Epstein-Barr virus (EBV)-induced acute acalculous cholecystitis in children: a case report.

IF 1.7 4区 医学 Q2 PEDIATRICS
Translational pediatrics Pub Date : 2025-06-27 Epub Date: 2025-06-23 DOI:10.21037/tp-2024-614
Xiaoyuan Zhang, Chunlin Wang
{"title":"Epstein-Barr virus (EBV)-induced acute acalculous cholecystitis in children: a case report.","authors":"Xiaoyuan Zhang, Chunlin Wang","doi":"10.21037/tp-2024-614","DOIUrl":null,"url":null,"abstract":"<p><strong>Background: </strong>The clinical manifestations of Epstein-Barr virus (EBV) infection are usually infectious mononucleosis, chronic active EBV infection, and related hemophagocytic lymphohistiocytosis. The incidence of non-calculous cholecystitis in children is not high, and non-calculous cholecystitis in children caused by EBV infection remains a rarity, which is often overlooked in clinical practice. The purpose of this study was to describe the clinical characteristics, laboratory tests, imaging findings, and treatment outcomes of a 9-year-old boy.</p><p><strong>Case description: </strong>This case details a 9-year-old boy who was diagnosed with infectious mononucleosis, acute non-calculous cholecystitis (ACC), and severe hepatic insufficiency. ACC is very rare in pediatric patients, especially because of its own liver function impairment, which is easily overlooked in clinical diagnosis. At the beginning of the disease, the patient presented with upper abdominal pain and vomiting, which was misdiagnosed as acute gastroenteritis, and later with fever, yellowing of the skin, dark yellow urine, repeated abdominal pain and vomiting, and serious liver damage, which was later found to be accompanied by ACC. After receiving regular treatment, the patient's condition improved, with no discomfort reported in the follow-up six months and one year thereafter. This case emphasizes that the clinical work should be carefully performed, in order not to miss any specific clinical manifestations. In this study, we highlight a new problem posed by EBV infection, as well as early awareness of rare cases of ACC in children caused by EBV infection.</p><p><strong>Conclusions: </strong>This case report provides a new supplement for the diagnosis and treatment of rare non-calculous cholecystitis in children caused by EBV infection, and provides a clinical basis for young pediatricians to make a timely diagnosis, reduce misdiagnosis, and prevent missed diagnosis.</p>","PeriodicalId":23294,"journal":{"name":"Translational pediatrics","volume":"14 6","pages":"1326-1331"},"PeriodicalIF":1.7000,"publicationDate":"2025-06-27","publicationTypes":"Journal Article","fieldsOfStudy":null,"isOpenAccess":false,"openAccessPdf":"https://www.ncbi.nlm.nih.gov/pmc/articles/PMC12268718/pdf/","citationCount":"0","resultStr":null,"platform":"Semanticscholar","paperid":null,"PeriodicalName":"Translational pediatrics","FirstCategoryId":"3","ListUrlMain":"https://doi.org/10.21037/tp-2024-614","RegionNum":4,"RegionCategory":"医学","ArticlePicture":[],"TitleCN":null,"AbstractTextCN":null,"PMCID":null,"EPubDate":"2025/6/23 0:00:00","PubModel":"Epub","JCR":"Q2","JCRName":"PEDIATRICS","Score":null,"Total":0}
引用次数: 0

Abstract

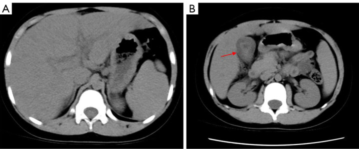
Background: The clinical manifestations of Epstein-Barr virus (EBV) infection are usually infectious mononucleosis, chronic active EBV infection, and related hemophagocytic lymphohistiocytosis. The incidence of non-calculous cholecystitis in children is not high, and non-calculous cholecystitis in children caused by EBV infection remains a rarity, which is often overlooked in clinical practice. The purpose of this study was to describe the clinical characteristics, laboratory tests, imaging findings, and treatment outcomes of a 9-year-old boy.

