Delayed Presentation of Mixed Testicular Tumor 19 Years After Orchiopexy: A Case Report and Literature Review.

IF 2.7 Q2 UROLOGY & NEPHROLOGY
Research and Reports in Urology Pub Date : 2025-07-14 eCollection Date: 2025-01-01 DOI:10.2147/RRU.S521544
Johannes Cansius Prihadi, Sean Peter Haruman, Renaningtyas Tambun, Renandha Septaryan Yustira
{"title":"Delayed Presentation of Mixed Testicular Tumor 19 Years After Orchiopexy: A Case Report and Literature Review.","authors":"Johannes Cansius Prihadi, Sean Peter Haruman, Renaningtyas Tambun, Renandha Septaryan Yustira","doi":"10.2147/RRU.S521544","DOIUrl":null,"url":null,"abstract":"<p><strong>Background: </strong>Testicular cancer is a relatively rare malignancy, accounting for 1% of solid tumors in adult males and 5% of all urological tumors. Orchidopexy has been shown to lower the risk of testicular cancer, but it does not prevent it.</p><p><strong>Case presentation: </strong>A 20-year-old adult male presented with a painful and palpable mass in his right testicle. The patient had orchidopexy at six months old but had been asymptomatic until his recent hospital visit. There was no previous history of cancer. Tumor markers including AFP and β-HCG were found to be elevated. Preoperative ultrasonograghy (USG) showed a solid and cystic mass of the right testis with increased vascularization. Following these findings, the patient underwent an orchidectomy. Histopathology examination revealed mixed type NSGCT of embryonal and choriocarcinoma. However, after completing four cycles of chemotherapy, a CT scan evaluation showed an enlarged mass in the abdomen, which was confirmed to be a mature teratoma.</p><p><strong>Conclusion: </strong>In patients with a history of cryptorchidism, orchidopexy does not rule out the possibility of testicular cancer. Orchidopexy did reduce the risk of seminoma, but not nonseminomatous germ cell tumor, which in our case continued to develop a growing teratoma on the abdomen. It is essential to conduct long-term monitoring of patients who have undergone orchiopexy due to their risk of developing testicular cancer.</p>","PeriodicalId":21008,"journal":{"name":"Research and Reports in Urology","volume":"17 ","pages":"225-231"},"PeriodicalIF":2.7000,"publicationDate":"2025-07-14","publicationTypes":"Journal Article","fieldsOfStudy":null,"isOpenAccess":false,"openAccessPdf":"https://www.ncbi.nlm.nih.gov/pmc/articles/PMC12273713/pdf/","citationCount":"0","resultStr":null,"platform":"Semanticscholar","paperid":null,"PeriodicalName":"Research and Reports in Urology","FirstCategoryId":"1085","ListUrlMain":"https://doi.org/10.2147/RRU.S521544","RegionNum":0,"RegionCategory":null,"ArticlePicture":[],"TitleCN":null,"AbstractTextCN":null,"PMCID":null,"EPubDate":"2025/1/1 0:00:00","PubModel":"eCollection","JCR":"Q2","JCRName":"UROLOGY & NEPHROLOGY","Score":null,"Total":0}
引用次数: 0

Abstract

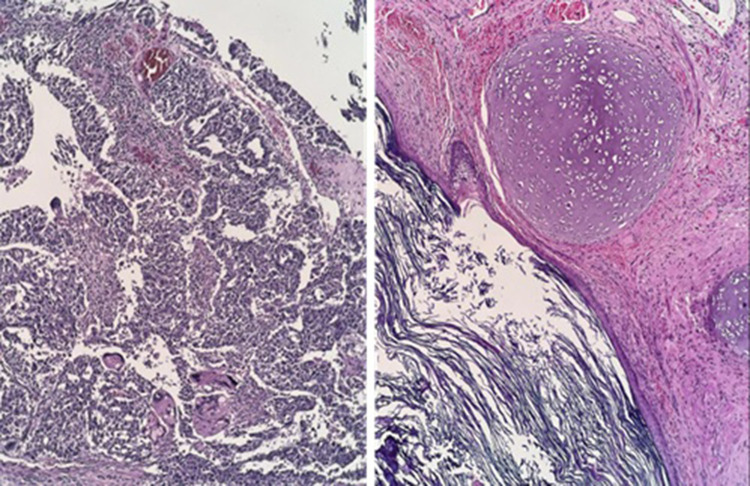
Background: Testicular cancer is a relatively rare malignancy, accounting for 1% of solid tumors in adult males and 5% of all urological tumors. Orchidopexy has been shown to lower the risk of testicular cancer, but it does not prevent it.

