Bronchial Dieulafoy: Diagnostic Utility of Endobronchial Ultrasound.

IF 0.8 Q4 RESPIRATORY SYSTEM
Respirology Case Reports Pub Date : 2025-07-16 eCollection Date: 2025-07-01 DOI:10.1002/rcr2.70282
Chee Kiang Phua, Chee Kiang Tay, Carrie Kah Lai Leong
{"title":"Bronchial Dieulafoy: Diagnostic Utility of Endobronchial Ultrasound.","authors":"Chee Kiang Phua, Chee Kiang Tay, Carrie Kah Lai Leong","doi":"10.1002/rcr2.70282","DOIUrl":null,"url":null,"abstract":"<p><p>We report a case of bronchial Dieulafoy presenting with haemoptysis, initially resembling an endobronchial tumour on bronchoscopy. This case highlights the critical role of EBUS in the assessment of suspicious endobronchial lesions and in preventing potentially life-threatening complications from inadvertent biopsy.</p>","PeriodicalId":45846,"journal":{"name":"Respirology Case Reports","volume":"13 7","pages":"e70282"},"PeriodicalIF":0.8000,"publicationDate":"2025-07-16","publicationTypes":"Journal Article","fieldsOfStudy":null,"isOpenAccess":false,"openAccessPdf":"https://www.ncbi.nlm.nih.gov/pmc/articles/PMC12266949/pdf/","citationCount":"0","resultStr":null,"platform":"Semanticscholar","paperid":null,"PeriodicalName":"Respirology Case Reports","FirstCategoryId":"1085","ListUrlMain":"https://doi.org/10.1002/rcr2.70282","RegionNum":0,"RegionCategory":null,"ArticlePicture":[],"TitleCN":null,"AbstractTextCN":null,"PMCID":null,"EPubDate":"2025/7/1 0:00:00","PubModel":"eCollection","JCR":"Q4","JCRName":"RESPIRATORY SYSTEM","Score":null,"Total":0}
引用次数: 0

Abstract

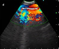
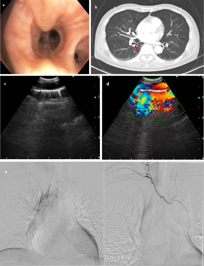
We report a case of bronchial Dieulafoy presenting with haemoptysis, initially resembling an endobronchial tumour on bronchoscopy. This case highlights the critical role of EBUS in the assessment of suspicious endobronchial lesions and in preventing potentially life-threatening complications from inadvertent biopsy.

Abstract Image

Abstract Image

支气管动脉粥样硬化:支气管超声的诊断价值。
我们报告一例支气管十二指肠瘘的表现为咯血,最初类似支气管内肿瘤的支气管镜检查。本病例强调了EBUS在评估可疑支气管内病变和预防因疏忽活检而可能危及生命的并发症方面的关键作用。
本文章由计算机程序翻译,如有差异,请以英文原文为准。
求助全文
约1分钟内获得全文 求助全文
来源期刊
Respirology Case Reports
Respirology Case Reports RESPIRATORY SYSTEM-
CiteScore
1.40
自引率
0.00%
发文量
178
审稿时长
8 weeks
期刊介绍: Respirology Case Reports is an open-access online journal dedicated to the publication of original clinical case reports, case series, clinical images and clinical videos in all fields of respiratory medicine. The Journal encourages the international exchange between clinicians and researchers of experiences in diagnosing and treating uncommon diseases or diseases with unusual presentations. All manuscripts are peer-reviewed through a streamlined process that aims at providing a rapid turnaround time from submission to publication.
×
引用
GB/T 7714-2015
复制
MLA
复制
APA
复制
导出至
BibTeX EndNote RefMan NoteFirst NoteExpress
×
提示
您的信息不完整,为了账户安全,请先补充。
现在去补充
×
提示
您因"违规操作"
具体请查看互助需知
我知道了
×
提示
确定
请完成安全验证×
copy
已复制链接
快去分享给好友吧!
我知道了
右上角分享
点击右上角分享
0
联系我们:info@booksci.cn Book学术提供免费学术资源搜索服务,方便国内外学者检索中英文文献。致力于提供最便捷和优质的服务体验。 Copyright © 2023 布克学术 All rights reserved.
京ICP备2023020795号-1
ghs 京公网安备 11010802042870号
Book学术文献互助
Book学术文献互助群
群 号:604180095
Book学术官方微信