WATCHMAN Gone Astray, Catastrophic Mitral Regurgitation Following Device Dislodgement.

IF 1.3 Q3 ANESTHESIOLOGY
Annals of Cardiac Anaesthesia Pub Date : 2025-07-01 Epub Date: 2025-07-08 DOI:10.4103/aca.aca_263_24
Basil Jouryyeh, Michael Beshara
{"title":"WATCHMAN Gone Astray, Catastrophic Mitral Regurgitation Following Device Dislodgement.","authors":"Basil Jouryyeh, Michael Beshara","doi":"10.4103/aca.aca_263_24","DOIUrl":null,"url":null,"abstract":"<p><strong>Abstract: </strong>WATCHMAN (Boston Scientific, Plymouth, MN, USA) is the most commonly utilized left atrial appendage occlusion device. Although increased operator experience has led to a significant decline in reported complications, serious and potentially fatal events can still occur. We present a case of WATCHMAN device embolization that was identified using transesophageal echocardiography shortly after device deployment, along with the subsequent management and retrieval of the device.</p>","PeriodicalId":7997,"journal":{"name":"Annals of Cardiac Anaesthesia","volume":"28 3","pages":"313-316"},"PeriodicalIF":1.3000,"publicationDate":"2025-07-01","publicationTypes":"Journal Article","fieldsOfStudy":null,"isOpenAccess":false,"openAccessPdf":"https://www.ncbi.nlm.nih.gov/pmc/articles/PMC12324750/pdf/","citationCount":"0","resultStr":null,"platform":"Semanticscholar","paperid":null,"PeriodicalName":"Annals of Cardiac Anaesthesia","FirstCategoryId":"1085","ListUrlMain":"https://doi.org/10.4103/aca.aca_263_24","RegionNum":0,"RegionCategory":null,"ArticlePicture":[],"TitleCN":null,"AbstractTextCN":null,"PMCID":null,"EPubDate":"2025/7/8 0:00:00","PubModel":"Epub","JCR":"Q3","JCRName":"ANESTHESIOLOGY","Score":null,"Total":0}
引用次数: 0

Abstract

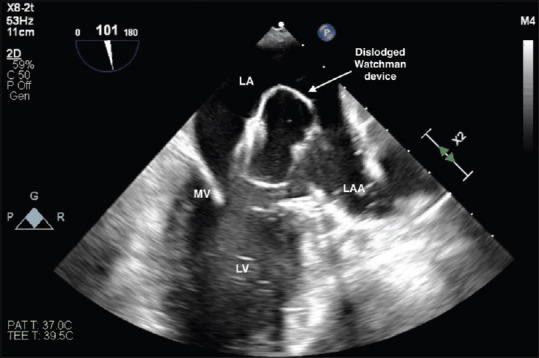
Abstract: WATCHMAN (Boston Scientific, Plymouth, MN, USA) is the most commonly utilized left atrial appendage occlusion device. Although increased operator experience has led to a significant decline in reported complications, serious and potentially fatal events can still occur. We present a case of WATCHMAN device embolization that was identified using transesophageal echocardiography shortly after device deployment, along with the subsequent management and retrieval of the device.

Abstract Image

Abstract Image

Abstract Image

看门人误入歧途,灾难性的二尖瓣反流后装置脱位。
WATCHMAN (Boston Scientific, Plymouth, MN, USA)是最常用的左心耳闭塞装置。尽管操作员经验的增加导致报告的并发症显著减少,但仍然可能发生严重和潜在的致命事件。我们提出一个WATCHMAN装置栓塞的病例,在装置部署后不久使用经食管超声心动图识别,以及随后的管理和装置的检索。
本文章由计算机程序翻译,如有差异,请以英文原文为准。
求助全文
约1分钟内获得全文 求助全文
来源期刊
CiteScore
1.60
自引率
0.00%
发文量
147
审稿时长
26 weeks
期刊介绍: Annals of Cardiac Anaesthesia (ACA) is the official journal of the Indian Association of Cardiovascular Thoracic Anaesthesiologists. The journal is indexed with PubMed/MEDLINE, Excerpta Medica/EMBASE, IndMed and MedInd. The journal’s full text is online at www.annals.in. With the aim of faster and better dissemination of knowledge, we will be publishing articles ‘Ahead of Print’ immediately on acceptance. In addition, the journal would allow free access (Open Access) to its contents, which is likely to attract more readers and citations to articles published in ACA. Authors do not have to pay for submission, processing or publication of articles in ACA.
×
引用
GB/T 7714-2015
复制
MLA
复制
APA
复制
导出至
BibTeX EndNote RefMan NoteFirst NoteExpress
×
提示
您的信息不完整,为了账户安全,请先补充。
现在去补充
×
提示
您因"违规操作"
具体请查看互助需知
我知道了
×
提示
确定
请完成安全验证×
copy
已复制链接
快去分享给好友吧!
我知道了
右上角分享
点击右上角分享
0
联系我们:info@booksci.cn Book学术提供免费学术资源搜索服务,方便国内外学者检索中英文文献。致力于提供最便捷和优质的服务体验。 Copyright © 2023 布克学术 All rights reserved.
京ICP备2023020795号-1
ghs 京公网安备 11010802042870号
Book学术文献互助
Book学术文献互助群
群 号:604180095
Book学术官方微信