A Rare Case of Hodgkin Lymphoma With Isolated Epitrochlear Lymphadenopathy. Our Experience and Main Differential Diagnosis.

IF 0.7 Q3 MEDICINE, GENERAL & INTERNAL
Case Reports in Medicine Pub Date : 2025-07-10 eCollection Date: 2025-01-01 DOI:10.1155/carm/5548125
Laura Cea, Domiziana Santucci, Caterina Bernetti, Lorenzo Nibid, Valeria Tomarchio, Amalia Bruno, Bruno Beomonte Zobel, Rosario Francesco Grasso, Eliodoro Faiella
{"title":"A Rare Case of Hodgkin Lymphoma With Isolated Epitrochlear Lymphadenopathy. Our Experience and Main Differential Diagnosis.","authors":"Laura Cea, Domiziana Santucci, Caterina Bernetti, Lorenzo Nibid, Valeria Tomarchio, Amalia Bruno, Bruno Beomonte Zobel, Rosario Francesco Grasso, Eliodoro Faiella","doi":"10.1155/carm/5548125","DOIUrl":null,"url":null,"abstract":"<p><p>Hodgkin lymphoma (HL) is a type of lymphoma, characterized by the presence of abnormal Reed-Sternberg cells. It typically affects lymph nodes, generally in the upper body (such as neck, chest, and armpits). It can also involve the spleen, liver, and bone marrow. In the literature, there are sporadic cases of atypical localization of HL. The aim of this article is to report a peculiar case of HL in a 55-year-old male presenting with primary epitrochlear lymphadenopathy as the only localization of disease, also performing a literature review on this atypical presentation. We also summarized the possible underlying malignant pathologies that arise from the soft tissues of the upper limb adjacent to the elbow.</p>","PeriodicalId":9627,"journal":{"name":"Case Reports in Medicine","volume":"2025 ","pages":"5548125"},"PeriodicalIF":0.7000,"publicationDate":"2025-07-10","publicationTypes":"Journal Article","fieldsOfStudy":null,"isOpenAccess":false,"openAccessPdf":"https://www.ncbi.nlm.nih.gov/pmc/articles/PMC12271708/pdf/","citationCount":"0","resultStr":null,"platform":"Semanticscholar","paperid":null,"PeriodicalName":"Case Reports in Medicine","FirstCategoryId":"1085","ListUrlMain":"https://doi.org/10.1155/carm/5548125","RegionNum":0,"RegionCategory":null,"ArticlePicture":[],"TitleCN":null,"AbstractTextCN":null,"PMCID":null,"EPubDate":"2025/1/1 0:00:00","PubModel":"eCollection","JCR":"Q3","JCRName":"MEDICINE, GENERAL & INTERNAL","Score":null,"Total":0}
引用次数: 0

Abstract

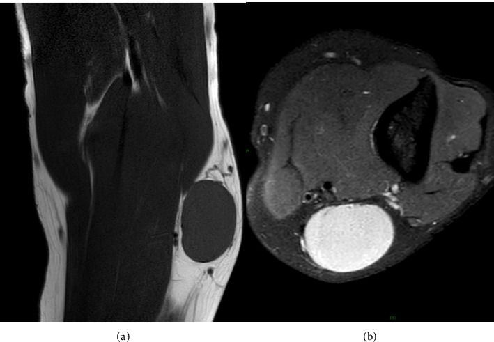
Hodgkin lymphoma (HL) is a type of lymphoma, characterized by the presence of abnormal Reed-Sternberg cells. It typically affects lymph nodes, generally in the upper body (such as neck, chest, and armpits). It can also involve the spleen, liver, and bone marrow. In the literature, there are sporadic cases of atypical localization of HL. The aim of this article is to report a peculiar case of HL in a 55-year-old male presenting with primary epitrochlear lymphadenopathy as the only localization of disease, also performing a literature review on this atypical presentation. We also summarized the possible underlying malignant pathologies that arise from the soft tissues of the upper limb adjacent to the elbow.

Abstract Image

Abstract Image

Abstract Image

霍奇金淋巴瘤合并孤立性上耳蜗淋巴结病1例。我们的经验和主要鉴别诊断。
霍奇金淋巴瘤(HL)是一种淋巴瘤,其特征是存在异常的Reed-Sternberg细胞。它通常影响淋巴结,通常在上半身(如颈部、胸部和腋窝)。它也可累及脾、肝和骨髓。在文献中,有零星的非典型HL局部病例。本文的目的是报告一例特殊的HL病例,55岁男性,以原发性耳蜗淋巴病变为唯一的局部疾病,并对这种非典型表现进行文献回顾。我们也总结了可能的潜在恶性病理,从上肢的软组织邻近肘部产生。
本文章由计算机程序翻译,如有差异,请以英文原文为准。
求助全文
约1分钟内获得全文 求助全文
来源期刊
Case Reports in Medicine
Case Reports in Medicine MEDICINE, GENERAL & INTERNAL-
CiteScore
1.70
自引率
0.00%
发文量
53
审稿时长
13 weeks
×
引用
GB/T 7714-2015
复制
MLA
复制
APA
复制
导出至
BibTeX EndNote RefMan NoteFirst NoteExpress
×
提示
您的信息不完整,为了账户安全,请先补充。
现在去补充
×
提示
您因"违规操作"
具体请查看互助需知
我知道了
×
提示
确定
请完成安全验证×
copy
已复制链接
快去分享给好友吧!
我知道了
右上角分享
点击右上角分享
0
联系我们:info@booksci.cn Book学术提供免费学术资源搜索服务,方便国内外学者检索中英文文献。致力于提供最便捷和优质的服务体验。 Copyright © 2023 布克学术 All rights reserved.
京ICP备2023020795号-1
ghs 京公网安备 11010802042870号
Book学术文献互助
Book学术文献互助群
群 号:604180095
Book学术官方微信