diabetes Research & Care","FirstCategoryId":"3","ListUrlMain":"https://doi.org/10.1136/bmjdrc-2025-004914","RegionNum":2,"RegionCategory":"医学","ArticlePicture":[],"TitleCN":null,"AbstractTextCN":null,"PMCID":null,"EPubDate":"","PubModel":"","JCR":"Q2","JCRName":"ENDOCRINOLOGY & METABOLISM","Score":null,"Total":0}
引用次数: 0

Abstract

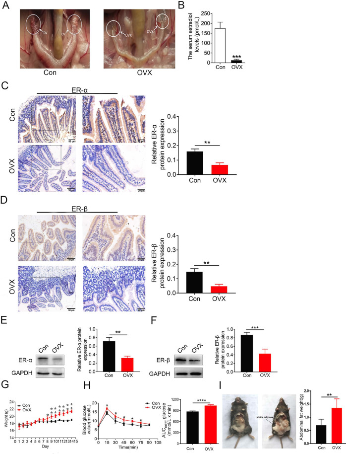
Introduction: The mechanisms of estrogen in glucose metabolism are well established; however, the role of this hormone in glucose absorption remains unclear. In this study, we investigated the effects of estrogen on glucose absorption in humans, mice, and the human intestinal epithelium cell line SCBN.

Research design and methods: The ovariectomized (OVX) animal model was established. Radioimmunoassay was used to detect the serum estradiol level. Blood insulin, glucose, and homeostatic model assessment of insulin resistance index were determined. Oral glucose tolerance test was used to detect the glucose tolerance of OVX mice and women aged 20-30 years. Ussing chamber experiments were performed to measure glucose absorption ex vivo in the duodenum of the mice. Western blot and immunohistochemistry were used to detect the expressions of estrogen receptor alpha (ERα), estrogen receptor beta (ERβ), sodium/glucose cotransporter 1 (SGLT1), glucose transporter 2 (GLUT2), phosphorylated protein kinase C (PKC), p75 neurotrophin receptor and cluster of differentiation 36.

Results: In women aged 20-30 years, we first observed a correlation between estrogen and blood glucose, with lower glucose tolerance in the premenstrual phase compared with the preovulatory phase. Similarly, compared with the controls, OVX mice showed increased body weight and abdominal fat, decreased levels of serum estradiol, and reduced duodenal (1) expression ERα and ERβ, (2) expression of SGLT1 and GLUT2, and (3) glucose absorption. In SCBN cells, estrogen upregulated SGLT1 and GLUT2 expression; silencing of ERα, but not ERβ, reversed this trend, suggesting that ERα is a key regulator. Mechanistically, estrogen modulates PKC signaling downstream.

Conclusions: Our findings suggest that, at least in premenopausal women and female mice, glucose absorption is in part regulated by estrogen via an ERα-dependent modulation of the functional expression of SGLT1 and GLUT2 in the duodenum.

Abstract Image

Abstract Image

Abstract Image

葡萄糖在十二指肠的吸收是由雌激素受体α依赖的葡萄糖转运蛋白功能表达调节。
引言:雌激素在糖代谢中的作用机制已经确立;然而,这种激素在葡萄糖吸收中的作用尚不清楚。在这项研究中,我们研究了雌激素对人、小鼠和人肠上皮细胞系SCBN葡萄糖吸收的影响。研究设计与方法:建立卵巢切除(OVX)动物模型。用放射免疫法检测血清雌二醇水平。测定血胰岛素、血糖和胰岛素抵抗指数的稳态模型评估。采用口服糖耐量试验检测OVX小鼠和20 ~ 30岁女性的糖耐量。采用室内实验法测定小鼠体外十二指肠对葡萄糖的吸收。采用Western blot和免疫组织化学方法检测小鼠雌激素受体α (ERα)、雌激素受体β (ERβ)、钠/葡萄糖共转运蛋白1 (SGLT1)、葡萄糖转运蛋白2 (GLUT2)、磷酸化蛋白激酶C (PKC)、p75神经营养因子受体和分化聚类36的表达。结果:在20-30岁的女性中,我们首次观察到雌激素与血糖之间的相关性,与排卵前相比,经前期的葡萄糖耐量较低。同样,与对照组相比,OVX小鼠的体重和腹部脂肪增加,血清雌二醇水平降低,十二指肠(1)ERα和ERβ表达减少,(2)SGLT1和GLUT2表达减少,(3)葡萄糖吸收减少。在SCBN细胞中,雌激素上调SGLT1和GLUT2的表达;沉默ERα,而不是ERβ,逆转了这一趋势,表明ERα是一个关键的调节因子。从机制上讲,雌激素调节下游PKC信号。结论:我们的研究结果表明,至少在绝经前妇女和雌性小鼠中,雌激素通过er α依赖性调节十二指肠SGLT1和GLUT2的功能表达,部分调节葡萄糖吸收。
本文章由计算机程序翻译,如有差异,请以英文原文为准。
求助全文
约1分钟内获得全文 求助全文
来源期刊
BMJ Open Diabetes Research & Care
BMJ Open Diabetes Research & Care Medicine-Endocrinology, Diabetes and Metabolism
CiteScore
9.30
自引率
2.40%
发文量
123
审稿时长
18 weeks
期刊介绍: BMJ Open Diabetes Research & Care is an open access journal committed to publishing high-quality, basic and clinical research articles regarding type 1 and type 2 diabetes, and associated complications. Only original content will be accepted, and submissions are subject to rigorous peer review to ensure the publication of high-quality — and evidence-based — original research articles.
×
引用
GB/T 7714-2015
复制
MLA
复制
APA
复制
导出至
BibTeX EndNote RefMan NoteFirst NoteExpress
×
提示
您的信息不完整,为了账户安全,请先补充。
现在去补充
×
提示
您因"违规操作"
具体请查看互助需知
我知道了
×
提示
确定
请完成安全验证×
copy
已复制链接
快去分享给好友吧!
我知道了
右上角分享
点击右上角分享
0
联系我们:info@booksci.cn Book学术提供免费学术资源搜索服务,方便国内外学者检索中英文文献。致力于提供最便捷和优质的服务体验。 Copyright © 2023 布克学术 All rights reserved.
京ICP备2023020795号-1
ghs 京公网安备 11010802042870号
Book学术文献互助
Book学术文献互助群
群 号:604180095
Book学术官方微信