Mosaic tetrasomy 9p detected by CNV-seq but missed by traditional karyotyping in a prenatal case without dysmorphic features.

IF 1.4 4区 生物学 Q4 GENETICS & HEREDITY
Xingkun Yang, Yasi Zhou, Xiaodan Zhu, Tingting Xiao, Miaoling Ou, Linghua Zhang, Xiang Huang, Xiaoling Guo, Chao Li
{"title":"Mosaic tetrasomy 9p detected by CNV-seq but missed by traditional karyotyping in a prenatal case without dysmorphic features.","authors":"Xingkun Yang, Yasi Zhou, Xiaodan Zhu, Tingting Xiao, Miaoling Ou, Linghua Zhang, Xiang Huang, Xiaoling Guo, Chao Li","doi":"10.1186/s13039-025-00720-9","DOIUrl":null,"url":null,"abstract":"<p><strong>Introduction: </strong>A unique case of mosaic tetrasomy 9p was found using CNV-seq analysis of uncultured amniocytes, which was missed by karyotype analysis of cultured amniocytes.</p><p><strong>Case report: </strong>The karyotype was determined to be 46, XY, with mosaic duplication of chromosome 9 from p24.3 to p13.1 indicated by CNV sequencing in the initial amniocentesis. Subsequent prenatal testing revealed a normal karyotype, with FISH analysis of cultured amniocytes identifying 2% tetrasomy of chromosome 9p. The karyotype of cord blood revealed mosaic tetrasomy 9p, while CNV-seq on uncultured cord blood indicated nearly complete tetrasomy 9p.</p><p><strong>Conclusions: </strong>It is recommended to conduct CNV-seq or CMA on uncultured amniocytes in conjunction with karyotype analysis on cultured amniocytes. The presence of mosaic tetrasomy 9p during amniocentesis may result in either a benign condition or an adverse outcome, necessitating informed decision-making for pregnant women facing such circumstances.</p>","PeriodicalId":19099,"journal":{"name":"Molecular Cytogenetics","volume":"18 1","pages":"14"},"PeriodicalIF":1.4000,"publicationDate":"2025-07-14","publicationTypes":"Journal Article","fieldsOfStudy":null,"isOpenAccess":false,"openAccessPdf":"https://www.ncbi.nlm.nih.gov/pmc/articles/PMC12261823/pdf/","citationCount":"0","resultStr":null,"platform":"Semanticscholar","paperid":null,"PeriodicalName":"Molecular Cytogenetics","FirstCategoryId":"99","ListUrlMain":"https://doi.org/10.1186/s13039-025-00720-9","RegionNum":4,"RegionCategory":"生物学","ArticlePicture":[],"TitleCN":null,"AbstractTextCN":null,"PMCID":null,"EPubDate":"","PubModel":"","JCR":"Q4","JCRName":"GENETICS & HEREDITY","Score":null,"Total":0}
引用次数: 0

Abstract

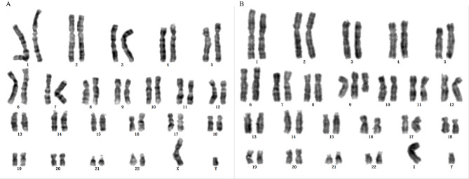
Introduction: A unique case of mosaic tetrasomy 9p was found using CNV-seq analysis of uncultured amniocytes, which was missed by karyotype analysis of cultured amniocytes.

Case report: The karyotype was determined to be 46, XY, with mosaic duplication of chromosome 9 from p24.3 to p13.1 indicated by CNV sequencing in the initial amniocentesis. Subsequent prenatal testing revealed a normal karyotype, with FISH analysis of cultured amniocytes identifying 2% tetrasomy of chromosome 9p. The karyotype of cord blood revealed mosaic tetrasomy 9p, while CNV-seq on uncultured cord blood indicated nearly complete tetrasomy 9p.

Conclusions: It is recommended to conduct CNV-seq or CMA on uncultured amniocytes in conjunction with karyotype analysis on cultured amniocytes. The presence of mosaic tetrasomy 9p during amniocentesis may result in either a benign condition or an adverse outcome, necessitating informed decision-making for pregnant women facing such circumstances.

Abstract Image

Abstract Image

Abstract Image

在无畸形特征的产前病例中,用CNV-seq检测到马赛克四体9p,但传统核型未检测到。
通过对未培养的羊膜细胞进行CNV-seq分析,发现了一例独特的嵌合四体9p病例,该病例在培养的羊膜细胞核型分析中被遗漏。病例报告:经首次羊膜穿刺术测定,核型为46,xy, 9号染色体从p24.3到p13.1存在嵌合复制。随后的产前检查显示核型正常,培养羊膜细胞的FISH分析发现2%的染色体9p四体。脐带血核型显示9p嵌合四体,未培养脐带血CNV-seq显示9p接近完全四体。结论:建议在对培养羊膜细胞进行核型分析的同时,对未培养羊膜细胞进行CNV-seq或CMA检测。在羊膜穿刺术中出现马赛克四体9p可能导致良性状况或不良结果,孕妇面临这种情况时需要知情决策。
本文章由计算机程序翻译,如有差异,请以英文原文为准。
求助全文
约1分钟内获得全文 求助全文
来源期刊
Molecular Cytogenetics
Molecular Cytogenetics GENETICS & HEREDITY-
CiteScore
2.60
自引率
7.70%
发文量
49
审稿时长
>12 weeks
期刊介绍: Molecular Cytogenetics encompasses all aspects of chromosome biology and the application of molecular cytogenetic techniques in all areas of biology and medicine, including structural and functional organization of the chromosome and nucleus, genome variation, expression and evolution, chromosome abnormalities and genomic variations in medical genetics and tumor genetics. Molecular Cytogenetics primarily defines a large set of the techniques that operate either with the entire genome or with specific targeted DNA sequences. Topical areas include, but are not limited to: -Structural and functional organization of chromosome and nucleus- Genome variation, expression and evolution- Animal and plant molecular cytogenetics and genomics- Chromosome abnormalities and genomic variations in clinical genetics- Applications in preimplantation, pre- and post-natal diagnosis- Applications in the central nervous system, cancer and haematology research- Previously unreported applications of molecular cytogenetic techniques- Development of new techniques or significant enhancements to established techniques. This journal is a source for numerous scientists all over the world, who wish to improve or introduce molecular cytogenetic techniques into their practice.
×
引用
GB/T 7714-2015
复制
MLA
复制
APA
复制
导出至
BibTeX EndNote RefMan NoteFirst NoteExpress
×
提示
您的信息不完整,为了账户安全,请先补充。
现在去补充
×
提示
您因"违规操作"
具体请查看互助需知
我知道了
×
提示
确定
请完成安全验证×
copy
已复制链接
快去分享给好友吧!
我知道了
右上角分享
点击右上角分享
0
联系我们:info@booksci.cn Book学术提供免费学术资源搜索服务,方便国内外学者检索中英文文献。致力于提供最便捷和优质的服务体验。 Copyright © 2023 布克学术 All rights reserved.
京ICP备2023020795号-1
ghs 京公网安备 11010802042870号
Book学术文献互助
Book学术文献互助群
群 号:604180095
Book学术官方微信