Lupus aortitis mimicking an aortic intramural hematoma.

IF 0.6 Q4 CARDIAC & CARDIOVASCULAR SYSTEMS
Andreas Sarantopoulos, Ioannis Koukis
{"title":"Lupus aortitis mimicking an aortic intramural hematoma.","authors":"Andreas Sarantopoulos, Ioannis Koukis","doi":"10.1007/s12055-025-01932-9","DOIUrl":null,"url":null,"abstract":"<p><p>Systemic lupus erythematosus (SLE) is a chronic autoimmune disorder with diverse clinical manifestations. While small vessel vasculitis is a common SLE complication, lupus aortitis is an exceedingly rare entity with limited documentation. Here, we report a novel case of lupus aortitis misleadingly appearing on imaging studies as an aortic intramural hematoma in a 68-year-old male. The patient initially exhibited fatigue, dyspnea, and pericardial effusion. Imaging studies suggested an intramural hematoma of the ascending aorta and the aortic arch, prompting urgent surgical exploration. Intraoperative findings revealed a thickened, fibrotic, and heavily calcified aorta (egg-shell aorta) without hematoma. Subsequent histopathological and immunological analyses confirmed lupus aortitis. This case underscores the diagnostic challenges posed by this rare SLE complication, which can mimic other aortic pathologies. Early recognition and individualized treatment are paramount. Further studies are needed to elucidate its pathophysiology and establish standardized management guidelines.</p>","PeriodicalId":13285,"journal":{"name":"Indian Journal of Thoracic and Cardiovascular Surgery","volume":"41 8","pages":"1067-1071"},"PeriodicalIF":0.6000,"publicationDate":"2025-08-01","publicationTypes":"Journal Article","fieldsOfStudy":null,"isOpenAccess":false,"openAccessPdf":"https://www.ncbi.nlm.nih.gov/pmc/articles/PMC12276147/pdf/","citationCount":"0","resultStr":null,"platform":"Semanticscholar","paperid":null,"PeriodicalName":"Indian Journal of Thoracic and Cardiovascular Surgery","FirstCategoryId":"1085","ListUrlMain":"https://doi.org/10.1007/s12055-025-01932-9","RegionNum":0,"RegionCategory":null,"ArticlePicture":[],"TitleCN":null,"AbstractTextCN":null,"PMCID":null,"EPubDate":"2025/3/14 0:00:00","PubModel":"Epub","JCR":"Q4","JCRName":"CARDIAC & CARDIOVASCULAR SYSTEMS","Score":null,"Total":0}
引用次数: 0

