Aesthetic Treatment of Bilateral Peg-Shaped Lateral Incisor and Restoration of a Harmonious Smile: A Case Report.

IF 0.9 Q4 DENTISTRY, ORAL SURGERY & MEDICINE
Case Reports in Dentistry Pub Date : 2025-07-08 eCollection Date: 2025-01-01 DOI:10.1155/crid/3371424
Abdullah Alshehri
{"title":"Aesthetic Treatment of Bilateral Peg-Shaped Lateral Incisor and Restoration of a Harmonious Smile: A Case Report.","authors":"Abdullah Alshehri","doi":"10.1155/crid/3371424","DOIUrl":null,"url":null,"abstract":"<p><p>Peg-shaped lateral incisors are the most prevalent tooth size discrepancy, which can have a number of functional and aesthetic implications in affected people. This case report presents a conservative treatment approach to treat bilateral peg laterals and restore aesthetic harmony. A 21-year-old male patient complained about the shape and unaesthetic appearance of his two front teeth which negatively impacted his smile. The patient presented with bilateral peg laterals in the maxillary arch, and he had a stable occlusion with normal overjet and overlap and good periodontal health. Digital smile design (DSD) analysis revealed a discrepancy in crown width between Teeth #13 and #23 and gingival height discrepancy between Teeth #11 and #21, and #12 and #22. Accordingly, it was planned to perform a crown lengthening procedure to overcome the gingival height discrepancy of Teeth #12 and #21, place a full-contour resin composite restoration on Teeth #12 and # 22 and increase the mesiodistal width of Tooth #13. The patient underwent home teeth whitening for 2 weeks, followed by a 1-week observation period to ensure colour stability of the tooth. Laser gingivectomy was performed to correct the gingival height discrepancy, and incremental resin composite was used to restore the peg-shaped laterals. The restoration was contoured, finished and polished to obtain a smooth and glossy finish. The aesthetic treatment achieved excellent results, and the patient was pleased and excited with his new smile.</p>","PeriodicalId":46841,"journal":{"name":"Case Reports in Dentistry","volume":"2025 ","pages":"3371424"},"PeriodicalIF":0.9000,"publicationDate":"2025-07-08","publicationTypes":"Journal Article","fieldsOfStudy":null,"isOpenAccess":false,"openAccessPdf":"https://www.ncbi.nlm.nih.gov/pmc/articles/PMC12263263/pdf/","citationCount":"0","resultStr":null,"platform":"Semanticscholar","paperid":null,"PeriodicalName":"Case Reports in Dentistry","FirstCategoryId":"1085","ListUrlMain":"https://doi.org/10.1155/crid/3371424","RegionNum":0,"RegionCategory":null,"ArticlePicture":[],"TitleCN":null,"AbstractTextCN":null,"PMCID":null,"EPubDate":"2025/1/1 0:00:00","PubModel":"eCollection","JCR":"Q4","JCRName":"DENTISTRY, ORAL SURGERY & MEDICINE","Score":null,"Total":0}
引用次数: 0

Abstract

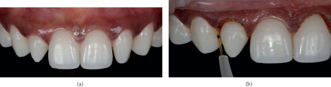
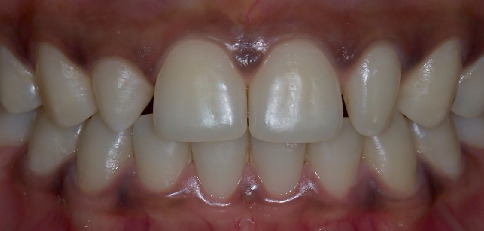
Peg-shaped lateral incisors are the most prevalent tooth size discrepancy, which can have a number of functional and aesthetic implications in affected people. This case report presents a conservative treatment approach to treat bilateral peg laterals and restore aesthetic harmony. A 21-year-old male patient complained about the shape and unaesthetic appearance of his two front teeth which negatively impacted his smile. The patient presented with bilateral peg laterals in the maxillary arch, and he had a stable occlusion with normal overjet and overlap and good periodontal health. Digital smile design (DSD) analysis revealed a discrepancy in crown width between Teeth #13 and #23 and gingival height discrepancy between Teeth #11 and #21, and #12 and #22. Accordingly, it was planned to perform a crown lengthening procedure to overcome the gingival height discrepancy of Teeth #12 and #21, place a full-contour resin composite restoration on Teeth #12 and # 22 and increase the mesiodistal width of Tooth #13. The patient underwent home teeth whitening for 2 weeks, followed by a 1-week observation period to ensure colour stability of the tooth. Laser gingivectomy was performed to correct the gingival height discrepancy, and incremental resin composite was used to restore the peg-shaped laterals. The restoration was contoured, finished and polished to obtain a smooth and glossy finish. The aesthetic treatment achieved excellent results, and the patient was pleased and excited with his new smile.

Abstract Image

Abstract Image

Abstract Image

双侧钉状侧切牙的美学治疗与和谐笑容的修复1例。
栓形侧门牙是最普遍的牙齿大小差异,它可以有许多功能和美学影响的人。本病例报告提出了一种保守的治疗方法来治疗双侧钉侧,并恢复审美和谐。一位21岁的男性患者抱怨他的两颗门牙的形状和不美观,这对他的笑容产生了负面影响。患者表现为双侧上颌弓栓侧,牙合稳定,覆盖和重叠正常,牙周健康良好。数字微笑设计(DSD)分析显示,13号和23号牙齿的冠宽存在差异,11号和21号、12号和22号牙齿的牙龈高度存在差异。因此,计划进行冠延长手术以克服#12和#21牙的牙龈高度差异,在#12和# 22牙上放置全轮廓树脂复合修复体,并增加#13牙的中远端宽度。患者进行了2周的家庭牙齿美白,随后进行了1周的观察,以确保牙齿颜色的稳定性。采用激光牙龈切除术矫正牙龈高度差异,并采用增量树脂复合材料修复牙柱状侧边。修复被轮廓,完成和抛光,以获得光滑和有光泽的完成。美容治疗取得了很好的效果,病人对他的新笑容感到高兴和兴奋。
本文章由计算机程序翻译,如有差异,请以英文原文为准。
求助全文
约1分钟内获得全文 求助全文
来源期刊
Case Reports in Dentistry
Case Reports in Dentistry DENTISTRY, ORAL SURGERY & MEDICINE-
CiteScore
1.40
自引率
12.50%
发文量
107
审稿时长
14 weeks
期刊介绍: Case Reports in Dentistry is a peer-reviewed, Open Access journal that publishes case reports and case series in all areas of dentistry, including periodontal diseases, dental implants, oral pathology, as well as oral and maxillofacial surgery.
×
引用
GB/T 7714-2015
复制
MLA
复制
APA
复制
导出至
BibTeX EndNote RefMan NoteFirst NoteExpress
×
提示
您的信息不完整,为了账户安全,请先补充。
现在去补充
×
提示
您因"违规操作"
具体请查看互助需知
我知道了
×
提示
确定
请完成安全验证×
copy
已复制链接
快去分享给好友吧!
我知道了
右上角分享
点击右上角分享
0
联系我们:info@booksci.cn Book学术提供免费学术资源搜索服务,方便国内外学者检索中英文文献。致力于提供最便捷和优质的服务体验。 Copyright © 2023 布克学术 All rights reserved.
京ICP备2023020795号-1
ghs 京公网安备 11010802042870号
Book学术文献互助
Book学术文献互助群
群 号:604180095
Book学术官方微信