Effect of resveratrol on key signaling pathways including SIRT1/AMPK/Smad3/TGF-β and miRNA-141 related to NAFLD in an animal model.

IF 2.1 Q3 CHEMISTRY, MEDICINAL
Research in Pharmaceutical Sciences Pub Date : 2025-06-17 eCollection Date: 2025-06-01 DOI:10.4103/RPS.RPS_220_24
Sahar Yarahmadi, Mohammadjavad Sotoudeheian, Navid Farahmandian, Yaser Mohammadi, Mehdi Koushki, Esmaeel Babaeenezhad, Zeynab Yousefi, Soudabeh Fallah
{"title":"Effect of resveratrol on key signaling pathways including SIRT1/AMPK/Smad3/TGF-β and miRNA-141 related to NAFLD in an animal model.","authors":"Sahar Yarahmadi, Mohammadjavad Sotoudeheian, Navid Farahmandian, Yaser Mohammadi, Mehdi Koushki, Esmaeel Babaeenezhad, Zeynab Yousefi, Soudabeh Fallah","doi":"10.4103/RPS.RPS_220_24","DOIUrl":null,"url":null,"abstract":"<p><strong>Background and purpose: </strong>Non-alcoholic fatty liver disease (NAFLD) is a chronic metabolic condition characterized by the accumulation of excess fat in the liver, which can ultimately lead to fibrosis and cirrhosis. This study investigated the impact of resveratrol on the signaling pathways miR-141/SIRT1/AMPK/TGF- p/Smad3 in fatty liver of male C57/BL6 mice.</p><p><strong>Experimental approach: </strong>Twenty-one male C57/BL6 mice were acclimatized for 10 days and divided into 3 groups (n = 7), including control, NAFLD, and NAFLD + resveratrol groups. After an 8-week HFD to induce NAFLD, the mice were treated with resveratrol (100 mg/kg/day; oral gavage) for 8 weeks. At the end of the study (16 weeks), serum and liver tissue samples were collected. Gene expression was assessed using RT- PCR, while protein levels were analyzed <i>via</i> Western blotting. Statistical analysis was performed using SPSS 16.</p><p><strong>Findings/results: </strong>The results of the study showed that the expression levels of the genes Smad3 and miRNA- 141 were significantly reduced in the resveratrol-treated group compared to the NAFLD group, while the expression levels of SIRT1 and TGF-β were significantly increased. In addition, the Western blot results indicated that the levels of the proteins P-AMPK and SIRT1 in the resveratrol-treated group were significantly higher compared to the NAFLD group. Furthermore, a significant reduction in fat accumulation and degeneration was observed in the histopathological findings of the liver in the resveratrol-treated group.</p><p><strong>Conclusion and implications: </strong>The study concluded that resveratrol has the potential to reduce liver damage from NAFLD by modulating various signaling pathways, particularly TGF-β/Smad3, SIRT1/AMPK, and miRNA-141, leading to improved lipid metabolism and reduced hepatic steatosis. While the findings underscored the multifaceted therapeutic effects of resveratrol, further research and clinical trials are necessary to fully understand its mechanisms and applications in humans.</p>","PeriodicalId":21075,"journal":{"name":"Research in Pharmaceutical Sciences","volume":"20 3","pages":"434-444"},"PeriodicalIF":2.1000,"publicationDate":"2025-06-17","publicationTypes":"Journal Article","fieldsOfStudy":null,"isOpenAccess":false,"openAccessPdf":"https://www.ncbi.nlm.nih.gov/pmc/articles/PMC12271843/pdf/","citationCount":"0","resultStr":null,"platform":"Semanticscholar","paperid":null,"PeriodicalName":"Research in Pharmaceutical Sciences","FirstCategoryId":"1085","ListUrlMain":"https://doi.org/10.4103/RPS.RPS_220_24","RegionNum":0,"RegionCategory":null,"ArticlePicture":[],"TitleCN":null,"AbstractTextCN":null,"PMCID":null,"EPubDate":"2025/6/1 0:00:00","PubModel":"eCollection","JCR":"Q3","JCRName":"CHEMISTRY, MEDICINAL","Score":null,"Total":0}
引用次数: 0

Abstract

Background and purpose: Non-alcoholic fatty liver disease (NAFLD) is a chronic metabolic condition characterized by the accumulation of excess fat in the liver, which can ultimately lead to fibrosis and cirrhosis. This study investigated the impact of resveratrol on the signaling pathways miR-141/SIRT1/AMPK/TGF- p/Smad3 in fatty liver of male C57/BL6 mice.

Experimental approach: Twenty-one male C57/BL6 mice were acclimatized for 10 days and divided into 3 groups (n = 7), including control, NAFLD, and NAFLD + resveratrol groups. After an 8-week HFD to induce NAFLD, the mice were treated with resveratrol (100 mg/kg/day; oral gavage) for 8 weeks. At the end of the study (16 weeks), serum and liver tissue samples were collected. Gene expression was assessed using RT- PCR, while protein levels were analyzed via Western blotting. Statistical analysis was performed using SPSS 16.