Case presentation: A 20-year-old adult male presented with a painful and palpable mass in his right testicle. The patient had orchidopexy at six months old but had been asymptomatic until his recent hospital visit. There was no previous history of cancer. Tumor markers including AFP and β-HCG were found to be elevated. Preoperative ultrasonograghy (USG) showed a solid and cystic mass of the right testis with increased vascularization. Following these findings, the patient underwent an orchidectomy. Histopathology examination revealed mixed type NSGCT of embryonal and choriocarcinoma. However, after completing four cycles of chemotherapy, a CT scan evaluation showed an enlarged mass in the abdomen, which was confirmed to be a mature teratoma.

Conclusion: In patients with a history of cryptorchidism, orchidopexy does not rule out the possibility of testicular cancer. Orchidopexy did reduce the risk of seminoma, but not nonseminomatous germ cell tumor, which in our case continued to develop a growing teratoma on the abdomen. It is essential to conduct long-term monitoring of patients who have undergone orchiopexy due to their risk of developing testicular cancer.

Abstract Image

Abstract Image

Abstract Image

睾丸切除术后19年延迟出现混合性睾丸肿瘤一例报告及文献复习。
背景:睾丸癌是一种较为罕见的恶性肿瘤,约占成年男性实体瘤的1%,占所有泌尿系统肿瘤的5%。睾丸切除术已被证明可以降低患睾丸癌的风险,但并不能预防它。病例介绍:一名20岁的成年男性,在他的右睾丸出现疼痛和可触及的肿块。患者在6个月大时进行了兰花切除术,但直到他最近的医院就诊之前一直没有症状。之前没有癌症病史。肿瘤标志物如甲胎蛋白和β-HCG均升高。术前超声检查(USG)显示右侧睾丸实性囊性肿块伴血管增生。根据这些发现,患者接受了睾丸切除术。组织病理学检查显示胚胎癌和绒毛膜癌混合型NSGCT。然而,在完成四个周期的化疗后,CT扫描评估显示腹部肿大的肿块,确认为成熟畸胎瘤。结论:对于有隐睾病史的患者,睾丸切除术不排除睾丸癌的可能性。睾丸切除术确实降低了精原细胞瘤的风险,但不能降低非精原细胞瘤的生殖细胞瘤的风险,在我们的病例中,非精原细胞瘤继续在腹部发展为不断增长的畸胎瘤。由于有患睾丸癌的风险,对接受睾丸切除术的患者进行长期监测是必要的。
本文章由计算机程序翻译,如有差异,请以英文原文为准。
求助全文
约1分钟内获得全文 求助全文
来源期刊
Research and Reports in Urology
Research and Reports in Urology UROLOGY & NEPHROLOGY-
CiteScore
3.40
自引率
0.00%
发文量
60
审稿时长
16 weeks
期刊介绍: Research and Reports in Urology is an international, peer-reviewed, open access, online journal. Publishing original research, reports, editorials, reviews and commentaries on all aspects of adult and pediatric urology in the clinic and laboratory including the following topics: Pathology, pathophysiology of urological disease Investigation and treatment of urological disease Pharmacology of drugs used for the treatment of urological disease Although the main focus of the journal is to publish research and clinical results in humans; preclinical, animal and in vitro studies will be published where they will shed light on disease processes and potential new therapies. Issues of patient safety and quality of care will also be considered.
×
引用
GB/T 7714-2015
复制
MLA
复制
APA
复制
导出至
BibTeX EndNote RefMan NoteFirst NoteExpress
×
提示
您的信息不完整,为了账户安全,请先补充。
现在去补充
×
提示
您因"违规操作"
具体请查看互助需知
我知道了
×
提示
确定
请完成安全验证×
copy
已复制链接
快去分享给好友吧!
我知道了
右上角分享
点击右上角分享
0
联系我们:info@booksci.cn Book学术提供免费学术资源搜索服务,方便国内外学者检索中英文文献。致力于提供最便捷和优质的服务体验。 Copyright © 2023 布克学术 All rights reserved.
京ICP备2023020795号-1
ghs 京公网安备 11010802042870号
Book学术文献互助
Book学术文献互助群
群 号:604180095
Book学术官方微信