Rituximab induced lung injury.

IF 2.8 3区 医学 Q2 RESPIRATORY SYSTEM
Rohit Chari, Youmna Abdelghany, Madeleine Purcell, Blaine Kenaa
{"title":"Rituximab induced lung injury.","authors":"Rohit Chari, Youmna Abdelghany, Madeleine Purcell, Blaine Kenaa","doi":"10.1186/s12890-025-03802-x","DOIUrl":null,"url":null,"abstract":"<p><strong>Background: </strong>Rituximab is a chimeric human-mouse immunoglobulin monoclonal antibody with high affinity for CD20 surface antigens expressed by pre-B and B cells that is commonly used as the mainstay for the treatment of B cell non-Hodgkin's lymphomas, including diffuse large B-cell lymphoma (DLBCL). As the drug has become more widely used, rituximab associated Interstitial Lung disease (RTX-ILD) is being recognized as potential complication (Non-infectious pulmonary toxicity of rituximab: a systematic review| Rheumatology| Oxford Academic).</p><p><strong>Case report: </strong>We discuss a 73-year-old woman with newly diagnosed DLBCL who underwent chemotherapy and immunotherapy with rituximab, cyclophosphamide, doxorubicin hydrochloride, vincristine sulphate, and prednisone (R-CHOP). Following her initial rituximab infusion, she developed shortness of breath, chills, rigors, flushing, and agitation. The rituximab infusion was paused, and hypersensitivity reaction medications were given per protocol. The infusion was resumed at a slower rate. Two weeks after initial infusion, she was hospitalized for shortness of breath and hypoxemia to 88% on pulse oximeter requiring 2 L of nasal cannula oxygen. Chest imaging showed new diffuse ground glass opacities (GGOs) on top of apical scarring, upper lobe emphysema, and few calcified granulomas. Patient underwent bronchoscopy for bronchoalveolar lavage (BAL) which was negative for infections and malignancy. Given the temporal relationship, chemotherapy induced lung injury was high on the differential, with rituximab being the possible offending agent. She was started on prednisone 60 milligram for 5 days with a follow up chest imaging showing resolution of the acute GGO. Her O2 requirements decreased from 3 L to 1 L and she was sent home with oxygen. Given the curative intent of R-CHOP, after shared decision making with the patient and her medical team, a treatment plan with a longer course of high and low prednisone was incorporated as part of her chemotherapy session. She was able to successfully finish her treatment with no additional episode, at which point she was able to be successfully tapered off her prednisone.</p><p><strong>Discussion: </strong>Rituximab induced ILD is rare but given its severity requires a high index of suspicion for diagnosis. Given the potential for long term complication, once suspected, treatment should be discontinued. Here we detail how a prolonged steroid course could be used as adjunct therapy of ILD if therapy with rituximab is considered curative and essential.</p><p><strong>Conclusion: </strong>Rituximab and Cyclophosphamide are well described causes of acute pneumonitis post R-CHOP administration. Given curative effect of R-CHOP, careful changes in management plan and co-treatment with steroids could help preserve lung function while allowing for full continuation of the chemotherapy regimen.</p>","PeriodicalId":9148,"journal":{"name":"BMC Pulmonary Medicine","volume":"25 1","pages":"359"},"PeriodicalIF":2.8000,"publicationDate":"2025-07-28","publicationTypes":"Journal Article","fieldsOfStudy":null,"isOpenAccess":false,"openAccessPdf":"https://www.ncbi.nlm.nih.gov/pmc/articles/PMC12302443/pdf/","citationCount":"0","resultStr":null,"platform":"Semanticscholar","paperid":null,"PeriodicalName":"BMC Pulmonary Medicine","FirstCategoryId":"3","ListUrlMain":"https://doi.org/10.1186/s12890-025-03802-x","RegionNum":3,"RegionCategory":"医学","ArticlePicture":[],"TitleCN":null,"AbstractTextCN":null,"PMCID":null,"EPubDate":"","PubModel":"","JCR":"Q2","JCRName":"RESPIRATORY SYSTEM","Score":null,"Total":0}
引用次数: 0

