Association of cervical artery stenosis with common cerebral microvascular lesions and coronary artery calcifications.

Frontiers in neuroimaging Pub Date : 2025-06-27 eCollection Date: 2025-01-01 DOI:10.3389/fnimg.2025.1559481
Chiheb Louizi, Eya Khadhraoui, Joachim Lotz, Daniel Behme, Erelle Fuchs, Johannes T Kowallick, Sebastian J Müller
{"title":"Association of cervical artery stenosis with common cerebral microvascular lesions and coronary artery calcifications.","authors":"Chiheb Louizi, Eya Khadhraoui, Joachim Lotz, Daniel Behme, Erelle Fuchs, Johannes T Kowallick, Sebastian J Müller","doi":"10.3389/fnimg.2025.1559481","DOIUrl":null,"url":null,"abstract":"<p><strong>Background: </strong>A connection between cerebral white matter hyperintensities and coronary artery disease is widely discussed. Both conditions are more prevalent in the elderly. While white matter hyperintensities are often associated with small vessel disease, atherosclerosis is the primary cause of coronary artery disease.</p><p><strong>Methods: </strong>We evaluated staging CT scans of the body and staging brain MRIs from patients with newly diagnosed malignant melanoma (without metastasis) between 01/01/2015 and 06/30/2023. CT scans were assessed for coronary artery disease using a modified overall visual assessment. Fazekas scores were used to evaluate the MRI for white matter changes. Additional clinical data were obtained from digital patient records.</p><p><strong>Results: </strong>We analyzed data from 120 patients (57 females, mean age 68 years, standard deviation 14 years) and found a correlation between coronary artery disease and both age (<i>r</i> = 0.48, <i>α</i> = 0.04) and Fazekas score (periventricular r = 0.46, subcortical and deep white matter r = 0.55). A linear model including age, coronary artery disease, diabetes and arterial hypertension served as a predictor for white matter disease and showed significant correlations. Adding (1) atherosclerosis as well as (2) carotid stenosis to the model resulted in (1) a slight decrease in significance and (2) the unmasking of a potential spurious correlation with carotid stenosis.</p><p><strong>Conclusion: </strong>There is a significant correlation between white matter hyperintensities and both carotid stenoses and coronary artery disease. This finding is clinically relevant: in patients with white matter hyperintensities and coronary artery disease, carotid stenosis should be ruled out.</p>","PeriodicalId":73094,"journal":{"name":"Frontiers in neuroimaging","volume":"4 ","pages":"1559481"},"PeriodicalIF":0.0000,"publicationDate":"2025-06-27","publicationTypes":"Journal Article","fieldsOfStudy":null,"isOpenAccess":false,"openAccessPdf":"https://www.ncbi.nlm.nih.gov/pmc/articles/PMC12247173/pdf/","citationCount":"0","resultStr":null,"platform":"Semanticscholar","paperid":null,"PeriodicalName":"Frontiers in neuroimaging","FirstCategoryId":"1085","ListUrlMain":"https://doi.org/10.3389/fnimg.2025.1559481","RegionNum":0,"RegionCategory":null,"ArticlePicture":[],"TitleCN":null,"AbstractTextCN":null,"PMCID":null,"EPubDate":"2025/1/1 0:00:00","PubModel":"eCollection","JCR":"","JCRName":"","Score":null,"Total":0}
引用次数: 0

Abstract

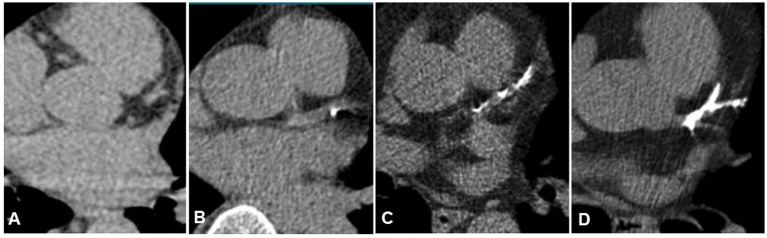
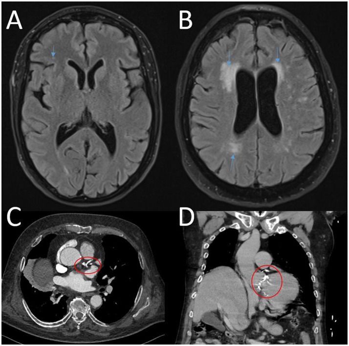
Background: A connection between cerebral white matter hyperintensities and coronary artery disease is widely discussed. Both conditions are more prevalent in the elderly. While white matter hyperintensities are often associated with small vessel disease, atherosclerosis is the primary cause of coronary artery disease.