Case description: This case details a 9-year-old boy who was diagnosed with infectious mononucleosis, acute non-calculous cholecystitis (ACC), and severe hepatic insufficiency. ACC is very rare in pediatric patients, especially because of its own liver function impairment, which is easily overlooked in clinical diagnosis. At the beginning of the disease, the patient presented with upper abdominal pain and vomiting, which was misdiagnosed as acute gastroenteritis, and later with fever, yellowing of the skin, dark yellow urine, repeated abdominal pain and vomiting, and serious liver damage, which was later found to be accompanied by ACC. After receiving regular treatment, the patient's condition improved, with no discomfort reported in the follow-up six months and one year thereafter. This case emphasizes that the clinical work should be carefully performed, in order not to miss any specific clinical manifestations. In this study, we highlight a new problem posed by EBV infection, as well as early awareness of rare cases of ACC in children caused by EBV infection.

Conclusions: This case report provides a new supplement for the diagnosis and treatment of rare non-calculous cholecystitis in children caused by EBV infection, and provides a clinical basis for young pediatricians to make a timely diagnosis, reduce misdiagnosis, and prevent missed diagnosis.

Abstract Image

Abstract Image

eb病毒引起的儿童急性无结石性胆囊炎1例报告。
背景:eb病毒(EBV)感染的临床表现通常为感染性单核细胞增多症、慢性活动性EBV感染及相关的噬血细胞淋巴组织细胞增多症。儿童非结石性胆囊炎发病率不高,由EBV感染引起的儿童非结石性胆囊炎仍属罕见,在临床实践中常被忽视。本研究的目的是描述一名9岁男孩的临床特征、实验室检查、影像学表现和治疗结果。病例描述:这个病例详细描述了一个9岁男孩被诊断为传染性单核细胞增多症,急性非结石性胆囊炎(ACC)和严重肝功能不全。ACC在儿科患者中非常罕见,特别是由于其自身存在肝功能损害,在临床诊断中容易被忽视。患者发病初期表现为上腹痛呕吐,误诊为急性胃肠炎,后出现发热、皮肤发黄、尿暗黄、反复腹痛呕吐、严重肝损害,后发现伴有ACC。经常规治疗后,患者病情好转,随访6个月及1年无不适。本病例强调临床工作要认真进行,以免遗漏任何具体的临床表现。在这项研究中,我们强调了EBV感染带来的新问题,以及早期意识到由EBV感染引起的罕见儿童ACC病例。结论:本病例报告为EBV感染引起的罕见儿童非结石性胆囊炎的诊治提供了新的补充,为青年儿科医生及时诊断、减少误诊、防止漏诊提供了临床依据。
本文章由计算机程序翻译,如有差异,请以英文原文为准。
求助全文
约1分钟内获得全文 求助全文
来源期刊
Translational pediatrics
Translational pediatrics Medicine-Pediatrics, Perinatology and Child Health
CiteScore
4.50
自引率
5.00%
发文量
108
期刊介绍: Information not localized
×
引用
GB/T 7714-2015
复制
MLA
复制
APA
复制
导出至
BibTeX EndNote RefMan NoteFirst NoteExpress
×
提示
您的信息不完整,为了账户安全,请先补充。
现在去补充
×
提示
您因"违规操作"
具体请查看互助需知
我知道了
×
提示
确定
请完成安全验证×
copy
已复制链接
快去分享给好友吧!
我知道了
右上角分享
点击右上角分享
0
联系我们:info@booksci.cn Book学术提供免费学术资源搜索服务,方便国内外学者检索中英文文献。致力于提供最便捷和优质的服务体验。 Copyright © 2023 布克学术 All rights reserved.
京ICP备2023020795号-1
ghs 京公网安备 11010802042870号
Book学术文献互助
Book学术文献互助群
群 号:604180095
Book学术官方微信