Successful Treatment of Anemia With Ringed Sideroblasts Induced by Antidepressants Through Vitamin B6 Supplementation and Discontinuation of Antidepressants.

IF 0.7 Q4 HEMATOLOGY
Case Reports in Hematology Pub Date : 2025-07-01 eCollection Date: 2025-01-01 DOI:10.1155/crh/7046013
Sanshiro Nakao, Chiaki Nakaseko, Chikako Ohwada, Keisuke Kirito, Asuka Shibamiya, Akane Tanaka, Reiko Watanabe, Naomi Shimizu
{"title":"Successful Treatment of Anemia With Ringed Sideroblasts Induced by Antidepressants Through Vitamin B6 Supplementation and Discontinuation of Antidepressants.","authors":"Sanshiro Nakao, Chiaki Nakaseko, Chikako Ohwada, Keisuke Kirito, Asuka Shibamiya, Akane Tanaka, Reiko Watanabe, Naomi Shimizu","doi":"10.1155/crh/7046013","DOIUrl":null,"url":null,"abstract":"<p><p>Vitamin B6 (VB6) is a vital coenzyme for δ-aminolevulinic acid synthase (ALAS) in heme biosynthesis. We report a 49-year-old male with severe microcytic anemia and ringed sideroblasts initially diagnosed as myelodysplastic syndrome (MDS). VB6 deficiency, attributed to long-term amoxapine use, was identified. His anemia improved significantly with VB6 supplementation and resolved completely after discontinuing amoxapine. This case highlights the need to consider VB6 deficiency in anemia with ringed sideroblasts.</p>","PeriodicalId":46307,"journal":{"name":"Case Reports in Hematology","volume":"2025 ","pages":"7046013"},"PeriodicalIF":0.7000,"publicationDate":"2025-07-01","publicationTypes":"Journal Article","fieldsOfStudy":null,"isOpenAccess":false,"openAccessPdf":"https://www.ncbi.nlm.nih.gov/pmc/articles/PMC12255493/pdf/","citationCount":"0","resultStr":null,"platform":"Semanticscholar","paperid":null,"PeriodicalName":"Case Reports in Hematology","FirstCategoryId":"1085","ListUrlMain":"https://doi.org/10.1155/crh/7046013","RegionNum":0,"RegionCategory":null,"ArticlePicture":[],"TitleCN":null,"AbstractTextCN":null,"PMCID":null,"EPubDate":"2025/1/1 0:00:00","PubModel":"eCollection","JCR":"Q4","JCRName":"HEMATOLOGY","Score":null,"Total":0}
引用次数: 0

Abstract

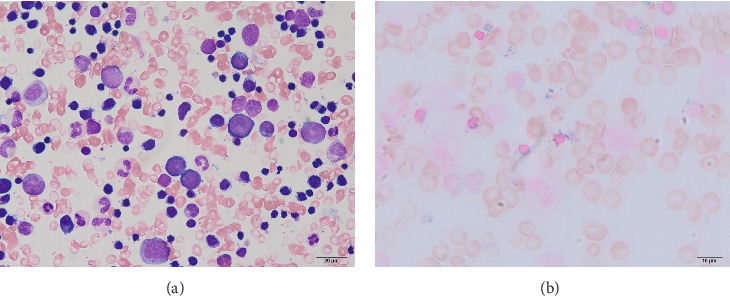
Vitamin B6 (VB6) is a vital coenzyme for δ-aminolevulinic acid synthase (ALAS) in heme biosynthesis. We report a 49-year-old male with severe microcytic anemia and ringed sideroblasts initially diagnosed as myelodysplastic syndrome (MDS). VB6 deficiency, attributed to long-term amoxapine use, was identified. His anemia improved significantly with VB6 supplementation and resolved completely after discontinuing amoxapine. This case highlights the need to consider VB6 deficiency in anemia with ringed sideroblasts.

Abstract Image

Abstract Image

通过补充维生素B6和停用抗抑郁药物成功治疗抗抑郁药物诱导的环状铁母细胞贫血。
维生素B6 (VB6)是血红素生物合成中δ-氨基乙酰丙酸合成酶(ALAS)的重要辅酶。我们报告一位49岁男性,患有严重的小细胞性贫血和环状铁母细胞,最初诊断为骨髓增生异常综合征(MDS)。确定了长期使用阿莫沙平导致的VB6缺乏。补充VB6后贫血明显改善,停用阿莫沙平后贫血完全消失。本病例强调考虑环形铁母细胞贫血中缺乏VB6的必要性。
本文章由计算机程序翻译,如有差异,请以英文原文为准。
求助全文
约1分钟内获得全文 求助全文
来源期刊
自引率
0.00%
发文量
51
审稿时长
13 weeks
×
引用
GB/T 7714-2015
复制
MLA
复制
APA
复制
导出至
BibTeX EndNote RefMan NoteFirst NoteExpress
×
提示
您的信息不完整,为了账户安全,请先补充。
现在去补充
×
提示
您因"违规操作"
具体请查看互助需知
我知道了
×
提示
确定
请完成安全验证×
copy
已复制链接
快去分享给好友吧!
我知道了
右上角分享
点击右上角分享
0
联系我们:info@booksci.cn Book学术提供免费学术资源搜索服务,方便国内外学者检索中英文文献。致力于提供最便捷和优质的服务体验。 Copyright © 2023 布克学术 All rights reserved.
京ICP备2023020795号-1
ghs 京公网安备 11010802042870号
Book学术文献互助
Book学术文献互助群
群 号:604180095
Book学术官方微信