Abstract

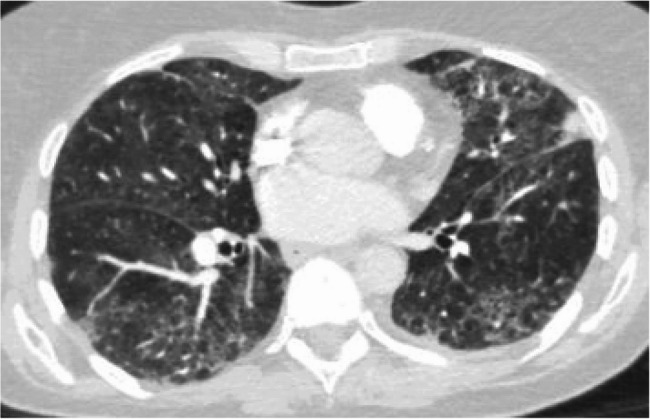
Background: Rituximab is a chimeric human-mouse immunoglobulin monoclonal antibody with high affinity for CD20 surface antigens expressed by pre-B and B cells that is commonly used as the mainstay for the treatment of B cell non-Hodgkin's lymphomas, including diffuse large B-cell lymphoma (DLBCL). As the drug has become more widely used, rituximab associated Interstitial Lung disease (RTX-ILD) is being recognized as potential complication (Non-infectious pulmonary toxicity of rituximab: a systematic review| Rheumatology| Oxford Academic).

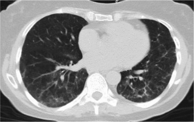
Case report: We discuss a 73-year-old woman with newly diagnosed DLBCL who underwent chemotherapy and immunotherapy with rituximab, cyclophosphamide, doxorubicin hydrochloride, vincristine sulphate, and prednisone (R-CHOP). Following her initial rituximab infusion, she developed shortness of breath, chills, rigors, flushing, and agitation. The rituximab infusion was paused, and hypersensitivity reaction medications were given per protocol. The infusion was resumed at a slower rate. Two weeks after initial infusion, she was hospitalized for shortness of breath and hypoxemia to 88% on pulse oximeter requiring 2 L of nasal cannula oxygen. Chest imaging showed new diffuse ground glass opacities (GGOs) on top of apical scarring, upper lobe emphysema, and few calcified granulomas. Patient underwent bronchoscopy for bronchoalveolar lavage (BAL) which was negative for infections and malignancy. Given the temporal relationship, chemotherapy induced lung injury was high on the differential, with rituximab being the possible offending agent. She was started on prednisone 60 milligram for 5 days with a follow up chest imaging showing resolution of the acute GGO. Her O2 requirements decreased from 3 L to 1 L and she was sent home with oxygen. Given the curative intent of R-CHOP, after shared decision making with the patient and her medical team, a treatment plan with a longer course of high and low prednisone was incorporated as part of her chemotherapy session. She was able to successfully finish her treatment with no additional episode, at which point she was able to be successfully tapered off her prednisone.

Discussion: Rituximab induced ILD is rare but given its severity requires a high index of suspicion for diagnosis. Given the potential for long term complication, once suspected, treatment should be discontinued. Here we detail how a prolonged steroid course could be used as adjunct therapy of ILD if therapy with rituximab is considered curative and essential.

Conclusion: Rituximab and Cyclophosphamide are well described causes of acute pneumonitis post R-CHOP administration. Given curative effect of R-CHOP, careful changes in management plan and co-treatment with steroids could help preserve lung function while allowing for full continuation of the chemotherapy regimen.

