Elevated tumour markers in the pleural effusion of a patient with spontaneous esophageal rupture: a rare case report.

IF 1.5 4区 医学 Q3 CARDIAC & CARDIOVASCULAR SYSTEMS
Huaimin Liang, Xiaoning Li, Zhengliang Wei
{"title":"Elevated tumour markers in the pleural effusion of a patient with spontaneous esophageal rupture: a rare case report.","authors":"Huaimin Liang, Xiaoning Li, Zhengliang Wei","doi":"10.1186/s13019-025-03539-y","DOIUrl":null,"url":null,"abstract":"<p><strong>Background: </strong>Esophageal rupture is a rare but life-threatening condition. Esophageal tumours do not usually cause esophageal ruptures, and elevated tumour markers have rarely been detected in pleural effusion after esophageal rupture with no detectable tumour. The presence of elevated tumor markers in pleural effusion can lead to a misdiagnosis of esophageal cancer in patients with esophageal rupture, resulting in inappropriate treatment.</p><p><strong>Case presentation: </strong>The 65-year-old male patient who was admitted to the emergency department with left chest pain and dyspnoea after severe vomiting. Chest computed tomography (CT) indicated left hydropneumothorax and mediastinal emphysema. The patient underwent bedside closed thoracic drainage. The drainage fluid was coffee-coloured and turbid, with significantly elevated CA199, CA125 and CEA levels. After transferring the patient to the emergency operating room, the esophageal defect was repaired, and a jejunostomy was performed. No tumours were detected in the thoracic cavity during surgery. The patient recovered and was discharged from the hospital.</p><p><strong>Conclusion: </strong>Esophageal tumours should be suspected in patients with elevated pleural effusion CA199, CA125 and CEA levels. The findings from chest CT and oesophagography did not support the diagnosis of a thoracic tumor.These tumor markers may be concomitant changes during esophageal rupture.</p>","PeriodicalId":15201,"journal":{"name":"Journal of Cardiothoracic Surgery","volume":"20 1","pages":"301"},"PeriodicalIF":1.5000,"publicationDate":"2025-07-14","publicationTypes":"Journal Article","fieldsOfStudy":null,"isOpenAccess":false,"openAccessPdf":"https://www.ncbi.nlm.nih.gov/pmc/articles/PMC12257646/pdf/","citationCount":"0","resultStr":null,"platform":"Semanticscholar","paperid":null,"PeriodicalName":"Journal of Cardiothoracic Surgery","FirstCategoryId":"3","ListUrlMain":"https://doi.org/10.1186/s13019-025-03539-y","RegionNum":4,"RegionCategory":"医学","ArticlePicture":[],"TitleCN":null,"AbstractTextCN":null,"PMCID":null,"EPubDate":"","PubModel":"","JCR":"Q3","JCRName":"CARDIAC & CARDIOVASCULAR SYSTEMS","Score":null,"Total":0}
引用次数: 0

Abstract

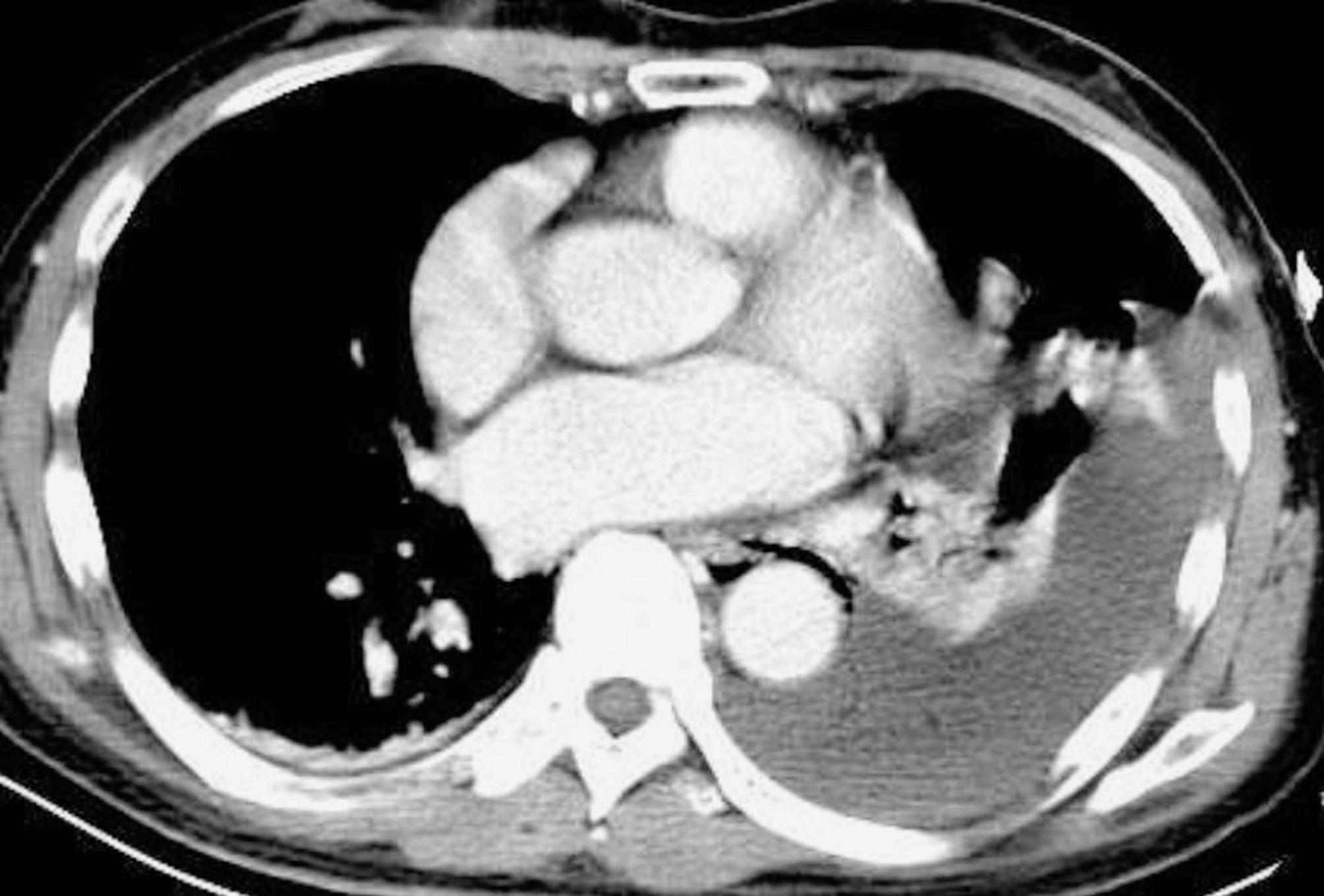
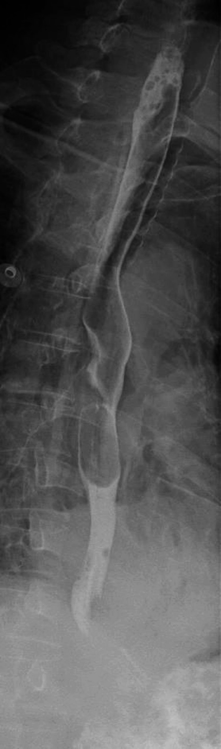
Background: Esophageal rupture is a rare but life-threatening condition. Esophageal tumours do not usually cause esophageal ruptures, and elevated tumour markers have rarely been detected in pleural effusion after esophageal rupture with no detectable tumour. The presence of elevated tumor markers in pleural effusion can lead to a misdiagnosis of esophageal cancer in patients with esophageal rupture, resulting in inappropriate treatment.

