Endovascular Treatment of a Symptomatic Vertebral Artery Aneurysm in a Puerperal Patient with Neurofibromatosis Type 1-A Case Report and Review of the Literature.

IF 3 Q2 MEDICINE, RESEARCH & EXPERIMENTAL
Nikola Mirkovic, Marko Prokic, Nikola Prodanovic, Tamara Nikolic Turnic, Nikola Andric, Tijana Prodanovic, Neda Arsenijevic, Ivan Simic, Dragan Knezevic, Aleksandar Matic
{"title":"Endovascular Treatment of a Symptomatic Vertebral Artery Aneurysm in a Puerperal Patient with Neurofibromatosis Type 1-A Case Report and Review of the Literature.","authors":"Nikola Mirkovic, Marko Prokic, Nikola Prodanovic, Tamara Nikolic Turnic, Nikola Andric, Tijana Prodanovic, Neda Arsenijevic, Ivan Simic, Dragan Knezevic, Aleksandar Matic","doi":"10.3390/diseases13070226","DOIUrl":null,"url":null,"abstract":"<p><strong>Introduction: </strong>Primary extracranial vertebral artery aneurysms are sporadic in the general population. They are uncommon in individuals with neurofibromatosis type 1. During pregnancy or in the puerperium, the risk of aneurysm rupture in individuals with neurofibromatosis type 1 and extracranial aneurysms is elevated. Rupture of a vertebral artery aneurysm is an emergency condition and can be fatal.</p><p><strong>Case presentation: </strong>We present the case of a 33-year-old woman in the puerperium with neurofibromatosis type 1 who had a vertebral symptomatic artery aneurysm. During a previous hospitalization, two months before the treatment of the vertebral aneurysm, a same-sided aneurysm of the thyrocervical trunk was successfully treated with endovascular coiling because of aneurysm rupture. In this case report, the vertebral artery aneurysm was successfully managed using a flow diverter stent graft.</p><p><strong>Conclusions: </strong>This is the first reported case of a successfully treated symptomatic vertebral artery aneurysm with a flow diverter stent graft in a patient with neurofibromatosis type 1 during the early puerperium. Endovascular treatment with a stent graft is a minimally invasive, safe, and effective treatment for patients with vertebral artery aneurysms. Early diagnosis of non-ruptured vertebral artery aneurysms is a crucial as well as appropriate treatment, which should be undertaken in a timely manner to prevent serious complications or a fatal outcome.</p>","PeriodicalId":72832,"journal":{"name":"Diseases (Basel, Switzerland)","volume":"13 7","pages":""},"PeriodicalIF":3.0000,"publicationDate":"2025-07-18","publicationTypes":"Journal Article","fieldsOfStudy":null,"isOpenAccess":false,"openAccessPdf":"https://www.ncbi.nlm.nih.gov/pmc/articles/PMC12295916/pdf/","citationCount":"0","resultStr":null,"platform":"Semanticscholar","paperid":null,"PeriodicalName":"Diseases (Basel, Switzerland)","FirstCategoryId":"1085","ListUrlMain":"https://doi.org/10.3390/diseases13070226","RegionNum":0,"RegionCategory":null,"ArticlePicture":[],"TitleCN":null,"AbstractTextCN":null,"PMCID":null,"EPubDate":"","PubModel":"","JCR":"Q2","JCRName":"MEDICINE, RESEARCH & EXPERIMENTAL","Score":null,"Total":0}
引用次数: 0

Abstract

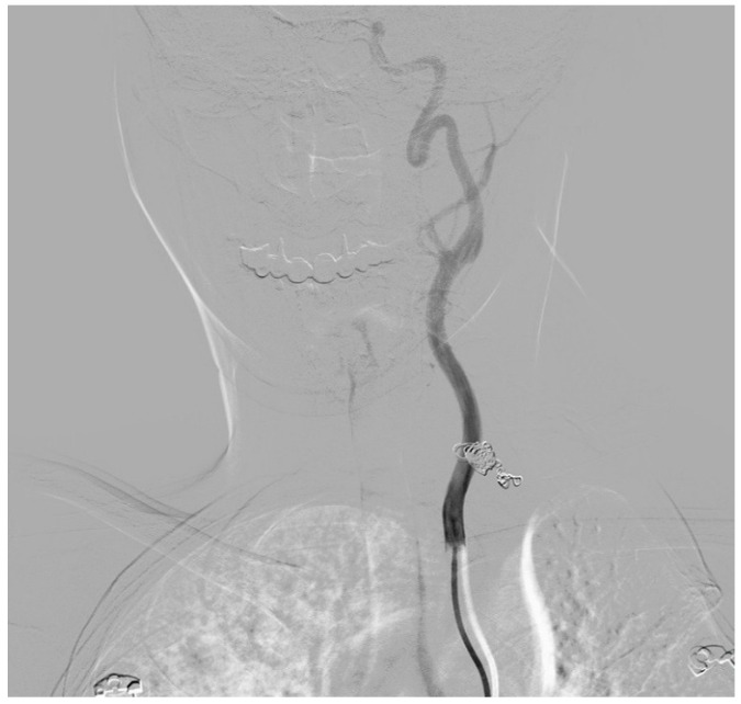
Introduction: Primary extracranial vertebral artery aneurysms are sporadic in the general population. They are uncommon in individuals with neurofibromatosis type 1. During pregnancy or in the puerperium, the risk of aneurysm rupture in individuals with neurofibromatosis type 1 and extracranial aneurysms is elevated. Rupture of a vertebral artery aneurysm is an emergency condition and can be fatal.