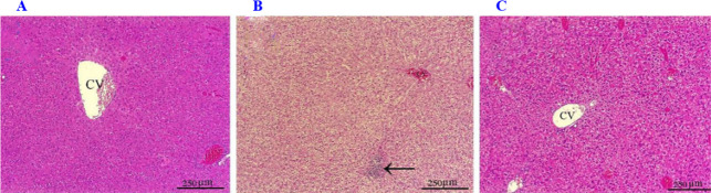
Findings/results: The results of the study showed that the expression levels of the genes Smad3 and miRNA- 141 were significantly reduced in the resveratrol-treated group compared to the NAFLD group, while the expression levels of SIRT1 and TGF-β were significantly increased. In addition, the Western blot results indicated that the levels of the proteins P-AMPK and SIRT1 in the resveratrol-treated group were significantly higher compared to the NAFLD group. Furthermore, a significant reduction in fat accumulation and degeneration was observed in the histopathological findings of the liver in the resveratrol-treated group.

Conclusion and implications: The study concluded that resveratrol has the potential to reduce liver damage from NAFLD by modulating various signaling pathways, particularly TGF-β/Smad3, SIRT1/AMPK, and miRNA-141, leading to improved lipid metabolism and reduced hepatic steatosis. While the findings underscored the multifaceted therapeutic effects of resveratrol, further research and clinical trials are necessary to fully understand its mechanisms and applications in humans.

Abstract Image

Abstract Image

Abstract Image

白藜芦醇对动物模型NAFLD相关关键信号通路SIRT1/AMPK/Smad3/TGF-β和miRNA-141的影响
背景和目的:非酒精性脂肪性肝病(NAFLD)是一种慢性代谢疾病,其特征是肝脏中过量脂肪的积累,最终可导致纤维化和肝硬化。本研究探讨白藜芦醇对雄性C57/BL6小鼠脂肪肝miR-141/SIRT1/AMPK/TGF- p/Smad3信号通路的影响。实验方法:将21只雄性C57/BL6小鼠驯化10 d,分为3组(n = 7),分别为对照组、NAFLD组和NAFLD +白藜芦醇组。HFD诱导NAFLD 8周后,小鼠给予白藜芦醇(100 mg/kg/天;灌胃)8周。在研究结束时(16周),收集血清和肝组织样本。RT- PCR检测基因表达,Western blotting检测蛋白水平。采用SPSS 16进行统计学分析。发现/结果:研究结果显示,与NAFLD组相比,白藜芦醇治疗组Smad3、miRNA- 141基因表达水平显著降低,SIRT1、TGF-β表达水平显著升高。此外,Western blot结果显示,与NAFLD组相比,白藜芦醇处理组P-AMPK和SIRT1蛋白水平显著升高。此外,在白藜芦醇治疗组的肝脏组织病理学结果中观察到脂肪堆积和变性的显著减少。结论及意义:本研究认为,白藜芦醇可能通过调节多种信号通路,特别是TGF-β/Smad3、SIRT1/AMPK和miRNA-141,从而改善脂质代谢,减少肝脏脂肪变性,从而减轻NAFLD的肝损伤。虽然研究结果强调了白藜芦醇的多方面治疗作用,但要充分了解其机制和在人类中的应用,还需要进一步的研究和临床试验。
本文章由计算机程序翻译,如有差异,请以英文原文为准。
求助全文
约1分钟内获得全文 求助全文
来源期刊
Research in Pharmaceutical Sciences
Research in Pharmaceutical Sciences CHEMISTRY, MEDICINAL-
CiteScore
3.60
自引率
19.00%
发文量
50
审稿时长
34 weeks
期刊介绍: Research in Pharmaceutical Sciences (RPS) is included in Thomson Reuters ESCI Web of Science (searchable at WoS master journal list), indexed with PubMed and PubMed Central and abstracted in the Elsevier Bibliographic Databases. Databases include Scopus, EMBASE, EMCare, EMBiology and Elsevier BIOBASE. It is also indexed in several specialized databases including Scientific Information Database (SID), Google Scholar, Iran Medex, Magiran, Index Copernicus (IC) and Islamic World Science Citation Center (ISC).
×
引用
GB/T 7714-2015
复制
MLA
复制
APA
复制
导出至
BibTeX EndNote RefMan NoteFirst NoteExpress
×
提示
您的信息不完整,为了账户安全,请先补充。
现在去补充
×
提示
您因"违规操作"
具体请查看互助需知
我知道了
×
提示
确定
请完成安全验证×
copy
已复制链接
快去分享给好友吧!
我知道了
右上角分享
点击右上角分享
0
联系我们:info@booksci.cn Book学术提供免费学术资源搜索服务,方便国内外学者检索中英文文献。致力于提供最便捷和优质的服务体验。 Copyright © 2023 布克学术 All rights reserved.
京ICP备2023020795号-1
ghs 京公网安备 11010802042870号
Book学术文献互助
Book学术文献互助群
群 号:604180095
Book学术官方微信