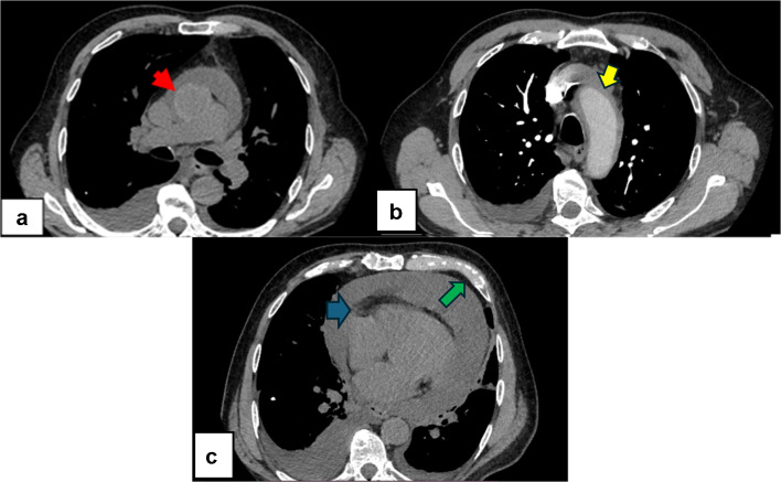
Abstract

Systemic lupus erythematosus (SLE) is a chronic autoimmune disorder with diverse clinical manifestations. While small vessel vasculitis is a common SLE complication, lupus aortitis is an exceedingly rare entity with limited documentation. Here, we report a novel case of lupus aortitis misleadingly appearing on imaging studies as an aortic intramural hematoma in a 68-year-old male. The patient initially exhibited fatigue, dyspnea, and pericardial effusion. Imaging studies suggested an intramural hematoma of the ascending aorta and the aortic arch, prompting urgent surgical exploration. Intraoperative findings revealed a thickened, fibrotic, and heavily calcified aorta (egg-shell aorta) without hematoma. Subsequent histopathological and immunological analyses confirmed lupus aortitis. This case underscores the diagnostic challenges posed by this rare SLE complication, which can mimic other aortic pathologies. Early recognition and individualized treatment are paramount. Further studies are needed to elucidate its pathophysiology and establish standardized management guidelines.

Abstract Image

Abstract Image

狼疮性大动脉炎模拟主动脉壁内血肿。
系统性红斑狼疮(SLE)是一种具有多种临床表现的慢性自身免疫性疾病。小血管炎是一种常见的SLE并发症,狼疮主动脉炎是一种极为罕见的疾病,文献记载有限。在此,我们报告一位68岁男性的狼疮性大动脉炎,在影像学检查上被误认为是主动脉壁内血肿。患者最初表现为疲劳、呼吸困难和心包积液。影像学检查提示升主动脉和主动脉弓壁内血肿,提示紧急手术探查。术中发现主动脉增厚、纤维化、严重钙化(蛋壳主动脉),无血肿。随后的组织病理学和免疫学分析证实狼疮主动脉炎。这个病例强调了这种罕见的SLE并发症所带来的诊断挑战,它可以模仿其他主动脉病变。早期识别和个体化治疗至关重要。需要进一步的研究来阐明其病理生理学和建立标准化的治疗指南。
本文章由计算机程序翻译,如有差异,请以英文原文为准。
求助全文
约1分钟内获得全文 求助全文
来源期刊
Indian Journal of Thoracic and Cardiovascular Surgery
Indian Journal of Thoracic and Cardiovascular Surgery CARDIAC & CARDIOVASCULAR SYSTEMS-
CiteScore
1.20
自引率
14.30%
发文量
141
期刊介绍: The primary aim of the Indian Journal of Thoracic and Cardiovascular Surgery is education. The journal aims to dissipate current clinical practices and developments in the area of cardiovascular and thoracic surgery. This includes information on cardiovascular epidemiology, aetiopathogenesis, clinical manifestation etc. The journal accepts manuscripts from cardiovascular anaesthesia, cardiothoracic and vascular nursing and technology development and new/innovative products.The journal is the official publication of the Indian Association of Cardiovascular and Thoracic Surgeons which has a membership of over 1000 at present.DescriptionThe journal is the official organ of the Indian Association of Cardiovascular-Thoracic Surgeons. It was started in 1982 by Dr. Solomon Victor and ws being published twice a year up to 1996. From 2000 the editorial office moved to Delhi. From 2001 the journal was extended to quarterly and subsequently four issues annually have been printed out at time and regularly without fail. The journal receives manuscripts from members and non-members and cardiovascular surgeons. The manuscripts are peer reviewed by at least two or sometimes three or four reviewers who are on the panel. The manuscript process is now completely online. Funding the journal comes partially from the organization and from revenue generated by subscription and advertisement.
×
引用
GB/T 7714-2015
复制
MLA
复制
APA
复制
导出至
BibTeX EndNote RefMan NoteFirst NoteExpress
×
提示
您的信息不完整,为了账户安全,请先补充。
现在去补充
×
提示
您因"违规操作"
具体请查看互助需知
我知道了
×
提示
确定
请完成安全验证×
copy
已复制链接
快去分享给好友吧!
我知道了
右上角分享
点击右上角分享
0
联系我们:info@booksci.cn Book学术提供免费学术资源搜索服务,方便国内外学者检索中英文文献。致力于提供最便捷和优质的服务体验。 Copyright © 2023 布克学术 All rights reserved.
京ICP备2023020795号-1
ghs 京公网安备 11010802042870号
Book学术文献互助
Book学术文献互助群
群 号:604180095
Book学术官方微信