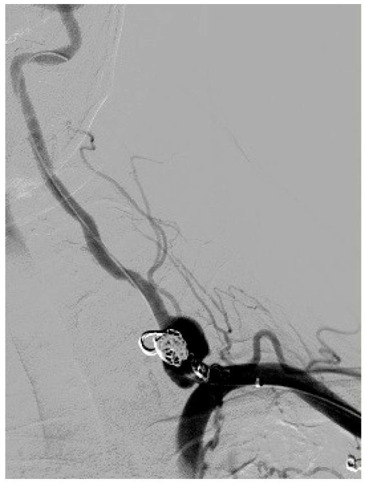
Case presentation: We present the case of a 33-year-old woman in the puerperium with neurofibromatosis type 1 who had a vertebral symptomatic artery aneurysm. During a previous hospitalization, two months before the treatment of the vertebral aneurysm, a same-sided aneurysm of the thyrocervical trunk was successfully treated with endovascular coiling because of aneurysm rupture. In this case report, the vertebral artery aneurysm was successfully managed using a flow diverter stent graft.

Conclusions: This is the first reported case of a successfully treated symptomatic vertebral artery aneurysm with a flow diverter stent graft in a patient with neurofibromatosis type 1 during the early puerperium. Endovascular treatment with a stent graft is a minimally invasive, safe, and effective treatment for patients with vertebral artery aneurysms. Early diagnosis of non-ruptured vertebral artery aneurysms is a crucial as well as appropriate treatment, which should be undertaken in a timely manner to prevent serious complications or a fatal outcome.

Abstract Image

Abstract Image

1-A型神经纤维瘤病产褥期症状性椎动脉瘤的血管内治疗报告及文献复习。
原发性颅外椎动脉动脉瘤在一般人群中是散发性的。它们在1型神经纤维瘤病患者中并不常见。在妊娠期或产褥期,1型神经纤维瘤病和颅外动脉瘤患者动脉瘤破裂的风险升高。椎动脉动脉瘤破裂是一种紧急情况,可能是致命的。病例介绍:我们提出的情况下,一个33岁的妇女在产褥期与神经纤维瘤病1型谁有椎体症状性动脉瘤。在先前的住院治疗中,在治疗椎动脉瘤前两个月,由于动脉瘤破裂,甲状腺颈干的同侧动脉瘤被血管内线圈成功治疗。在这个病例报告中,椎动脉动脉瘤成功地管理使用分流支架移植。结论:这是首次报道的在产褥期早期1型神经纤维瘤病患者中应用分流支架成功治疗症状性椎动脉动脉瘤的病例。血管内支架治疗是一种微创、安全、有效的治疗椎动脉动脉瘤的方法。未破裂椎动脉动脉瘤的早期诊断是至关重要的,也是适当的治疗,应及时进行,以防止严重并发症或致命的结局。
本文章由计算机程序翻译,如有差异,请以英文原文为准。
求助全文
约1分钟内获得全文 求助全文
来源期刊
CiteScore
0.80
自引率
0.00%
发文量
0
审稿时长
6 weeks
×
引用
GB/T 7714-2015
复制
MLA
复制
APA
复制
导出至
BibTeX EndNote RefMan NoteFirst NoteExpress
×
提示
您的信息不完整,为了账户安全,请先补充。
现在去补充
×
提示
您因"违规操作"
具体请查看互助需知
我知道了
×
提示
确定
请完成安全验证×
copy
已复制链接
快去分享给好友吧!
我知道了
右上角分享
点击右上角分享
0
联系我们:info@booksci.cn Book学术提供免费学术资源搜索服务,方便国内外学者检索中英文文献。致力于提供最便捷和优质的服务体验。 Copyright © 2023 布克学术 All rights reserved.
京ICP备2023020795号-1
ghs 京公网安备 11010802042870号
Book学术文献互助
Book学术文献互助群
群 号:604180095
Book学术官方微信