Improved diagnosis of COVID-19 vaccine-associated myocarditis with cardiac scarring identified by cardiac magnetic resonance imaging.

IF 2.8 Q2 CARDIAC & CARDIOVASCULAR SYSTEMS
Josephine Warren, Daryl Cheng, Nigel Crawford, Bryn Jones, Rui Lun Ng, Annette Alafaci, Dion Stub, Philip Lew, Andrew J Taylor
{"title":"Improved diagnosis of COVID-19 vaccine-associated myocarditis with cardiac scarring identified by cardiac magnetic resonance imaging.","authors":"Josephine Warren, Daryl Cheng, Nigel Crawford, Bryn Jones, Rui Lun Ng, Annette Alafaci, Dion Stub, Philip Lew, Andrew J Taylor","doi":"10.1136/openhrt-2025-003333","DOIUrl":null,"url":null,"abstract":"<p><strong>Background: </strong>Myocarditis is a rare but potentially serious complication of COVID-19 vaccination. Cardiac magnetic resonance (CMR) with late gadolinium enhancement (LGE) imaging can identify cardiac scar, which may improve diagnostic accuracy and prognostication. We sought to define the incidence of long-term LGE post COVID-19 vaccine-associated myocarditis (C-VAM) and to establish the additive role of CMR in the diagnostic workup of this condition.</p><p><strong>Methods: </strong>Patients with Brighton Collaboration Criteria Level 1 (definite) or Level 2 (probable) C-VAM were prospectively recruited from the Surveillance of Adverse Events Following Vaccination In the Community database to undergo CMR at least 6 months after diagnosis. As there were limited patients with access to baseline CMR, prior CMR results were not included in the initial case definition. The presence of LGE at follow-up CMR was then integrated into the diagnostic algorithm, and the reclassification rate (definite vs probable) was calculated.</p><p><strong>Results: </strong>67 patients with C-VAM (mean age 30±13 years, 72% male) underwent CMR evaluation. The median time from vaccination to CMR was 548 (range 398-603) days. 20 patients (30%) had LGE. At diagnosis, nine patients (13%) were classified as definite and 58 (87%) as probable myocarditis. With the integration of CMR-LGE data, 16 patients (28%) were reclassified from probable to definite myocarditis.</p><p><strong>Conclusion: </strong>LGE on CMR occurred in one-third of patients with C-VAM. Without CMR at the time of diagnosis, almost one-third of patients are misclassified as probable rather than definite myocarditis, indicating a diagnostic strategy using echocardiography alone is insufficient.</p>","PeriodicalId":19505,"journal":{"name":"Open Heart","volume":"12 2","pages":""},"PeriodicalIF":2.8000,"publicationDate":"2025-07-18","publicationTypes":"Journal Article","fieldsOfStudy":null,"isOpenAccess":false,"openAccessPdf":"https://www.ncbi.nlm.nih.gov/pmc/articles/PMC12278148/pdf/","citationCount":"0","resultStr":null,"platform":"Semanticscholar","paperid":null,"PeriodicalName":"Open Heart","FirstCategoryId":"1085","ListUrlMain":"https://doi.org/10.1136/openhrt-2025-003333","RegionNum":0,"RegionCategory":null,"ArticlePicture":[],"TitleCN":null,"AbstractTextCN":null,"PMCID":null,"EPubDate":"","PubModel":"","JCR":"Q2","JCRName":"CARDIAC & CARDIOVASCULAR SYSTEMS","Score":null,"Total":0}
引用次数: 0

Abstract

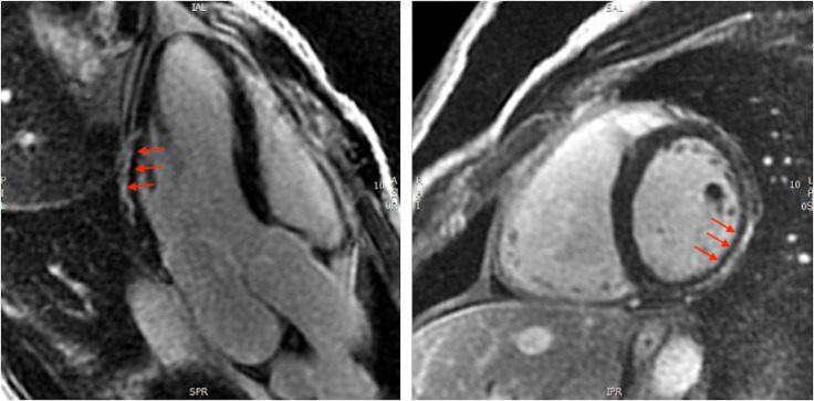
Background: Myocarditis is a rare but potentially serious complication of COVID-19 vaccination. Cardiac magnetic resonance (CMR) with late gadolinium enhancement (LGE) imaging can identify cardiac scar, which may improve diagnostic accuracy and prognostication. We sought to define the incidence of long-term LGE post COVID-19 vaccine-associated myocarditis (C-VAM) and to establish the additive role of CMR in the diagnostic workup of this condition.