Methods: We evaluated staging CT scans of the body and staging brain MRIs from patients with newly diagnosed malignant melanoma (without metastasis) between 01/01/2015 and 06/30/2023. CT scans were assessed for coronary artery disease using a modified overall visual assessment. Fazekas scores were used to evaluate the MRI for white matter changes. Additional clinical data were obtained from digital patient records.

Results: We analyzed data from 120 patients (57 females, mean age 68 years, standard deviation 14 years) and found a correlation between coronary artery disease and both age (r = 0.48, α = 0.04) and Fazekas score (periventricular r = 0.46, subcortical and deep white matter r = 0.55). A linear model including age, coronary artery disease, diabetes and arterial hypertension served as a predictor for white matter disease and showed significant correlations. Adding (1) atherosclerosis as well as (2) carotid stenosis to the model resulted in (1) a slight decrease in significance and (2) the unmasking of a potential spurious correlation with carotid stenosis.

Conclusion: There is a significant correlation between white matter hyperintensities and both carotid stenoses and coronary artery disease. This finding is clinically relevant: in patients with white matter hyperintensities and coronary artery disease, carotid stenosis should be ruled out.

Abstract Image

Abstract Image

Abstract Image

颈动脉狭窄与常见脑微血管病变和冠状动脉钙化的关系。
背景:脑白质高信号与冠状动脉疾病之间的关系被广泛讨论。这两种情况在老年人中更为普遍。虽然白质高强度通常与小血管疾病有关,但动脉粥样硬化是冠状动脉疾病的主要原因。方法:我们评估2015年1月1日至2023年6月30日期间新诊断的恶性黑色素瘤(无转移)患者的身体分期CT扫描和脑分期mri。采用改进的整体视觉评估方法评估CT扫描是否存在冠状动脉疾病。Fazekas评分用于评估MRI白质变化。其他临床数据从数字患者记录中获得。结果:我们分析数据从120例(57岁女性,平均年龄68 年,标准差 14年),发现一个冠状动脉疾病和年龄之间的相关性(r = 0.48,α = 0.04)和法泽卡斯得分(室旁0.46 r = ,皮层下白质和深度0.55 r = )。包括年龄、冠状动脉疾病、糖尿病和动脉高血压在内的线性模型可作为白质疾病的预测因子,并显示出显著的相关性。在模型中加入(1)动脉粥样硬化和(2)颈动脉狭窄导致(1)显著性略有降低,(2)揭示了与颈动脉狭窄的潜在虚假相关性。结论:颈动脉狭窄和冠状动脉病变与白质高信号均有显著相关性。这一发现具有临床相关性:在白质高信号和冠状动脉疾病的患者中,应排除颈动脉狭窄。
本文章由计算机程序翻译,如有差异,请以英文原文为准。
求助全文
约1分钟内获得全文 求助全文
来源期刊
自引率
0.00%
发文量
0
×
引用
GB/T 7714-2015
复制
MLA
复制
APA
复制
导出至
BibTeX EndNote RefMan NoteFirst NoteExpress
×
提示
您的信息不完整,为了账户安全,请先补充。
现在去补充
×
提示
您因"违规操作"
具体请查看互助需知
我知道了
×
提示
确定
请完成安全验证×
copy
已复制链接
快去分享给好友吧!
我知道了
右上角分享
点击右上角分享
0
联系我们:info@booksci.cn Book学术提供免费学术资源搜索服务,方便国内外学者检索中英文文献。致力于提供最便捷和优质的服务体验。 Copyright © 2023 布克学术 All rights reserved.
京ICP备2023020795号-1
ghs 京公网安备 11010802042870号
Book学术文献互助
Book学术文献互助群
群 号:604180095
Book学术官方微信