Case presentation: The 65-year-old male patient who was admitted to the emergency department with left chest pain and dyspnoea after severe vomiting. Chest computed tomography (CT) indicated left hydropneumothorax and mediastinal emphysema. The patient underwent bedside closed thoracic drainage. The drainage fluid was coffee-coloured and turbid, with significantly elevated CA199, CA125 and CEA levels. After transferring the patient to the emergency operating room, the esophageal defect was repaired, and a jejunostomy was performed. No tumours were detected in the thoracic cavity during surgery. The patient recovered and was discharged from the hospital.

Conclusion: Esophageal tumours should be suspected in patients with elevated pleural effusion CA199, CA125 and CEA levels. The findings from chest CT and oesophagography did not support the diagnosis of a thoracic tumor.These tumor markers may be concomitant changes during esophageal rupture.

Abstract Image

Abstract Image

Abstract Image

自发性食管破裂患者胸腔积液中肿瘤标志物升高:一例罕见病例报告。
背景:食管破裂是一种罕见但危及生命的疾病。食管肿瘤通常不会引起食管破裂,在食管破裂后未检测到肿瘤的胸膜积液中很少检测到肿瘤标志物升高。在食管破裂患者中,胸腔积液中肿瘤标志物的升高可导致食管癌的误诊,从而导致治疗不当。病例介绍:65岁男性患者,因严重呕吐后左胸痛及呼吸困难入院急诊科。胸部电脑断层扫描显示左侧气胸积液及纵隔肺气肿。患者行床边胸腔闭式引流术。排液呈咖啡色浑浊,CA199、CA125和CEA水平明显升高。将患者转至急诊手术室后,对食管缺损进行修复,并行空肠造口术。术中未见胸腔肿瘤。病人痊愈出院了。结论:胸膜积液CA199、CA125、CEA水平升高,应怀疑为食管肿瘤。胸部CT和食道造影的结果不支持胸部肿瘤的诊断。这些肿瘤标志物可能是食管破裂时的伴随变化。
本文章由计算机程序翻译,如有差异,请以英文原文为准。
求助全文
约1分钟内获得全文 求助全文
来源期刊
Journal of Cardiothoracic Surgery
Journal of Cardiothoracic Surgery 医学-心血管系统
CiteScore
2.50
自引率
6.20%
发文量
286
审稿时长
4-8 weeks
期刊介绍: Journal of Cardiothoracic Surgery is an open access journal that encompasses all aspects of research in the field of Cardiology, and Cardiothoracic and Vascular Surgery. The journal publishes original scientific research documenting clinical and experimental advances in cardiac, vascular and thoracic surgery, and related fields. Topics of interest include surgical techniques, survival rates, surgical complications and their outcomes; along with basic sciences, pediatric conditions, transplantations and clinical trials. Journal of Cardiothoracic Surgery is of interest to cardiothoracic and vascular surgeons, cardiothoracic anaesthesiologists, cardiologists, chest physicians, and allied health professionals.
×
引用
GB/T 7714-2015
复制
MLA
复制
APA
复制
导出至
BibTeX EndNote RefMan NoteFirst NoteExpress
×
提示
您的信息不完整,为了账户安全,请先补充。
现在去补充
×
提示
您因"违规操作"
具体请查看互助需知
我知道了
×
提示
确定
请完成安全验证×
copy
已复制链接
快去分享给好友吧!
我知道了
右上角分享
点击右上角分享
0
联系我们:info@booksci.cn Book学术提供免费学术资源搜索服务,方便国内外学者检索中英文文献。致力于提供最便捷和优质的服务体验。 Copyright © 2023 布克学术 All rights reserved.
京ICP备2023020795号-1
ghs 京公网安备 11010802042870号
Book学术文献互助
Book学术文献互助群
群 号:604180095
Book学术官方微信