Methods: Patients with Brighton Collaboration Criteria Level 1 (definite) or Level 2 (probable) C-VAM were prospectively recruited from the Surveillance of Adverse Events Following Vaccination In the Community database to undergo CMR at least 6 months after diagnosis. As there were limited patients with access to baseline CMR, prior CMR results were not included in the initial case definition. The presence of LGE at follow-up CMR was then integrated into the diagnostic algorithm, and the reclassification rate (definite vs probable) was calculated.

Results: 67 patients with C-VAM (mean age 30±13 years, 72% male) underwent CMR evaluation. The median time from vaccination to CMR was 548 (range 398-603) days. 20 patients (30%) had LGE. At diagnosis, nine patients (13%) were classified as definite and 58 (87%) as probable myocarditis. With the integration of CMR-LGE data, 16 patients (28%) were reclassified from probable to definite myocarditis.

Conclusion: LGE on CMR occurred in one-third of patients with C-VAM. Without CMR at the time of diagnosis, almost one-third of patients are misclassified as probable rather than definite myocarditis, indicating a diagnostic strategy using echocardiography alone is insufficient.

Abstract Image

Abstract Image

Abstract Image

通过心脏磁共振成像提高COVID-19疫苗相关心肌炎合并心脏瘢痕的诊断
背景:心肌炎是一种罕见但潜在严重的COVID-19疫苗接种并发症。心脏磁共振(CMR)与晚期钆增强(LGE)成像可以识别心脏瘢痕,提高诊断准确性和预后。我们试图确定COVID-19疫苗相关性心肌炎(C-VAM)后长期LGE的发生率,并确定CMR在该病诊断中的附加作用。方法:从社区疫苗接种后不良事件监测数据库中前瞻性招募具有布莱顿协作标准1级(明确)或2级(可能)C-VAM的患者,在诊断后至少6个月接受CMR。由于获得基线CMR的患者有限,先前的CMR结果未包括在初始病例定义中。然后将随访CMR中LGE的存在纳入诊断算法,并计算重分类率(确定vs可能)。结果:67例C-VAM患者(平均年龄30±13岁,72%男性)行CMR评估。从接种疫苗到CMR的中位时间为548天(范围398-603天)。LGE 20例(30%)。诊断时,9例(13%)确诊为心肌炎,58例(87%)可能为心肌炎。结合CMR-LGE数据,16例患者(28%)从可能的心肌炎重新分类到确定的心肌炎。结论:三分之一的C-VAM患者发生CMR上的LGE。在诊断时没有CMR,几乎三分之一的患者被误诊为可能的心肌炎,而不是明确的心肌炎,这表明仅使用超声心动图的诊断策略是不够的。
本文章由计算机程序翻译,如有差异,请以英文原文为准。
求助全文
约1分钟内获得全文 求助全文
来源期刊
Open Heart
Open Heart CARDIAC & CARDIOVASCULAR SYSTEMS-
CiteScore
4.60
自引率
3.70%
发文量
145
审稿时长
20 weeks
期刊介绍: Open Heart is an online-only, open access cardiology journal that aims to be “open” in many ways: open access (free access for all readers), open peer review (unblinded peer review) and open data (data sharing is encouraged). The goal is to ensure maximum transparency and maximum impact on research progress and patient care. The journal is dedicated to publishing high quality, peer reviewed medical research in all disciplines and therapeutic areas of cardiovascular medicine. Research is published across all study phases and designs, from study protocols to phase I trials to meta-analyses, including small or specialist studies. Opinionated discussions on controversial topics are welcomed. Open Heart aims to operate a fast submission and review process with continuous publication online, to ensure timely, up-to-date research is available worldwide. The journal adheres to a rigorous and transparent peer review process, and all articles go through a statistical assessment to ensure robustness of the analyses. Open Heart is an official journal of the British Cardiovascular Society.
×
引用
GB/T 7714-2015
复制
MLA
复制
APA
复制
导出至
BibTeX EndNote RefMan NoteFirst NoteExpress
×
提示
您的信息不完整,为了账户安全,请先补充。
现在去补充
×
提示
您因"违规操作"
具体请查看互助需知
我知道了
×
提示
确定
请完成安全验证×
copy
已复制链接
快去分享给好友吧!
我知道了
右上角分享
点击右上角分享
0
联系我们:info@booksci.cn Book学术提供免费学术资源搜索服务,方便国内外学者检索中英文文献。致力于提供最便捷和优质的服务体验。 Copyright © 2023 布克学术 All rights reserved.
京ICP备2023020795号-1
ghs 京公网安备 11010802042870号
Book学术文献互助
Book学术文献互助群
群 号:604180095
Book学术官方微信