Abstract Image

Abstract Image

利妥昔单抗诱导肺损伤。
背景:利图昔单抗是一种嵌合人-小鼠免疫球蛋白单克隆抗体,对B前细胞和B细胞表达的CD20表面抗原具有高亲和力,通常用于治疗B细胞非霍奇金淋巴瘤,包括弥漫性大B细胞淋巴瘤(DLBCL)。随着该药的广泛应用,利妥昔单抗相关间质性肺疾病(rtex - ild)被认为是一种潜在的并发症(利妥昔单抗的非感染性肺毒性:一项系统评价|风湿病学|牛津学术)。病例报告:我们讨论了一名73岁的新诊断的DLBCL女性,她接受了利图昔单抗、环磷酰胺、盐酸阿霉素、硫酸长春新碱和强的松(R-CHOP)的化疗和免疫治疗。首次输注利妥昔单抗后,患者出现呼吸急促、寒战、僵直、潮红和躁动。暂停输注利妥昔单抗,并根据方案给予过敏反应药物。以较慢的速度恢复输注。首次输注两周后,患者因呼吸急促和低氧血症住院,脉搏血氧仪显示低氧血症至88%,需要2l鼻插管供氧。胸部影像学显示新的弥漫性磨玻璃混浊(GGOs),顶端瘢痕,上肺叶肺气肿,少数钙化肉芽肿。患者行支气管镜检查支气管肺泡灌洗(BAL),感染及恶性肿瘤均阴性。考虑到时间关系,化疗引起的肺损伤在差异上很高,美罗华可能是致病药物。她开始服用60毫克强的松,持续5天,随后胸部成像显示急性GGO消退。她的氧气需要量从3升降至1升,她被送回家供氧。考虑到R-CHOP的治疗目的,在与患者和她的医疗团队共同决策后,一个较长的高、低泼尼松疗程的治疗计划被纳入她的化疗疗程。她能够成功地完成她的治疗,没有额外的发作,在这一点上,她能够成功地逐渐减少她的强的松。讨论:利妥昔单抗诱导的ILD是罕见的,但鉴于其严重程度,诊断需要高度的怀疑指数。考虑到长期并发症的可能性,一旦怀疑,应停止治疗。在这里,我们详细说明了如果利妥昔单抗治疗被认为是有效和必要的,延长类固醇疗程如何作为ILD的辅助治疗。结论:利妥昔单抗和环磷酰胺是R-CHOP给药后急性肺炎的病因。考虑到R-CHOP的疗效,谨慎地改变治疗计划和与类固醇联合治疗可以帮助保持肺功能,同时允许化疗方案的完全延续。
本文章由计算机程序翻译,如有差异,请以英文原文为准。
求助全文
约1分钟内获得全文 求助全文
来源期刊
BMC Pulmonary Medicine
BMC Pulmonary Medicine RESPIRATORY SYSTEM-
CiteScore
4.40
自引率
3.20%
发文量
423
审稿时长
6-12 weeks
期刊介绍: BMC Pulmonary Medicine is an open access, peer-reviewed journal that considers articles on all aspects of the prevention, diagnosis and management of pulmonary and associated disorders, as well as related molecular genetics, pathophysiology, and epidemiology.
×
引用
GB/T 7714-2015
复制
MLA
复制
APA
复制
导出至
BibTeX EndNote RefMan NoteFirst NoteExpress
×
提示
您的信息不完整,为了账户安全,请先补充。
现在去补充
×
提示
您因"违规操作"
具体请查看互助需知
我知道了
×
提示
确定
请完成安全验证×
copy
已复制链接
快去分享给好友吧!
我知道了
右上角分享
点击右上角分享
0
联系我们:info@booksci.cn Book学术提供免费学术资源搜索服务,方便国内外学者检索中英文文献。致力于提供最便捷和优质的服务体验。 Copyright © 2023 布克学术 All rights reserved.
京ICP备2023020795号-1
ghs 京公网安备 11010802042870号
Book学术文献互助
Book学术文献互助群
群 号:604180095
Book学术官方微信